Помогите пожалуйста при постановке диагноза

Методы исследования: 

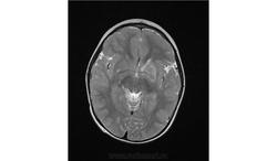
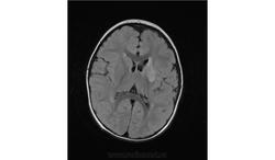
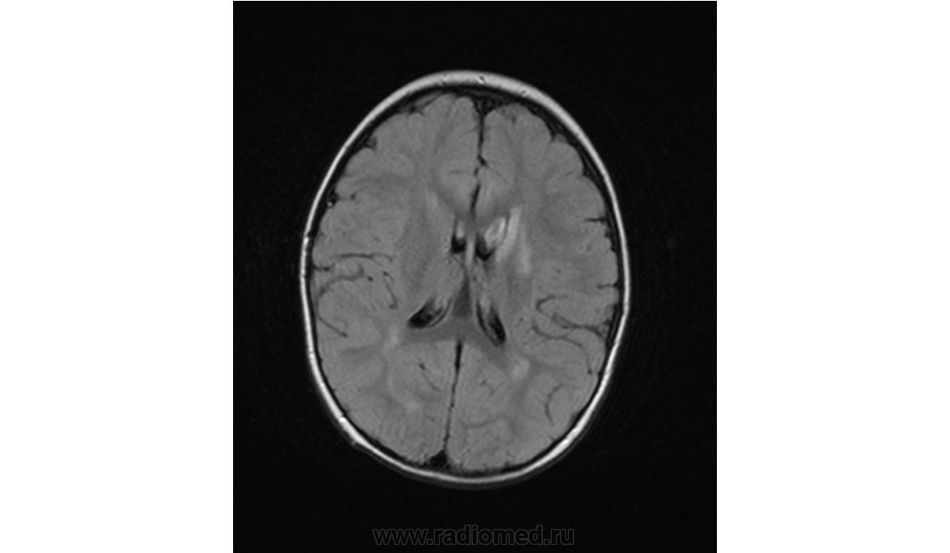
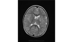
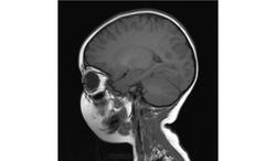
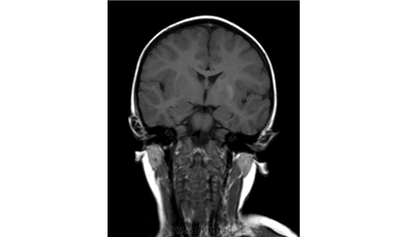
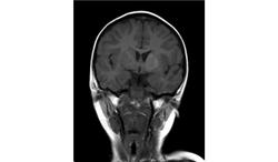
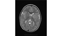
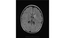
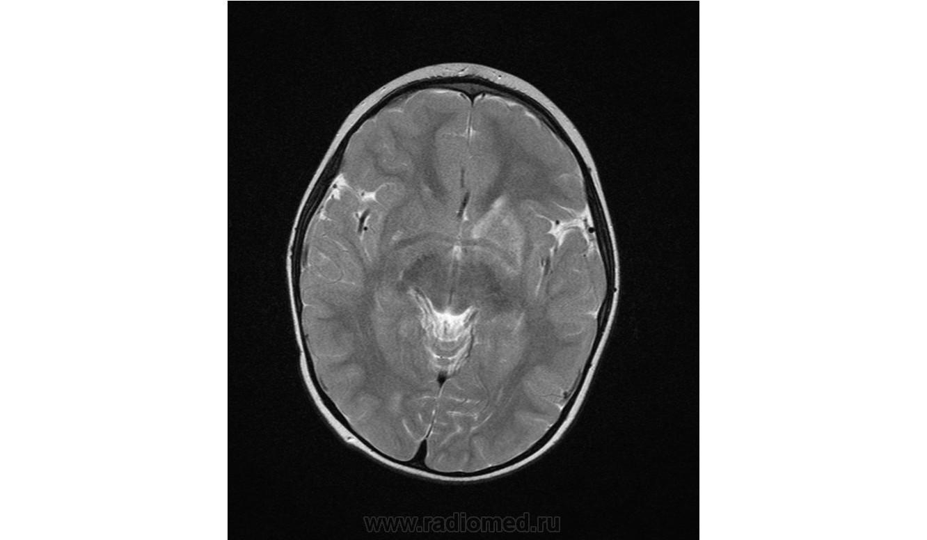
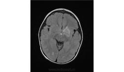
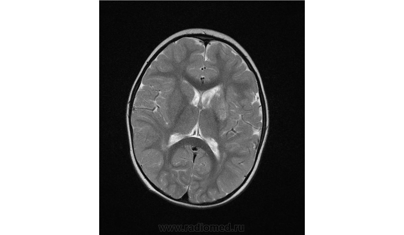
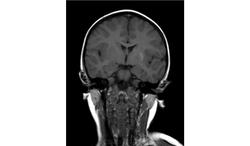
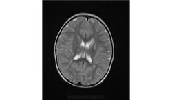
Ребенок 2 года, заболели в середине декабре, гемипорез, к сожелению не могу ни как с контрасном исследованеим здесь загрузить но накапление контрасного вещества нет, спосибо за помочь!!!!!!!           

