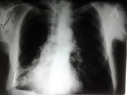
плеврит?

Пациент 89 лет,жалобы на кашель,отдышка

ID:48131
Mila85 аватар
Не на сайте
Был на сайте: 3 года 6 месяцев назад
Зарегистрирован: 15.03.2012 - 16:59
Публикации: 1790

Нет, не плеврит. Выложите, пожалуйста, боковой

Дмитрий Волегов аватар
Не на сайте
Был на сайте: 3 года 11 месяцев назад
Зарегистрирован: 22.05.2013 - 00:32
Публикации: 1148

Смещение сердечной тени вправо и уменьшение фронтального размера нижних отделов правого легкого свидетельствуют об ателектазе правого легкого. Жидкость в плевральном синусе справа может быть плевритом. Снимок "перебит". Боковая проекция - стандарт исследования.

С Уважением, Дмитрий.

maker4ik аватар
Не на сайте
Был на сайте: 9 лет 3 дня назад
Зарегистрирован: 19.10.2011 - 17:49
Публикации: 2682

Без бока больше данных за спайки, шварты и фиброз.

Евгений Дорофеев аватар
Не на сайте
Был на сайте: 11 лет 6 месяцев назад
Зарегистрирован: 06.06.2013 - 17:28
Публикации: 1746

Да и архив не помешал бы, кроме мправого бока.

sila аватар
Не на сайте
Был на сайте: 11 лет 9 месяцев назад
Зарегистрирован: 01.11.2013 - 22:18
Публикации: 29

Уменьшение нижней доли правого легкого, смещение тени средостения вправо, подтянутость правого корня книзу, кнаружи, дополнительное тенеобразование в проекции нижнедолевого бронха справа, жидкость в плевральной полости-само собой напрашивается вывод.

Сергей Кузьминов аватар
Не на сайте
Был на сайте: 1 год 5 месяцев назад
Зарегистрирован: 06.10.2012 - 15:51
Публикации: 11813

По одному прямому легко можно ошибиться,посчитав изменения фиброзом и спайками.Средостение тянет вправо-ищем онкологию.Правый бок нужен.

sermioncic аватар
Не на сайте
Был на сайте: 7 лет 6 месяцев назад
Зарегистрирован: 01.04.2011 - 00:41
Публикации: 22

Правый боковой назначила завтра будет.Спасибо за коментарии очень сомневалась по поводу уменьшения доли

 

Сергей Кузьминов аватар
Не на сайте
Был на сайте: 1 год 5 месяцев назад
Зарегистрирован: 06.10.2012 - 15:51
Публикации: 11813

Только не забудьте убрать фамилию больного со снимка.

алкс аватар
Не на сайте
Был на сайте: 10 лет 5 месяцев назад
Зарегистрирован: 24.10.2012 - 22:55
Публикации: 2915

Дмитрий Волегов wrote:

Смещение сердечной тени вправо и уменьшение фронтального размера нижних отделов правого легкого свидетельствуют об ателектазе правого легкого. Жидкость в плевральном синусе справа может быть плевритом. Снимок "перебит". Боковая проекция - стандарт исследования.

yes

Алексей Игоревич Чернявский аватар
Не на сайте
Был на сайте: 7 лет 3 месяцев назад
Зарегистрирован: 08.08.2012 - 21:52
Публикации: 786

Настораживает на онкологию. Но могут быть и фиброз со спайками. Переделайте уже завтра и прямой с меньшей экспозицией.

"Обучая других - учишься сам". Н.И.Пирогов
 

Mila85 аватар
Не на сайте
Был на сайте: 3 года 6 месяцев назад
Зарегистрирован: 15.03.2012 - 16:59
Публикации: 1790

Помимо смещения, верхний отдел средостения выглядит очень странно, возможно там все в увеличенных лимфоузлах, трахея отклонена, бифуркация потерялась. Онкология какая-то

Андрей Юрьевич аватар
Не на сайте
Был на сайте: 2 недели 5 дней назад
Зарегистрирован: 16.11.2008 - 22:16
Публикации: 18106

А я в другую сторону: возраст приличный, перенесенный плеврит, плеврофиброз, пневмофиброз, рек. беседа с пациентом, поднять амбулаторную карту и флюороархив, по-возможности.

Андрей Юрьевич

Катенёв Валентин Львович аватар
Не на сайте
Был на сайте: 7 лет 5 месяцев назад
Зарегистрирован: 22.03.2008 - 22:15
Публикации: 54876

sermioncic wrote:

Правый боковой назначила завтра будет.

Спасибо за коментарии очень сомневалась по поводу уменьшения доли

А. что это за метода такая извращенно-порочная в исследованиях ОГК? Сегодня прямой, завтра боковой.

Это кто так учил, или научил?

Прям как по Ильфу и Петрову - вечером деньги, утром стулья...и т.д.

Катенёв Валентин Львович аватар
Не на сайте
Был на сайте: 7 лет 5 месяцев назад
Зарегистрирован: 22.03.2008 - 22:15
Публикации: 54876

sermioncic wrote:

Пациент 89 лет,жалобы на кашель,отдышка

На мой взгляд, дела давно минувших дней, преданья старины глубокой.

В таких случаях - "архив" на первом месте. Многие проблемы и "проблемы" при помощи архива решаются моментально.

ЧЮГ аватар
Не на сайте
Был на сайте: 7 месяцев 3 недели назад
Зарегистрирован: 31.10.2012 - 15:10
Публикации: 414

Катенёв Валентин Львович wrote:

sermioncic wrote:

Пациент 89 лет,жалобы на кашель,отдышка

На мой взгляд, дела давно минувших дней, преданья старины глубокой.

В таких случаях - "архив" на первом месте. Многие проблемы и "проблемы" при помощи архива решаются моментально.

+1

ЕЕЮ аватар
Не на сайте
Был на сайте: 2 года 6 месяцев назад
Зарегистрирован: 26.08.2013 - 11:22
Публикации: 410

А может это обычная пневмония? ( но всё равно надо прямой и правый бок)

Катенёв Валентин Львович аватар
Не на сайте
Был на сайте: 7 лет 5 месяцев назад
Зарегистрирован: 22.03.2008 - 22:15
Публикации: 54876

ЕЕЮ wrote:

А может это обычная пневмония? ( но всё равно надо прямой и правый бок)

Есть вопрос.

Какая это такая обычная пневмония, а какая не обычная?

ЕЕЮ аватар
Не на сайте
Был на сайте: 2 года 6 месяцев назад
Зарегистрирован: 26.08.2013 - 11:22
Публикации: 410

Катенёв Валентин Львович wrote:

ЕЕЮ wrote:

А может это обычная пневмония? ( но всё равно надо прямой и правый бок)

Есть вопрос.

Какая это такая обычная пневмония, а какая не обычная?

Ну я имела ввиду сегментарная , а может нижнедолевая ( без бока не понять)

Сергей Кузьминов аватар
Не на сайте
Был на сайте: 1 год 5 месяцев назад
Зарегистрирован: 06.10.2012 - 15:51
Публикации: 11813

Нет,не пневмония,уж больно всё утянуто вправо и интенсивно

ЕЕЮ аватар
Не на сайте
Был на сайте: 2 года 6 месяцев назад
Зарегистрирован: 26.08.2013 - 11:22
Публикации: 410

Сергей Кузьминов wrote:

Нет,не пневмония,уж больно всё утянуто вправо и интенсивно

Да, вправо смещение есть. Только что-то автор пропал с боковым снимком, или его не будет. Как описали мне интерестно и что написали в заключении???