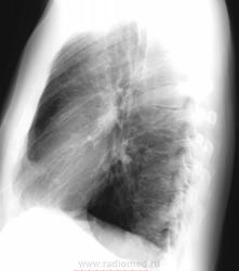
Мужчина 1966 года рождения, жалоб не предъявляет, на плановой ФЛГ выявлены изменения, дообслндование...
2 года назад на ФЛГ без изменений (по описанию, пленки нет), со слов год назад на ФЛГ изменений не находили (результатов нет).
Какие мнения по поводу выявленных изменений уважаемые коллеги? Тактика?
![]()
Очень сомнительно,что была норма,скорее всего,был пропуск.Похоже на туберкулёму в S9 слева.
А у меня такое мнение, что с гамартомой дифференцировать надо. А по поводу тактики- рисуем в заключении круглую тень, предпологаете диф. ряд. и к терапевту (нарисовать направление к торакальным хирургам) ИХМО.
P.S. По хорошему трансторакальную биопсию надо, опять же ИХМО.
Округлое образование, похоже не зло. Консультация фтизиатра, торак. хирурга. Возможно и не пропуск был, установка с разворотом, может в прошлый раз стоял ровно и тень наложилась на тень сердца
Не нам судить…
+1. Согласен. Но, лучше, если есть возможность, после КТ. Опоздал. Ответ на пост номер 2.
Анатолий Петрович
очаг Гона.
Неоднородное образование, контур неровный. Первое - гамартома, наблюдение или сразу КТ. Дальше все равно наблюдение.
"Слушай всех, прислушивайся к немногим, решай сам".©
На зло совсем не похоже, присоединяюсь к мнениям о гамартоме и туберкулеме.. P.s. Трансторакальная биопсия при таком расположении это жестоко
Коллеги, думаю, любой из нас, имея такое пятнышко, на трансторакальную биопсию не побежал бы, а ограничился, для начала, наблюдением в течение N-ного времени.
"Слушай всех, прислушивайся к немногим, решай сам".©
На очаги Гона, кальцинированные л/узлы врачи могут не обращать внимание. Их оценивают как остаточные изменения стойкого излечения. Если в легких не определяются свежие очаги и инфильтраты, пишут норма.
Анатолий Петрович
Терпимость - это когда прощают чужие ошибки; такт - когда не замечают их. (Артур Шницлер)
Согласен, часто норма для одного рентгенолога - страшная патология с огромным "кругляком" для другого.