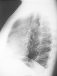
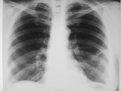
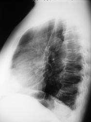
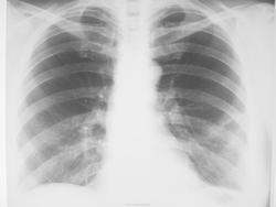
Пневмония? Локальный фиброз?

Пациентка около 65 лет с жалобами на слабость, повышение температуры в течение 2 дней направлена с д-зом ОРВИ. Пневмония?

Предыдущее исследование ОГК (ФЛГ) выполнялось в ноябре 2012 г

  • https://radiomed.ru/sites/default/files/styles/case_slider_image/public/user/18954/img_2660_1.jpg?itok=WY9SBoeM
  • https://radiomed.ru/sites/default/files/styles/case_slider_image/public/user/18954/img_2661.jpg?itok=dzijIlcW
  • https://radiomed.ru/sites/default/files/styles/case_slider_image/public/user/18954/img_2661_1.jpg?itok=8ISb35Fy
  • https://radiomed.ru/sites/default/files/styles/case_slider_image/public/user/18954/29_11_12.jpg?itok=qjRz_nwM
ID:47273
svetlana292929 аватар
Не на сайте
Был на сайте: 3 года 7 месяцев назад
Зарегистрирован: 18.06.2012 - 13:53
Публикации: 869

пусть будет пневмония, хотя на боковом не сыщешь )

NIL аватар
NIL
Не на сайте
Был на сайте: 4 часа 8 минут назад
Зарегистрирован: 25.11.2013 - 20:50
Публикации: 18203

Я бы написала в заключении очаговую пневмонию в S4.


"Слушай всех, прислушивайся к немногим, решай сам".©

atexta аватар
Не на сайте
Был на сайте: 2 года 9 месяцев назад
Зарегистрирован: 08.02.2014 - 18:41
Публикации: 4842

NIL wrote:

Я бы написала в заключении очаговыю пневмонию в S4.

+1

Не нам судить…

maker4ik аватар
Не на сайте
Был на сайте: 8 лет 6 месяцев назад
Зарегистрирован: 19.10.2011 - 17:49
Публикации: 2682

По мне - так нет. Пневмосклероз, может дисковидный ателектаз.

выпускник аватар
Не на сайте
Был на сайте: 5 лет 3 недели назад
Зарегистрирован: 15.08.2012 - 23:11
Публикации: 50

можете показать? я лично не вижу, мб некоторое усиление рисунка- да, но на пневмонию не тянет....

КАГ аватар
Не на сайте
Был на сайте: 5 месяцев 3 недели назад
Зарегистрирован: 24.10.2010 - 16:30
Публикации: 199

Я обеими руками за Maker4ik

Daniel' аватар
Не на сайте
Был на сайте: 1 месяц 2 недели назад
Зарегистрирован: 27.06.2013 - 22:21
Публикации: 2210

NIL wrote:

Я бы написала в заключении очаговую пневмонию в S4.

очагом наз-ся тень до 12 мм в диаметре, а где вы их увидели мне не понятно.

NIL аватар
NIL
Не на сайте
Был на сайте: 4 часа 8 минут назад
Зарегистрирован: 25.11.2013 - 20:50
Публикации: 18203

Примерно так + локальное усиление легочного рисунка, уплотнение главной междолевой плевры.

Приложения: 
img_2661.jpg


"Слушай всех, прислушивайся к немногим, решай сам".©

Сольвейг аватар
Не на сайте
Был на сайте: 3 года 5 месяцев назад
Зарегистрирован: 05.02.2013 - 20:25
Публикации: 2239

Никакой не фиброз, лечите пневмонию

Дмитрий Волегов аватар
Не на сайте
Был на сайте: 3 года 6 месяцев назад
Зарегистрирован: 22.05.2013 - 00:32
Публикации: 1148

Думаю, право на жизнь имеет версия двусторонней интерстициальной пневмонии. ОРВИ нижнего респираторного тракта.

С Уважением, Дмитрий.

Сергей Кузьминов аватар
Не на сайте
Был на сайте: 1 год 1 неделя назад
Зарегистрирован: 06.10.2012 - 15:51
Публикации: 11813

Я за пневмонию.

