Помогите разобратся

Пол пациента: 
Методы исследования: 

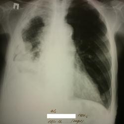
Женщина 86 лет поступила с жалобами на одышку, не лихорадит.

На рентгенограмме признаки гидроторакса справа, проведена плевральная пункция, установлен дренаж. Получено 2000 мл серозно-геморрагической жидкости.
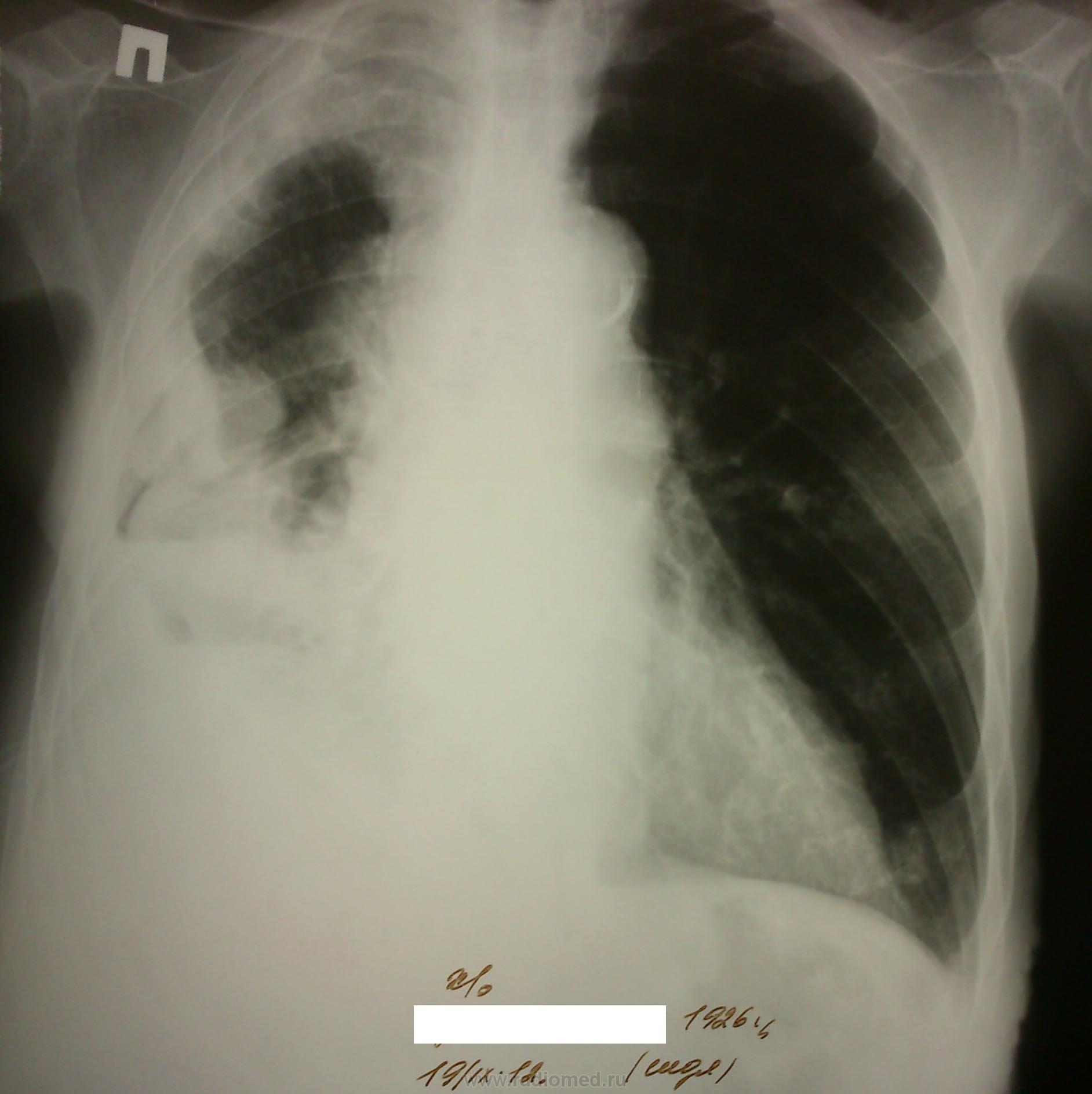
После плевральной пункции проведено контрольное рентгенологическое обследование.
Не могу разобраться, что за уровни жидкости на рентгенограммах при контрольном исследовании, возможно жидкость между плевральными спайками? Какова природа гидроторакса? Очень интересно ваше мнение…

