- https://radiomed.ru/sites/default/files/styles/case_slider_image/public/user/16846/img-0003-00001_8.jpg?itok=Llrq1hJo
- https://radiomed.ru/sites/default/files/styles/case_slider_image/public/user/16846/img-0002-00001_18.jpg?itok=keD6cCeF
- https://radiomed.ru/sites/default/files/styles/case_slider_image/public/user/16846/img-0001-00001_23.jpg?itok=8DibUczY
ID:48439
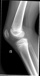
1.Левена болезнь (A. Läwen, 1876—1958, нем. хирург) —остеохондропатия надколенника; проявляется болью при надавливании на надколенник или при его смещении.
2.Асептический некроз коленной чашечки / Sinding-Larsen-Johansson disease
Описание и характеристика. Этот синдром относится к остеохондрозам. Поражается сухожилие и коленная чашечка. Развивается отек и болезненность данного сустава.
Распространённость и наследование. Распространенность не установлена. Болезнь поражает взрослых, особенно молодых атлетов.
Клиника, диагностика и лечение. Может наблюдаться костная фрагментация нижней части чашечки. Это, как правило, результат травмы или контузии чашечки. Процесс может закончиться кальцификацией не месте воспалительного повреждения. Прогноз, в целом, благоприятен.
Осталось только выбрать))))
Болезни ног: виды, симптомы, причины, профилактика и лечение
Чего-то я к первому варианту склоняюсь, наверное, потому, что девочка не "молодой атлет"))). Заинтересовало то, что в доступных источниках отмечена редкость встречаемости. Видимо, мне повезло)).
С уважением,
Ларсена болезнь видел на нашем сайте. Кто-то задавал вопрос. Там был кажется исход, выглядело как несросшийся апофиз у вершины надколенника (нижний полюс). Изменений Левена не представляю. Не может это оказаться остеомиелитом? Алексей Станиславович, вы кажется УЗИ занимаетесь, может посмотрите?
С уважением,