Помогите разобраться...

Пол пациента: 
Область исследования: 
Методы исследования: 

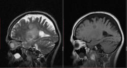
Женьщина 35 лет. В направлении гемипарез слева, дифдиагноз между образованием, инсультом и энцефалитом. Со слов болеет около 3 недель. Я такой картины ранее не встречал, склоняюсь к образованию.
    

  

Ссылка на дайком http://yadi.sk/d/5r96jbhO4x94S

  • https://radiomed.ru/sites/default/files/styles/case_slider_image/public/user/16807/t2t1.jpg?itok=GIQi8fw9
  • https://radiomed.ru/sites/default/files/styles/case_slider_image/public/user/16807/ft2.jpg?itok=FC4MCHDQ
  • https://radiomed.ru/sites/default/files/styles/case_slider_image/public/user/16807/ff.jpg?itok=PZn9fM9D
ID:28797
nnemo аватар
Не на сайте
Был на сайте: 11 лет 1 месяц назад
Зарегистрирован: 13.09.2011 - 18:32
Публикации: 561

Мне кажется энцефалит. Диффузию делали? Контраст? Что с анализами?

Helios аватар
Не на сайте
Был на сайте: 7 месяцев 3 недели назад
Зарегистрирован: 06.08.2010 - 15:16
Публикации: 4417

Глиальные изменения+ масс-эффект.Присоединяюсь к nnemo по поводу  проведения контрастирования и необходимости DWI. Еще  клиника и динамика в помощь.

Dima аватар
Не на сайте
Был на сайте: 7 лет 2 месяцев назад
Зарегистрирован: 05.08.2012 - 17:39
Публикации: 2467

nnemo wrote:

Мне кажется энцефалит. Диффузию делали? Контраст? Что с анализами?

Контраста и анализов нет. Диффузию не делали. Если сделать DWI какие изменения помогут в диф диагнозе?

Терпимость - это когда прощают чужие ошибки; такт - когда не замечают их. (Артур Шницлер)

nnemo аватар
Не на сайте
Был на сайте: 11 лет 1 месяц назад
Зарегистрирован: 13.09.2011 - 18:32
Публикации: 561

Dima wrote:

nnemo wrote:

Мне кажется энцефалит. Диффузию делали? Контраст? Что с анализами?

Контраста и анализов нет. Диффузию не делали. Если сделать DWI какие изменения помогут в диф диагнозе?

диффузия позволит с высокой степени вероятности исключить ОНМК, останется DDx между опухолевым и воспалительным процессом. При воспалительном процессе должна быть соответствующая клиника, анамнез и анализы...

ну и конечно, если нет возможности контрастировать -  динамика процесса

Dima аватар
Не на сайте
Был на сайте: 7 лет 2 месяцев назад
Зарегистрирован: 05.08.2012 - 17:39
Публикации: 2467

nnemo wrote:

Dima wrote:

nnemo wrote:

Мне кажется энцефалит. Диффузию делали? Контраст? Что с анализами?

Контраста и анализов нет. Диффузию не делали. Если сделать DWI какие изменения помогут в диф диагнозе?

диффузия позволит с высокой степени вероятности исключить ОНМК, останется DDx между опухолевым и воспалительным процессом. При воспалительном процессе должна быть соответствующая клиника, анамнез и анализы...

ну и конечно, если нет возможности контрастировать -  динамика процесса

Огромное, спасибо за разъяснения!

Терпимость - это когда прощают чужие ошибки; такт - когда не замечают их. (Артур Шницлер)