Doc84 аватар
Не на сайте
Был на сайте: 11 лет 5 месяцев назад
Зарегистрирован: 05.03.2014 - 15:21
Публикации: 209

Если чего-то не было, а потом появилось - надо полечить wink, а потом контроль и будет попроще smiley

Nobody аватар
Не на сайте
Был на сайте: 11 лет 3 недели назад
Зарегистрирован: 15.03.2014 - 20:29
Публикации: 2013

NIL wrote:

Примерно так + локальное усиление легочного рисунка, уплотнение главной междолевой плевры.

Прошу прощения, но Вы указали на корня сосуды. А то, что в прямой мы все увидали, на боковой не видно его.)

Дмитрий Волегов wrote:

Думаю, право на жизнь имеет версия двусторонней интерстициальной пневмонии. ОРВИ нижнего респираторного тракта.

Дмитрий, думаю, что за двустороннюю интерстициальную пневмонию, высказанную по данному наблюдению, Андрей Юрьевич скоро устроит нам очередную революцию... на броневике.)

Миргалина wrote:
Никакой не фиброз, лечите пневмонию

yes Поддерживаю! И с верой в лучшее надеюсь, что окажется это не худшим.

"Лишь утратив всё до конца, мы обретаем свободу." F.C.

Kesha аватар
Не на сайте
Был на сайте: 4 года 2 недели назад
Зарегистрирован: 20.03.2014 - 16:25
Публикации: 7

По мне так - фиброз, сделать контроль через пару дней.

Nobody аватар
Не на сайте
Был на сайте: 11 лет 3 недели назад
Зарегистрирован: 15.03.2014 - 20:29
Публикации: 2013

Kesha wrote:

По мне так - фиброз, сделать контроль через пару дней.

За два дня выспаться только можно. Ну, или слегка переспать. Даже ОРВИ за два дня не проходит. Куда потом будем бежать?..

Дообследовать можно, в таких случаях, хотя Вам, конечно, решать. Главное, не проспать...

http://www.radiomed.ru/cases/dinamika-13

"Лишь утратив всё до конца, мы обретаем свободу." F.C.

Kesha аватар
Не на сайте
Был на сайте: 4 года 2 недели назад
Зарегистрирован: 20.03.2014 - 16:25
Публикации: 7

Если там пневмония, то динамика уже будет. 

Валерия Ерофеева аватар
Не на сайте
Был на сайте: 10 лет 1 месяц назад
Зарегистрирован: 21.03.2014 - 08:21
Публикации: 6

Я за пневмонию, тем более на предыдущих флюорограммах чисто. На СКТ явно картина будет похлеще. Пусть лечится человек.

КАГ аватар
Не на сайте
Был на сайте: 5 месяцев 3 недели назад
Зарегистрирован: 24.10.2010 - 16:30
Публикации: 199

Пересмотрел снимок... Возможно, просто перегрузка по малому кругу кровобращения!

Nobody аватар
Не на сайте
Был на сайте: 11 лет 3 недели назад
Зарегистрирован: 15.03.2014 - 20:29
Публикации: 2013

Валерия Ерофеева wrote:

Я за пневмонию, тем более на предыдущих флюорограммах чисто. На СКТ явно картина будет похлеще. Пусть лечится человек.

Заметьте, под наблюдением лечится пусть.)

"Лишь утратив всё до конца, мы обретаем свободу." F.C.

Nobody аватар
Не на сайте
Был на сайте: 11 лет 3 недели назад
Зарегистрирован: 15.03.2014 - 20:29
Публикации: 2013

КАГ wrote:

Пересмотрел снимок... Возможно, просто перегрузка по малому кругу кровобращения!

Наверное, на плохом мониторе пересмотрели.(    Уплываем мы снова от цели...

"Лишь утратив всё до конца, мы обретаем свободу." F.C.

Владимир оченьРАД аватар
Не на сайте
Был на сайте: 11 лет 8 месяцев назад
Зарегистрирован: 23.03.2014 - 16:50
Публикации: 2

Возраст, полюбому диффузный пневмофиброз

Сольвейг аватар
Не на сайте
Был на сайте: 3 года 5 месяцев назад
Зарегистрирован: 05.02.2013 - 20:25
Публикации: 2239

Еще и диффузный? Да еще и по-любому?

Дмитрий Волегов аватар
Не на сайте
Был на сайте: 3 года 6 месяцев назад
Зарегистрирован: 22.05.2013 - 00:32
Публикации: 1148

Да. Не каждому фиброзу посвящаем свою прозу. Дабы избежать угрозу, не послушать ли нам розу?smiley (типа -стих).