  • https://radiomed.ru/sites/default/files/styles/case_slider_image/public/user/16807/spusk_pryam.jpg?itok=vSQbqPiE
  • https://radiomed.ru/sites/default/files/styles/case_slider_image/public/user/16807/spusk_bok.jpg?itok=iAljjg8N
  • https://radiomed.ru/sites/default/files/styles/case_slider_image/public/user/16807/pb1.jpg?itok=znDkFc0e
  • https://radiomed.ru/sites/default/files/styles/case_slider_image/public/user/16807/pb2.jpg?itok=bQ0gKh0K
ID:23218
Dima аватар
Не на сайте
Был на сайте: 7 лет 2 месяцев назад
Зарегистрирован: 05.08.2012 - 17:39
Публикации: 2467

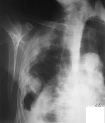
1. при поступлении
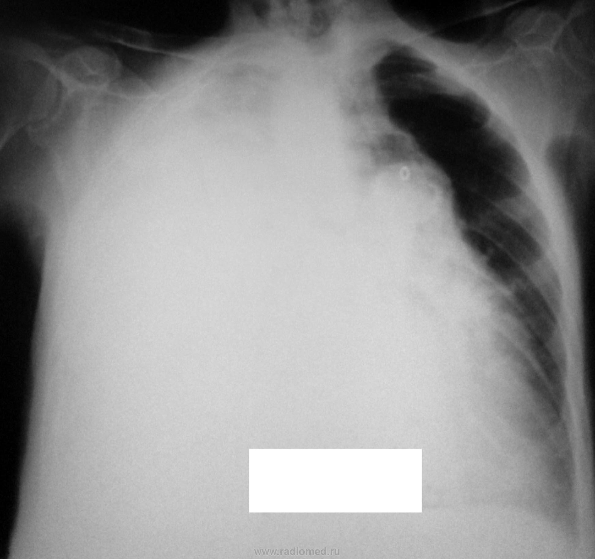
2. после пункции
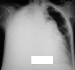
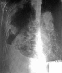
3. правый бок
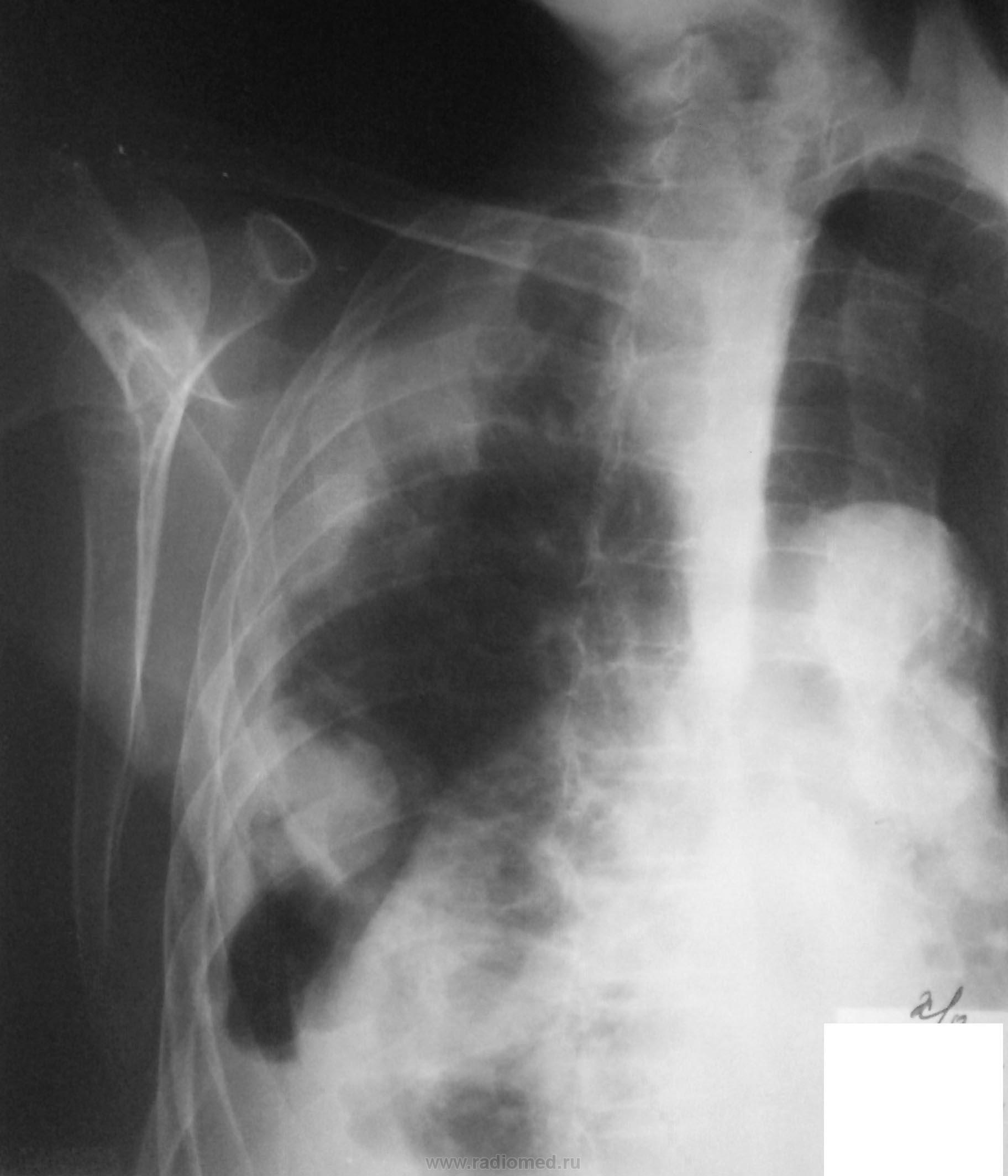
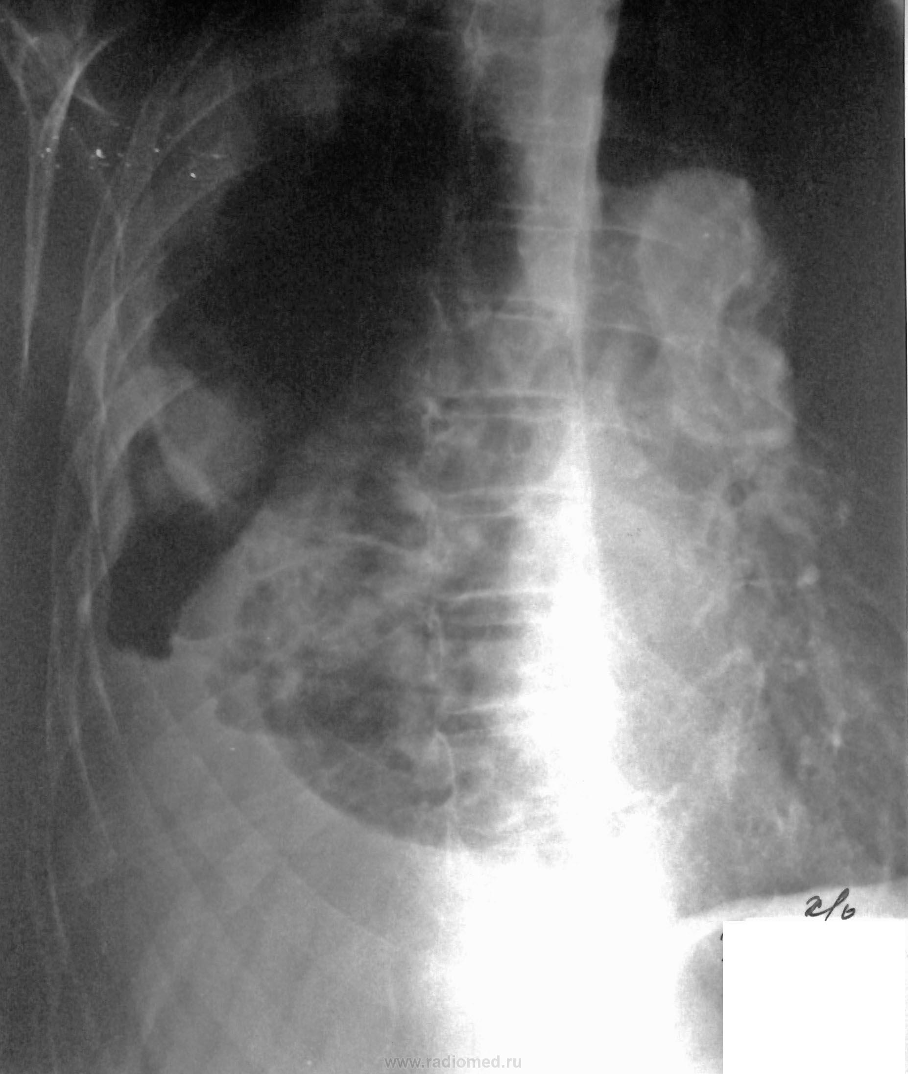
4,5. скопия

