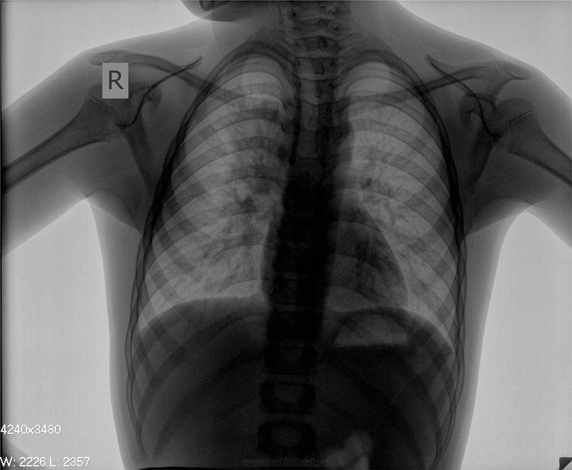
Пневмония?

Пол пациента: 
Тип патологии: 
Методы исследования: 

Мальчик 2000 г.р., направлен педиатром с диагнозом: Пневмония?

  • https://radiomed.ru/sites/default/files/styles/case_slider_image/public/user/6487/ogk_2.jpg?itok=Mg61M2h8
ID:17429
Роман Муравьев аватар
Не на сайте
Был на сайте: 4 года 9 месяцев назад
Зарегистрирован: 02.10.2010 - 20:09
Публикации: 191

снимки

Приложения: 
ogk.jpgogk_2.jpg
Nikolas аватар
Не на сайте
Был на сайте: 1 месяц 3 недели назад
Зарегистрирован: 21.12.2010 - 20:37
Публикации: 4559

надо делать боковые снимки. Пора кончать эту многолетнюю порочную практику в педиатрии. На сайте Радиомед обсуждался вопрос о врачах, которые не назначают боковые снимки. Все были единодушны. С уважением Nik

Катенёв Валентин Львович аватар
Не на сайте
Был на сайте: 7 лет 2 недели назад
Зарегистрирован: 22.03.2008 - 22:15
Публикации: 54876

Nikolas wrote:

надо делать боковые снимки. Пора кончать эту многолетнюю порочную практику в педиатрии. На сайте Радиомед обсуждался вопрос о врачах, которые не назначают боковые снимки. Все были единодушны. С уважением Nik

+1

На мой вкус, я после бокового, обязательно томограмму через корни сделал бы, да и легочную ткань прицельно глянул.

Катенёв Валентин Львович аватар
Не на сайте
Был на сайте: 7 лет 2 недели назад
Зарегистрирован: 22.03.2008 - 22:15
Публикации: 54876

А, мокроту исследовали? Что в мокроте?

Ola-la аватар
Не на сайте
Был на сайте: 10 месяцев 3 дня назад
Зарегистрирован: 06.12.2008 - 09:33
Публикации: 1786

Да, боковой очень желателен. Может, инфильтрация в 6-ке или 3-ке, а может в прикорневой зоне. В любом случае, сначала антибактериальная терапия с последующим рентгенконтролем, а там видно будет.

Роман Муравьев аватар
Не на сайте
Был на сайте: 4 года 9 месяцев назад
Зарегистрирован: 02.10.2010 - 20:09
Публикации: 191

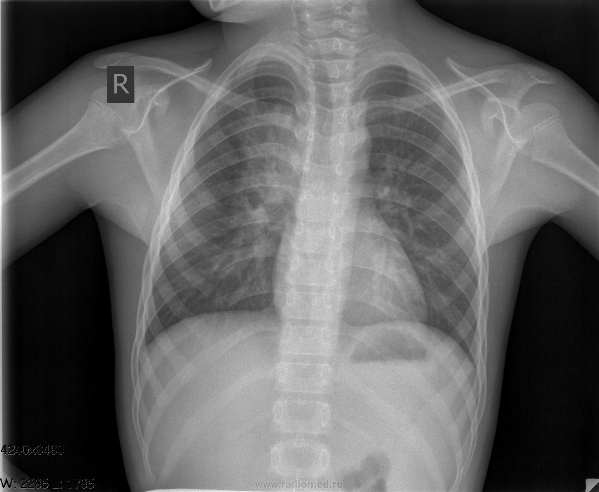
боковой не делали, ребенку провели курс антибиотикотерапии в стационаре

Роман Муравьев аватар
Не на сайте
Был на сайте: 4 года 9 месяцев назад
Зарегистрирован: 02.10.2010 - 20:09
Публикации: 191

рентгенконтроль

Приложения: 
ogk_3.jpgogk_4.jpg
Ola-la аватар
Не на сайте
Был на сайте: 10 месяцев 3 дня назад
Зарегистрирован: 06.12.2008 - 09:33
Публикации: 1786

Ну и все прекрасно, хорошо полечили пневмонию.

Dr.Yllich аватар
Не на сайте
Был на сайте: 1 год 4 месяцев назад
Зарегистрирован: 01.05.2011 - 22:52
Публикации: 1196

Не могу согласиться безоговорочно с необходимостью делать детям боковые снимки.  ( в смысле - всем подряд, где есть затенение). Назначаю  только,  если подозрение на деструкцию или ателектаз! Тогда, конечно, боковой совершенно необходим. Вот и этот случай, по-моему, показывает, что сначала - противовоспалительная терапия, динамика по клиническим показаниям.

С уважением. Ильич.

Катенёв Валентин Львович аватар
Не на сайте
Был на сайте: 7 лет 2 недели назад
Зарегистрирован: 22.03.2008 - 22:15
Публикации: 54876

Ola-la wrote:

Ну и все прекрасно, хорошо полечили пневмонию.

Значит, надо писать норму?

Ola-la аватар
Не на сайте
Был на сайте: 10 месяцев 3 дня назад
Зарегистрирован: 06.12.2008 - 09:33
Публикации: 1786

Хорошую положительную динамику, а вам, Валентин Львович, что-то не нравится? Кстати, есть новости о ребенке с расширенным средостением?

Катенёв Валентин Львович аватар
Не на сайте
Был на сайте: 7 лет 2 недели назад
Зарегистрирован: 22.03.2008 - 22:15
Публикации: 54876

Я просто спросил, так как с детьми не часто дело имею.

А, новости по тому случаю, конечно, есть. Он с мамой находится в областной туббольнице.

Ola-la аватар
Не на сайте
Был на сайте: 10 месяцев 3 дня назад
Зарегистрирован: 06.12.2008 - 09:33
Публикации: 1786

Ну, это мы знаем, что он в туббольнице, вы писали. А дополнительные методы исследования провели и их результаты?

Катенёв Валентин Львович аватар
Не на сайте
Был на сайте: 7 лет 2 недели назад
Зарегистрирован: 22.03.2008 - 22:15
Публикации: 54876

Да, коллега фтизиатр, был на ЦВК (не по этому случаю), интересовался, но пока ничего окончательно конкретного. Безусловно, любая дополнительная информация, особенно иллюстративная будет выставлена на сайт.