С Уважением, Дмитрий.

Сольвейг аватар
Не на сайте
Был на сайте: 3 года 5 месяцев назад
Зарегистрирован: 05.02.2013 - 20:25
Публикации: 2239

Вот нравится мне Ваш стих, Дмитрий! Смайлик! Вопрос автору: когда контроль планируется? Увидим ? Мы все ждем!

schlyapa аватар
Не на сайте
Был на сайте: 8 лет 5 дней назад
Зарегистрирован: 27.09.2013 - 22:15
Публикации: 613

Контроль рекомендован через 2 недели от 18.03

Сольвейг аватар
Не на сайте
Был на сайте: 3 года 5 месяцев назад
Зарегистрирован: 05.02.2013 - 20:25
Публикации: 2239

Ждем. Все-таки пневмонию лечат?

schlyapa аватар
Не на сайте
Был на сайте: 8 лет 5 дней назад
Зарегистрирован: 27.09.2013 - 22:15
Публикации: 613

Предположим, динамики не будет. Конс фтизиатра/онколога?

Сольвейг аватар
Не на сайте
Был на сайте: 3 года 5 месяцев назад
Зарегистрирован: 05.02.2013 - 20:25
Публикации: 2239

Да будет динамика, хоть малюсенькая, но будет. А дальше-еще кое-что скажу!

NIL аватар
NIL
Не на сайте
Был на сайте: 4 часа 8 минут назад
Зарегистрирован: 25.11.2013 - 20:50
Публикации: 18203

Миргалина wrote:
Да будет динамика, хоть малюсенькая, но будет. А дальше-еще кое-что скажу!
У-у- у! Как загадочно! от нетерпения помереть можно1


"Слушай всех, прислушивайся к немногим, решай сам".©

schlyapa аватар
Не на сайте
Был на сайте: 8 лет 5 дней назад
Зарегистрирован: 27.09.2013 - 22:15
Публикации: 613

