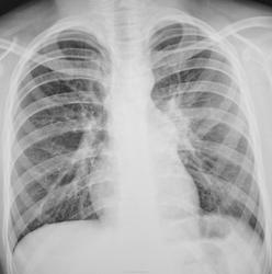
Подросток направлен на рентгенографию ОГК с диагнозом пневмония.

Пол пациента: 
Методы исследования: 

Подросток направлен на рентгенографию ОГК с диагнозом пневмония.

  • https://radiomed.ru/sites/default/files/styles/case_slider_image/public/user/12/22.dscn0549a.jpg?itok=lNGELxZl
ID:24480
фади 79 аватар
Не на сайте
Был на сайте: 8 лет 7 месяцев назад
Зарегистрирован: 30.10.2012 - 21:15
Публикации: 50

на фоне усиление л/рисунка очаговоподобные тени в верхних отделах.левый корень смушает.

И.Бондаренко аватар
Не на сайте
Был на сайте: 3 дня 14 часов назад
Зарегистрирован: 13.09.2011 - 22:55
Публикации: 9206

Расширение контура легочной артерии, увеличение левого корня. Да и легочный рисунок усилен с обеих сторон, артерии как бы утолщены. Боковую проекцию в студию

Петрович аватар
Не на сайте
Был на сайте: 7 лет 2 месяцев назад
Зарегистрирован: 22.03.2009 - 01:13
Публикации: 3908

Вполне может здесь оказаться пневмония S6 левого лёгкого. хотя по одной проекции сложно решить. Нужна боковая проекция. Вообще-то смущает корень левого лёгкого. Наверное, томограммы уже заготовлены). 

Неоднозначно всё

Петрович аватар
Не на сайте
Был на сайте: 7 лет 2 месяцев назад
Зарегистрирован: 22.03.2009 - 01:13
Публикации: 3908

PS. Ещё ствол лёгочной артерии сильно выбухает.

Неоднозначно всё

helenmar аватар
Не на сайте
Был на сайте: 8 лет 5 месяцев назад
Зарегистрирован: 23.03.2008 - 12:27
Публикации: 291

Инфильтрации в л/полях не вижу. Сосудистый рисунок акцентирован. Выбухает артериальный конус, индекс Мура 36% - признаки перегрузки правого желудочка (ВПС? - консультация кардиолога). Левый боковой рекомендовала бы только при наличии признаков воспаления по лабораторным данным. 

Делай, что должно, и будь, что будет.

Сан Саныч1 аватар
Не на сайте
Был на сайте: 11 месяцев 2 недели назад
Зарегистрирован: 07.06.2010 - 21:17
Публикации: 2114

У ребенка митральный стеноз?

Хочешь сделать что-то нормально - сделай это сам!

Катенёв Валентин Львович аватар
Не на сайте
Был на сайте: 7 лет 2 недели назад
Зарегистрирован: 22.03.2008 - 22:15
Публикации: 54876

Сан Саныч1 wrote:

У ребенка митральный стеноз?

Такой диагноз клинически установлен не был

НАДЕЖДА ЮРЬЕВНА аватар
Не на сайте
Был на сайте: 6 лет 11 месяцев назад
Зарегистрирован: 30.07.2012 - 13:14
Публикации: 360

Тоже за пневмонию не вижу ничегоfrown.

Andriy аватар
Не на сайте
Был на сайте: 11 лет 5 месяцев назад
Зарегистрирован: 28.06.2012 - 14:24
Публикации: 82

Видимых очаговых и инфильтративных изменений в лёгких не выявлено. Митральная конфигурация сердца.

Рекомендовано: УЗИ сердца.