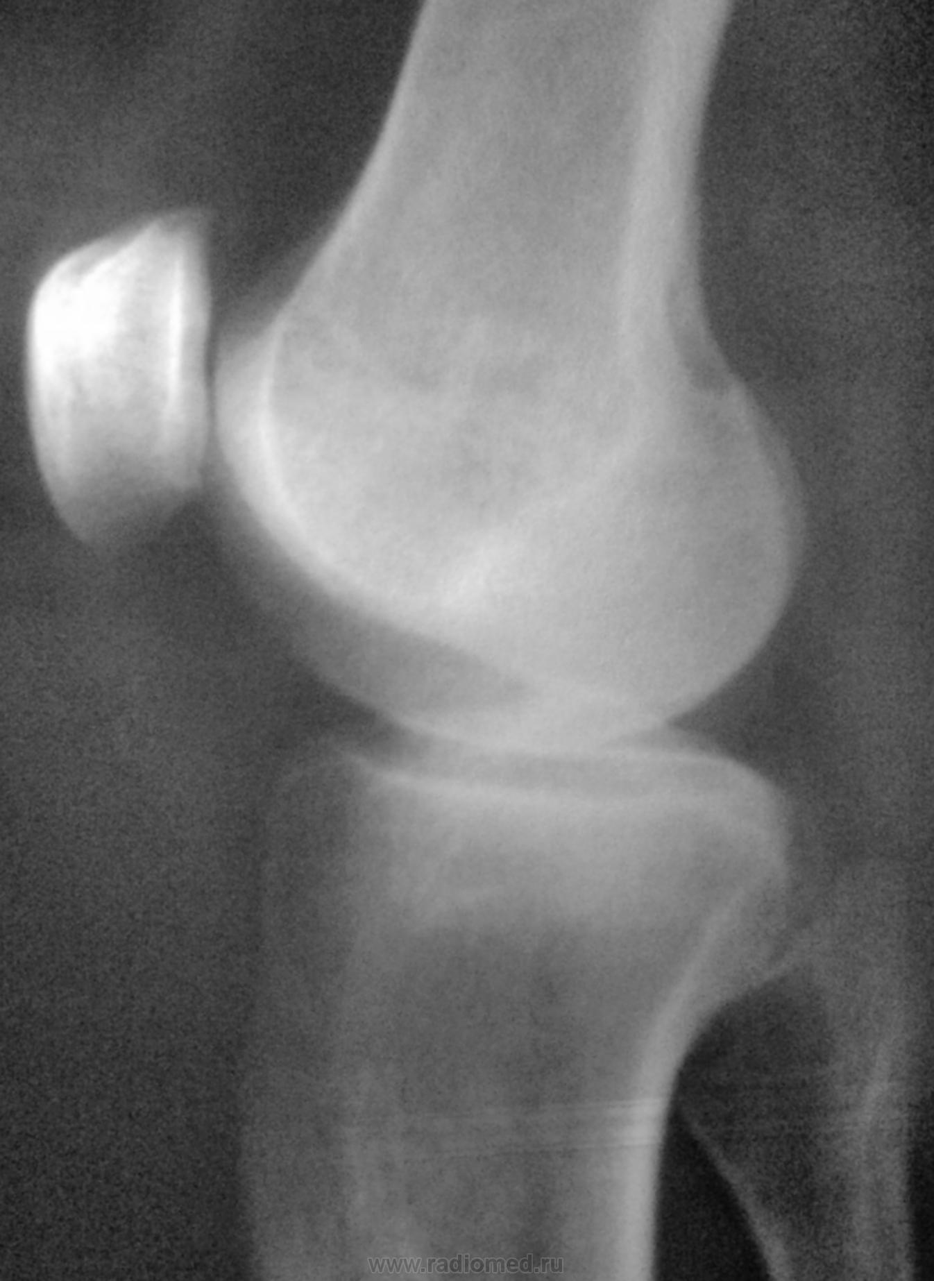
Пол пациента: Женский пол Тип патологии: Другое Область исследования: Скелетно-мышечная система Методы исследования: Rg Доброго времени суток! Коллеги, подскажите, что это может быть возле медиального надмыщелка бедренной кости? Пациентку 65 лет направил хирург с ДОА. Заранее спасибо. https://radiomed.ru/sites/default/files/styles/case_slider_image/public/user/12/12.foto0170-1.jpg?itok=EaLMu7dQ https://radiomed.ru/sites/default/files/styles/case_slider_image/public/user/12/13.foto0174.jpg?itok=p2Fa3XXR ID:24113 Пнд, 29/10/2012 - 23:01 #1 Almo Не на сайте Был на сайте: 9 часов 51 минут назад Зарегистрирован: 28.09.2008 - 18:50 Публикации: 8256 Тень Штида( внутренный мыщелок бедра). Пнд, 29/10/2012 - 23:02 #2 Андрей Юрьевич Не на сайте Был на сайте: 6 дней 14 часов назад Зарегистрирован: 16.11.2008 - 22:16 Публикации: 18098 Пеллегрини - Штиды болезнь http://www.radiomed.ru/publications/kss-pellegrini-shtida-bolezn Хотя в наше время считалось, что не болезнь это, а так, синдром. Андрей Юрьевич Пнд, 29/10/2012 - 23:05 #3 И.Бондаренко Не на сайте Был на сайте: 2 дня 7 часов назад Зарегистрирован: 13.09.2011 - 22:55 Публикации: 9206 +1 Втр, 30/10/2012 - 05:58 #4 Петр Николаевич Не на сайте Был на сайте: 3 года 10 месяцев назад Зарегистрирован: 15.03.2011 - 13:22 Публикации: 150 Болезнь Пеллегрини - Штида +1 Втр, 30/10/2012 - 19:31 #5 maker4ik Не на сайте Был на сайте: 8 лет 7 месяцев назад Зарегистрирован: 19.10.2011 - 17:49 Публикации: 2682 Плюсую к Пеллегрини-Штида.
Тень Штида( внутренный мыщелок бедра).
Пеллегрини - Штиды болезнь http://www.radiomed.ru/publications/kss-pellegrini-shtida-bolezn Хотя в наше время считалось, что не болезнь это, а так, синдром.
Андрей Юрьевич
+1
Болезнь Пеллегрини - Штида +1
Плюсую к Пеллегрини-Штида.