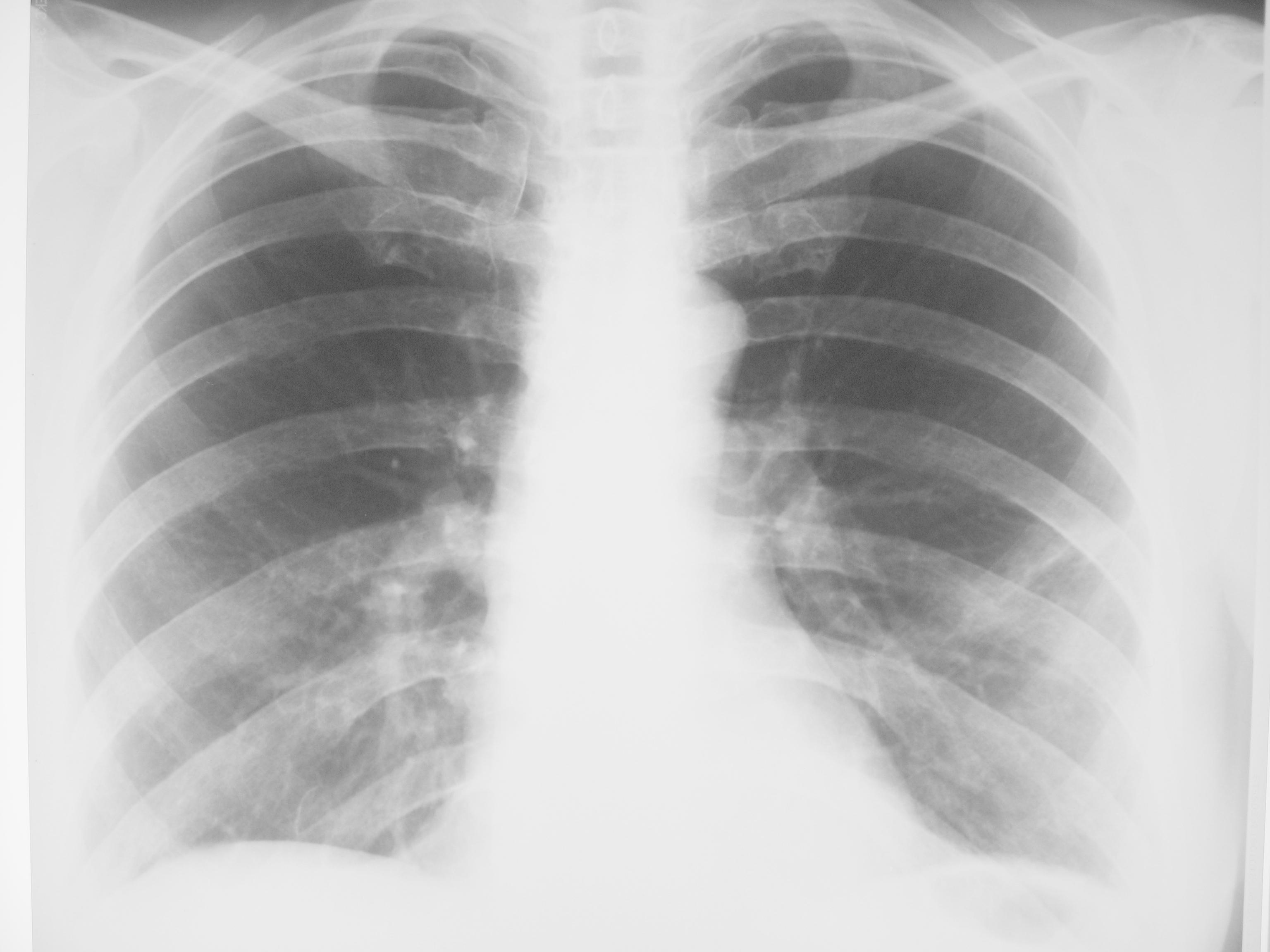
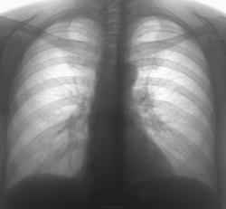
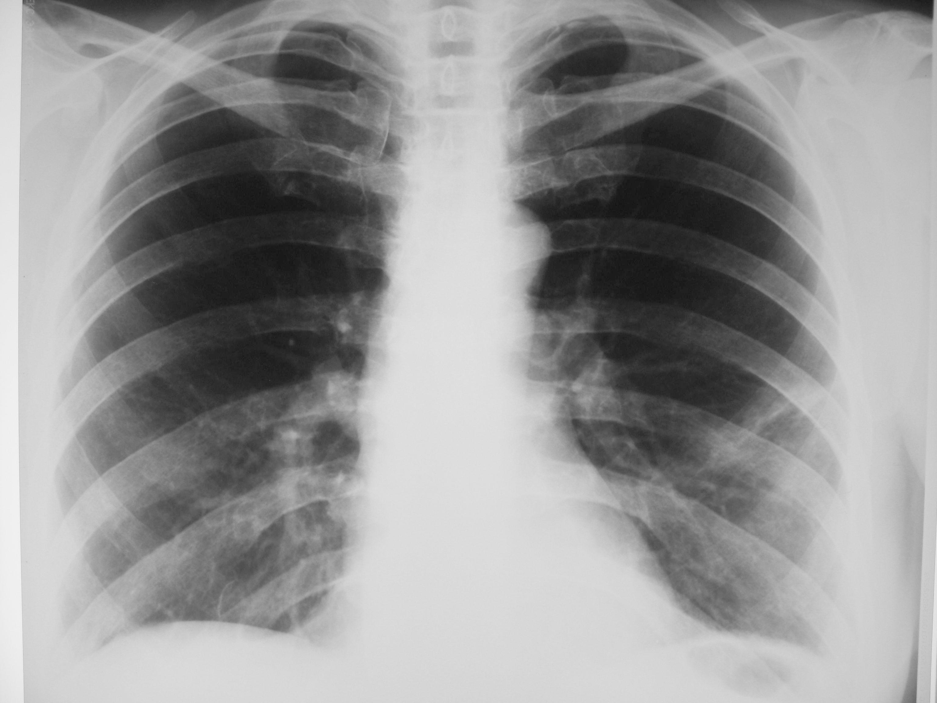
Сегодняшние снимки

Приложения: 
img_2738.jpgimg_2739.jpg
Сольвейг аватар
Не на сайте
Был на сайте: 3 года 5 месяцев назад
Зарегистрирован: 05.02.2013 - 20:25
Публикации: 2239

Миргалина wrote:
Никакой не фиброз, лечите пневмонию
Ну, а Вы боялись. Так есть динамика, а? Так-то, друзья!

schlyapa аватар
Не на сайте
Был на сайте: 8 лет 5 дней назад
Зарегистрирован: 27.09.2013 - 22:15
Публикации: 613

Подскажите, что нужно было делать в случае отсутствия динамики? Томографии нет. Есть возможность направления в онко- или тубдиспансер для дообследования.