Приложения: 
gt.jpgspusk_pryam.jpgspusk_bok.jpgpb1.jpgpb2.jpg

Терпимость - это когда прощают чужие ошибки; такт - когда не замечают их. (Артур Шницлер)

Nikolas аватар
Не на сайте
Был на сайте: 1 месяц 3 недели назад
Зарегистрирован: 21.12.2010 - 20:37
Публикации: 4559

злокачественное поражение плевры.

FOX-ray аватар
Не на сайте
Был на сайте: 12 лет 3 месяцев назад
Зарегистрирован: 27.10.2010 - 21:05
Публикации: 84

Поддерживаю предыдущее мнение. Возраст, характер выпота, отсутствие яркой лихорадки.......

FOX-ray

Побединский Михаил Александрович аватар
Не на сайте
Был на сайте: 7 лет 9 месяцев назад
Зарегистрирован: 25.12.2010 - 23:44
Публикации: 696

Присоединяюсь к предыдущим постам. Онкология.

Дмитрий86 аватар
Не на сайте
Был на сайте: 11 месяцев 4 недели назад
Зарегистрирован: 17.01.2012 - 08:49
Публикации: 285

а на боковой если посмотреть в переднем отделе огк, это что за полость. а так тоже за зло, с метестазами

Dima аватар
Не на сайте
Был на сайте: 7 лет 2 месяцев назад
Зарегистрирован: 05.08.2012 - 17:39
Публикации: 2467

Дмитрий86 wrote:

а на боковой если посмотреть в переднем отделе огк, это что за полость. а так тоже за зло, с метестазами

Мне тоже не ясно это за полость, вопрос с образованием решен, но что за уровни жидкости?
Развитие пневмогидроторакса после плевральной пункции, на фоне спаечного процесса?

Терпимость - это когда прощают чужие ошибки; такт - когда не замечают их. (Артур Шницлер)

stovbav аватар
Не на сайте
Был на сайте: 2 года 2 месяцев назад
Зарегистрирован: 20.12.2009 - 17:28
Публикации: 7066

Dima wrote:

Развитие пневмогидроторакса после плевральной пункции, на фоне спаечного процесса?

Оно самое.

Almo аватар
Не на сайте
Был на сайте: 1 день 6 часов назад
Зарегистрирован: 28.09.2008 - 18:50
Публикации: 8248

+1.Скорее всего.

maker4ik аватар
Не на сайте
Был на сайте: 8 лет 7 месяцев назад
Зарегистрирован: 19.10.2011 - 17:49
Публикации: 2682

Серозно-геморрагическая жидкость = c-r

И.Бондаренко аватар
Не на сайте
Был на сайте: 1 день 6 часов назад
Зарегистрирован: 13.09.2011 - 22:55
Публикации: 9206

Очень похоже на мезотелиому. Особенно с учётом эвакуированной жидкости.