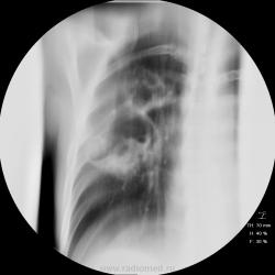
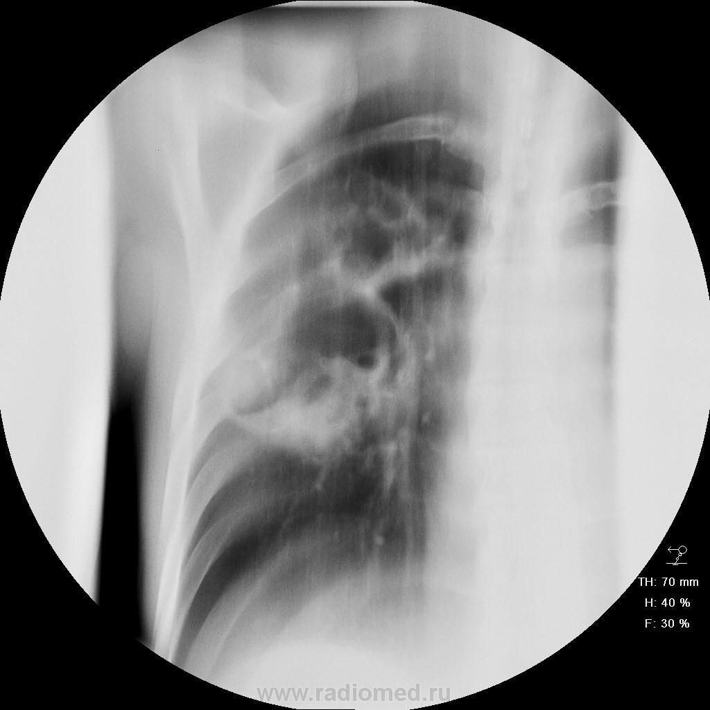
Полостные образования

Пол пациента: 
Методы исследования: 

    Поступил на следуюий день после представленного мной вам полостного образования.Первого перевили в торак отделение областной больнице. если узнаю судьбу - сообщу.

мужчина, 50 лет, социально благополучный, поступил с жалобами на температуру до 39, боль справа, утомляемость и т.д. В анализах высокое СОЭ, лейкоцитоз. Заболел остро 2 недели назад, когда в поликлинике выставили по флю пневмонию в S2 (со слов) и стали лечить... Всвязи с отсутствием положительной динамики направили к нам в пульмонологическое отделение.

И еще, как бы вы описали данную картину.

  • https://radiomed.ru/sites/default/files/styles/case_slider_image/public/user/2983/IMAGE_80-1.jpg?itok=IaTCUywH
  • https://radiomed.ru/sites/default/files/styles/case_slider_image/public/user/2983/IMAGE_79-1.jpg?itok=OolTDAUD
  • https://radiomed.ru/sites/default/files/styles/case_slider_image/public/user/2983/IMAGE_75-1.jpg?itok=bHjKR2kq
ID:3952
Цель публикации: 
Грицько Виталий аватар
Не на сайте
Был на сайте: 8 лет 11 месяцев назад
Зарегистрирован: 05.01.2010 - 14:06
Публикации: 1058

А вы ту фг видели. Если да то что на ней на ваш взгляд.

Юрич аватар
Не на сайте
Был на сайте: 6 лет 5 месяцев назад
Зарегистрирован: 17.01.2010 - 09:55
Публикации: 351

флю не видел и по этому написал "со слов - пневмония С2" .тоже интересно что на ней...

Грицько Виталий аватар
Не на сайте
Был на сайте: 8 лет 11 месяцев назад
Зарегистрирован: 05.01.2010 - 14:06
Публикации: 1058

Проблемно что сказать так как динамика в таких случаях очень важна.Но думаю пневмонию с распадом исключить нельзя. Думаю и у вас в стационаре динамика многие точки ставит. А что в мокроте?

Катенёв Валентин Львович аватар
Не на сайте
Был на сайте: 7 лет 2 недели назад
Зарегистрирован: 22.03.2008 - 22:15
Публикации: 54876

Возможно, кистозные образования (возможно, дизонтогенетические). Возможно, произошло "нагноение".

tatyana аватар
Не на сайте
Был на сайте: 4 года 1 месяц назад
Зарегистрирован: 24.06.2009 - 08:33
Публикации: 2090

полостные образования давние, с хорошо выражеными, сформироваными, плотными стенками, нет перифокального воспаления - значит не абсцедирующая пневмония. Учитывая клинику - воспалившиеся (нагноившиеся) кисты

"самоуверенность дилетантов - предмет зависти профессионалов"

Катенёв Валентин Львович аватар
Не на сайте
Был на сайте: 7 лет 2 недели назад
Зарегистрирован: 22.03.2008 - 22:15
Публикации: 54876

Вот, и картинки, мал-мал обработанные.

 

Приложения: 
o1u..jpgo2u..jpgo3u..jpgo4u..jpg
Ермолаев аватар
Не на сайте
Был на сайте: 8 лет 10 месяцев назад
Зарегистрирован: 07.02.2009 - 16:33
Публикации: 670

Уважаемые коллеги! Считаю, что необходимо более подробно собрать анамнез пациента. Или этот микс - туберкулез + пневмония или пневмония Флиндлера.

dok

Юрич аватар
Не на сайте
Был на сайте: 6 лет 5 месяцев назад
Зарегистрирован: 17.01.2010 - 09:55
Публикации: 351

Всем добрый день! Завтра на ЮГ в ОТПУСК))))))))))

в торак. отделении произведена резекция верхней доли , С6 нижней. 2 крупных абсцесса( нагноившиеся кисты? ). один в С2, другой в С6. в верхней доле - буллы до 3 см. в С6 , ближе к корню , -инфильтрат(пневмония). 
диагноз хирурга: буллезная дисплазия. абсцессы (нагноившиеся кисты), пневмония.

Катенёв Валентин Львович аватар
Не на сайте
Был на сайте: 7 лет 2 недели назад
Зарегистрирован: 22.03.2008 - 22:15
Публикации: 54876

С Вашего позволения, данный случай, подтвержденный оперативно, можно забрать в набор изображений?

Юрич аватар
Не на сайте
Был на сайте: 6 лет 5 месяцев назад
Зарегистрирован: 17.01.2010 - 09:55
Публикации: 351

Конечно

Катенёв Валентин Львович аватар
Не на сайте
Был на сайте: 7 лет 2 недели назад
Зарегистрирован: 22.03.2008 - 22:15
Публикации: 54876

Спасибо. Хорошего Вам отпуска и положительных впечатлений.

Юрич аватар
Не на сайте
Был на сайте: 6 лет 5 месяцев назад
Зарегистрирован: 17.01.2010 - 09:55
Публикации: 351

Спасибо! до связи)