Андрей Юрьевич аватар
Не на сайте
Был на сайте: 1 день 1 час назад
Зарегистрирован: 16.11.2008 - 22:16
Публикации: 18098

Так может начинаться центральный рак. Мало того, изменения могут исчезать на фоне противовоспалительной терапии. А потом появляться вновь.

Андрей Юрьевич

maker4ik аватар
Не на сайте
Был на сайте: 8 лет 6 месяцев назад
Зарегистрирован: 19.10.2011 - 17:49
Публикации: 2682

Миргалина wrote:
Миргалина wrote:
Никакой не фиброз, лечите пневмонию
Ну, а Вы боялись. Так есть динамика, а? Так-то, друзья!

Дисковидный ателектаз расправился, инфильтрации как не было, так и нет.

Андрей Юрьевич аватар
Не на сайте
Был на сайте: 1 день 1 час назад
Зарегистрирован: 16.11.2008 - 22:16
Публикации: 18098

Дмитрий Волегов wrote:

Да. Не каждому фиброзу посвящаем свою прозу. Дабы избежать угрозу, не послушать ли нам розу?smiley (типа -стих).


Полный ОФФ: на мотив куплетов Трике: "Ви роза, ви роза, ви роза belle Mir-ga-li-na..." smiley

Андрей Юрьевич

Сольвейг аватар
Не на сайте
Был на сайте: 3 года 5 месяцев назад
Зарегистрирован: 05.02.2013 - 20:25
Публикации: 2239

Андрей Юрьевич! Рада встрече с Вами! А еще больше рада, что Вы стали чаще улыбаться! И Онегина вспоминать! Весна, что ли? Кажется, никто не ускользает от ее внимания! Вот и Nobody так переменчив стал в своих "имиджах"! Да что греха таить, и я цветочками увлеклась! Но ведь это-хорошо?

Андрей Юрьевич аватар
Не на сайте
Был на сайте: 1 день 1 час назад
Зарегистрирован: 16.11.2008 - 22:16
Публикации: 18098

Спасибо, Миргалина. Чаще? Куда уж чаще? Я вообще "душа компании". Да нет, не весна, просто роза подвернулась.

Андрей Юрьевич

Сольвейг аватар
Не на сайте
Был на сайте: 3 года 5 месяцев назад
Зарегистрирован: 05.02.2013 - 20:25
Публикации: 2239

Так это я (моя роза?) всему причина??? О, душа моя, и всей нашей компании! Спасибо!!! Сердечный смайлик!!!! Только почему-"подвернулась"?Лучше-"на глаза попалась".

Андрей Юрьевич аватар
Не на сайте
Был на сайте: 1 день 1 час назад
Зарегистрирован: 16.11.2008 - 22:16
Публикации: 18098

К сожалению, но столько роза, сколько  стих Дмитрия на ее/Вашу тему.

Андрей Юрьевич

Сольвейг аватар
Не на сайте
Был на сайте: 3 года 5 месяцев назад
Зарегистрирован: 05.02.2013 - 20:25
Публикации: 2239

К большому сожалению. А ведь расцвела , роза-то! Ах, Андрей Юрьевич, Андрей Юрьевич!

Сергей Кузьминов аватар
Не на сайте
Был на сайте: 1 год 1 неделя назад
Зарегистрирован: 06.10.2012 - 15:51
Публикации: 11813

Здраствуйте,коллеги!Вернувшись к теме:рекомендовать таки контроль через месяц во избежание.А при отсутствии томографии на месте надо искатьеё на стороне,никуда не денешься.

Сольвейг аватар
Не на сайте
Был на сайте: 3 года 5 месяцев назад
Зарегистрирован: 05.02.2013 - 20:25
Публикации: 2239

Сергей Кузьминов wrote:

Здраствуйте,коллеги!Вернувшись к теме:рекомендовать таки контроль через месяц во избежание.А при отсутствии томографии на месте надо искатьеё на стороне,никуда не денешься.

Контроль рекомендовать, но месяца через 3. Локализация уж больно нехорошая.