  • https://radiomed.ru/sites/default/files/styles/case_slider_image/public/user/8037/oralbay1.jpg?itok=0KNaYDd4
  • https://radiomed.ru/sites/default/files/styles/case_slider_image/public/user/8037/oralbay_2.jpg?itok=YkU3mV77
  • https://radiomed.ru/sites/default/files/styles/case_slider_image/public/user/8037/oralbay_3.jpg?itok=nBNKD9Nc
  • https://radiomed.ru/sites/default/files/styles/case_slider_image/public/user/8037/oralbay_4.jpg?itok=h8IpjA96
  • https://radiomed.ru/sites/default/files/styles/case_slider_image/public/user/8037/oralbay_5.jpg?itok=GM8j-1zX
  • https://radiomed.ru/sites/default/files/styles/case_slider_image/public/user/8037/oralbay_6.jpg?itok=ys7Ezz0e
  • https://radiomed.ru/sites/default/files/styles/case_slider_image/public/user/8037/oralbay_7.jpg?itok=bSXd9JF2
  • https://radiomed.ru/sites/default/files/styles/case_slider_image/public/user/8037/oralbay_8.jpg?itok=NFBTbHf2
  • https://radiomed.ru/sites/default/files/styles/case_slider_image/public/user/8037/oralbay_9.jpg?itok=gQ1HQSKW
  • https://radiomed.ru/sites/default/files/styles/case_slider_image/public/user/8037/oralbay_10.jpg?itok=Ah-ju3A9
  • https://radiomed.ru/sites/default/files/styles/case_slider_image/public/user/8037/oralbay_11.jpg?itok=POXhR7ey
  • https://radiomed.ru/sites/default/files/styles/case_slider_image/public/user/8037/oralbay_12.jpg?itok=5jP9BQP1
  • https://radiomed.ru/sites/default/files/styles/case_slider_image/public/user/8037/oralbay_10_0.jpg?itok=UtSf0jp-
  • https://radiomed.ru/sites/default/files/styles/case_slider_image/public/user/8037/oralbay8_0.jpg?itok=1rlJsfje
ID:43799
ДмитрийД аватар
Не на сайте
Был на сайте: 8 месяцев 1 неделя назад
Зарегистрирован: 07.10.2011 - 16:38
Публикации: 768

Предположу гипоксически-ишемические изменения с диапедезным кровоизлиянием. Но они чаще двусторонние.