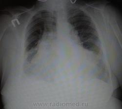
Ж., около 70 лет с терапии. Это все расширенная тень сердца? снимки со всех сторон https://radiomed.ru/sites/default/files/styles/case_slider_image/public/user/18943/w4cqokz5r48.jpg?itok=TtsqZxH3 https://radiomed.ru/sites/default/files/styles/case_slider_image/public/user/18943/b5pudnayjfk.jpg?itok=r5W2Bmm2 ID:47925 Втр, 10/12/2013 - 16:34 #1 Евгений Дорофеев Не на сайте Был на сайте: 11 лет 1 месяц назад Зарегистрирован: 06.06.2013 - 17:28 Публикации: 1746 Да, застой то приличный с гидротораксом, не считая того что укладка страдает. Втр, 10/12/2013 - 16:40 #2 НД Не на сайте Был на сайте: 9 лет 8 месяцев назад Зарегистрирован: 25.09.2013 - 21:06 Публикации: 319 все-таки с гидротораксом? укажите, пожалуйста )) Втр, 10/12/2013 - 16:59 #3 Евгений Дорофеев Не на сайте Был на сайте: 11 лет 1 месяц назад Зарегистрирован: 06.06.2013 - 17:28 Публикации: 1746 Если не секрет снимок лёжа выполнен? Втр, 10/12/2013 - 17:02 #4 Евгений Дорофеев Не на сайте Был на сайте: 11 лет 1 месяц назад Зарегистрирован: 06.06.2013 - 17:28 Публикации: 1746 НД wrote: все-таки с гидротораксом? укажите, пожалуйста )) А нижние границы на боковой поверхности ? Втр, 10/12/2013 - 17:02 #5 НД Не на сайте Был на сайте: 9 лет 8 месяцев назад Зарегистрирован: 25.09.2013 - 21:06 Публикации: 319 dorofey84 wrote: Если не секрет снимок лёжа выполнен? нет Втр, 10/12/2013 - 17:08 #6 НД Не на сайте Был на сайте: 9 лет 8 месяцев назад Зарегистрирован: 25.09.2013 - 21:06 Публикации: 319 dorofey84 wrote: НД wrote: все-таки с гидротораксом? укажите, пожалуйста )) А нижние границы на боковой поверхности ? а почему тогда купола визуализируются на прямом Втр, 10/12/2013 - 17:37 #7 Евгений Дорофеев Не на сайте Был на сайте: 11 лет 1 месяц назад Зарегистрирован: 06.06.2013 - 17:28 Публикации: 1746 Грубо конечно, но............. (про линии Керли)и кстати правый реберно диафрагмальный синус ...................Приложения: Втр, 10/12/2013 - 17:43 #8 НД Не на сайте Был на сайте: 9 лет 8 месяцев назад Зарегистрирован: 25.09.2013 - 21:06 Публикации: 319 dorofey84 wrote: Грубо конечно, но............. (про линии Керли)и кстати правый реберно диафрагмальный синус ................... но он все-таки проглядывает, в оригинале было видно, да и тут Втр, 10/12/2013 - 17:54 #9 Евгений Дорофеев Не на сайте Был на сайте: 11 лет 1 месяц назад Зарегистрирован: 06.06.2013 - 17:28 Публикации: 1746 НД wrote: dorofey84 wrote: Грубо конечно, но............. (про линии Керли)и кстати правый реберно диафрагмальный синус ................... но он все-таки проглядывает, в оригинале было видно, да и тут А вообще если я сомневаюсь то УЗИ плевральных полостей заказываю, но это я............ Втр, 10/12/2013 - 18:03 #10 НД Не на сайте Был на сайте: 9 лет 8 месяцев назад Зарегистрирован: 25.09.2013 - 21:06 Публикации: 319 это вы хорошо про узи напомнили Втр, 10/12/2013 - 18:12 #11 Mila85 Не на сайте Был на сайте: 3 года 1 месяц назад Зарегистрирован: 15.03.2012 - 16:59 Публикации: 1790 Может и есть небольшое количество жидкости, но какое это имеет по большому счету значение? Тень сердца резко расширена, огромная ВПВ Втр, 10/12/2013 - 18:56 #12 Евгений Дорофеев Не на сайте Был на сайте: 11 лет 1 месяц назад Зарегистрирован: 06.06.2013 - 17:28 Публикации: 1746 Mila85 wrote: Может и есть небольшое количество жидкости, но какое это имеет по большому счету значение? Тень сердца резко расширена, огромная ВПВ +1 Только на пункции до 500 мл жидкости светло жёлтой слабо опалесцирующей получали. Втр, 10/12/2013 - 22:40 #13 И.Бондаренко Не на сайте Был на сайте: 2 дня 11 часов назад Зарегистрирован: 13.09.2011 - 22:55 Публикации: 9206 Жидкость есть. Количество можно узнать по латерограмме или УЗИ. Втр, 10/12/2013 - 23:02 #14 НД Не на сайте Был на сайте: 9 лет 8 месяцев назад Зарегистрирован: 25.09.2013 - 21:06 Публикации: 319 Спасибо всем! Пт, 13/12/2013 - 01:25 #15 Makcimalist Не на сайте Был на сайте: 11 лет 9 месяцев назад Зарегистрирован: 08.05.2010 - 14:28 Публикации: 1994 Интересно, не только количество выпота справа (по УЗИ), но и сколько её в перикарде. Если возможно, дообследование будет - данные сообщите. Заранее Вам спасибо. -------------- "Просто, по видимости, не видеть логики в очевидных вещах - это тоже одно из свойств некоторых умов, наряду с грустными думами о свойствах ума других." © Vega 08/10/2011
Да, застой то приличный с гидротораксом, не считая того что укладка страдает.
все-таки с гидротораксом? укажите, пожалуйста ))
Если не секрет снимок лёжа выполнен?
нет
а почему тогда купола визуализируются на прямом
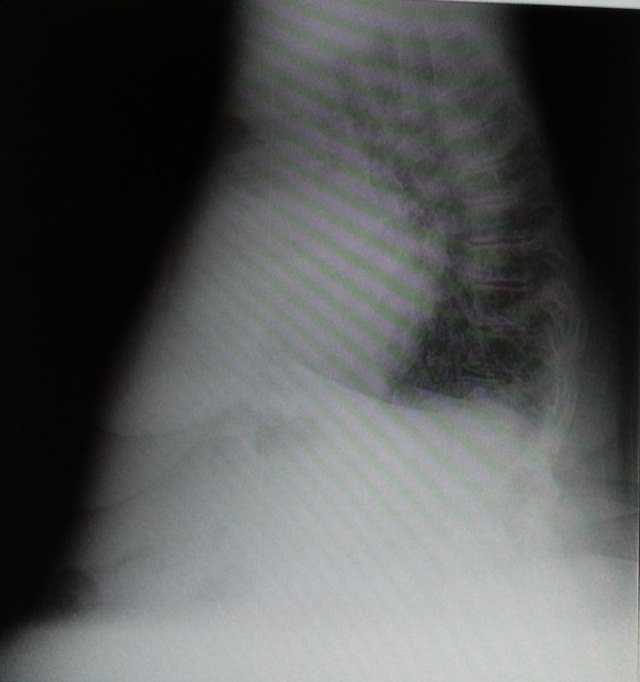
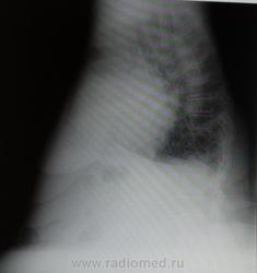
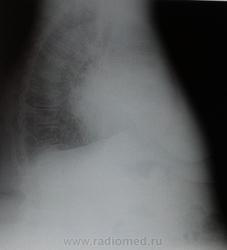
Грубо конечно, но............. (про линии Керли)и кстати правый реберно диафрагмальный синус ...................
но он все-таки проглядывает, в оригинале было видно, да и тут
это вы хорошо про узи напомнили
Может и есть небольшое количество жидкости, но какое это имеет по большому счету значение? Тень сердца резко расширена, огромная ВПВ
Жидкость есть. Количество можно узнать по латерограмме или УЗИ.
Спасибо всем!
Интересно, не только количество выпота справа (по УЗИ), но и сколько её в перикарде. Если возможно, дообследование будет - данные сообщите. Заранее Вам спасибо.
--------------
"Просто, по видимости, не видеть логики в очевидных вещах - это тоже одно из свойств некоторых умов, наряду с грустными думами о свойствах ума других." © Vega 08/10/2011