Сергей Кузьминов аватар
Не на сайте
Был на сайте: 1 год 1 неделя назад
Зарегистрирован: 06.10.2012 - 15:51
Публикации: 11813

Можно и так.

NIL аватар
NIL
Не на сайте
Был на сайте: 4 часа 8 минут назад
Зарегистрирован: 25.11.2013 - 20:50
Публикации: 18203

Андрей Юрьевич wrote:

Так может начинаться центральный рак. Мало того, изменения могут исчезать на фоне противовоспалительной терапии. А потом появляться вновь.

Согласна. Была на практике такие случаи, и не раз.Очень боюсь таких пневмоний, часто они параканкрозны. Рентгенконтроль обязателен. После пневмоний рентгенконтроль полагается через 1 месяц ( нас так учили).


"Слушай всех, прислушивайся к немногим, решай сам".©

Сольвейг аватар
Не на сайте
Был на сайте: 3 года 5 месяцев назад
Зарегистрирован: 05.02.2013 - 20:25
Публикации: 2239

NIL wrote:

Андрей Юрьевич wrote:

Так может начинаться центральный рак. Мало того, изменения могут исчезать на фоне противовоспалительной терапии. А потом появляться вновь.

Согласна. Была на практике такие случаи, и не раз.Очень боюсь таких пневмоний, часто они параканкрозны. Рентгенконтроль обязателен. После пневмоний рентгенконтроль полагается через 1 месяц ( нас так учили).

Ну так я не спорю. Просто за месяц рентгенологически можем ничего не увидеть, и больного отпускаем,а через 3-наверняка будет, если есть "зло". Практика так показывает, -когда изменения очень малы, как в этом случае. Не настаиваю. Но сделала бы через 3 месяца.или КТ

NIL аватар
NIL
Не на сайте
Был на сайте: 4 часа 8 минут назад
Зарегистрирован: 25.11.2013 - 20:50
Публикации: 18203

Так ведь и я не спорю.Если мне не изменяет память, в институте учили ( а это было при царе Горохе), что после пневмонии пациент наблюдается год. Рентгенконтроли проводят через 1,6 и12 месяцев. Можно и флюороконтроль, если флюорограф приличный.Но суть не в этом. Речь идёт о том, что ЭТОГО пациента нельзя оставлять без наблюдения. А кратность контроля определят на месте в зависимости от состояния и самочувствия пациента.


"Слушай всех, прислушивайся к немногим, решай сам".©

Сольвейг аватар
Не на сайте
Был на сайте: 3 года 5 месяцев назад
Зарегистрирован: 05.02.2013 - 20:25
Публикации: 2239

Согласна.Без присмотра нельзя оставлять.

Nobody аватар
Не на сайте
Был на сайте: 11 лет 3 недели назад
Зарегистрирован: 15.03.2014 - 20:29
Публикации: 2013

maker4ik wrote:

Миргалина wrote:
Миргалина wrote:
Никакой не фиброз, лечите пневмонию
Ну, а Вы боялись. Так есть динамика, а? Так-то, друзья!

Дисковидный ателектаз расправился, инфильтрации как не было, так и нет.

Опустив неудобоваримые комментарии коллеги-КТ относительно цветов, вернусь к теме случая. Что на этом столе.)

Вольному воля. Главное, такие такие дисковидные ателектазы из виду не упускать... Чтобы статистику печальную не усугублять. Кстати, дисковидный ателектаз так не выглядит. Не его эта тень. Но это только слова. Вы человек действия, как и я.) Каждый будет при своём мнении. Главное, чтобы оставалось сомнение!..

"Лишь утратив всё до конца, мы обретаем свободу." F.C.

Nobody аватар
Не на сайте
Был на сайте: 11 лет 3 недели назад
Зарегистрирован: 15.03.2014 - 20:29
Публикации: 2013

schlyapa wrote:
Подскажите, что нужно было делать в случае отсутствия динамики? Томографии нет. Есть возможность направления в онко- или тубдиспансер для дообследования.

В случае отсутствия какой-либо динамики (и при условии клинического неблагополучия...) дообследование показано. Чем раньше, тем лучше. Линейной томографией не разберётесь. Чтобы в комплексе всё оценить - на КТ направляйте, не ошибётесь. А куда - не принципиально. Куда ближе и где быстрее - лучше туда.)

"Лишь утратив всё до конца, мы обретаем свободу." F.C.