Помогите разобраться

Пол пациента: 
Тип патологии: 
Методы исследования: 

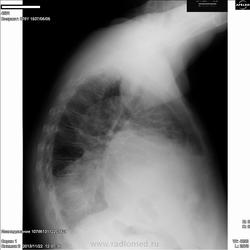
Пациентка, 76 лет. Жалобы на одышку. На кашель не жалуется. Температура нормальная. На ногах отеки. 

  

Какие будут мнения?

  • https://radiomed.ru/sites/default/files/styles/case_slider_image/public/user/18353/pravyy_bok.jpg?itok=TVjACsOB
ID:33534
Бородулин М.А. аватар
Не на сайте
Был на сайте: 9 месяцев 1 неделя назад
Зарегистрирован: 17.02.2011 - 01:10
Публикации: 1409

Анасарка.

docpech аватар
Не на сайте
Был на сайте: 10 лет 2 месяцев назад
Зарегистрирован: 05.11.2012 - 00:23
Публикации: 25

Кардиогенная пневмопатия, полисерозит

Андрей Юрьевич аватар
Не на сайте
Был на сайте: 2 дня 15 часов назад
Зарегистрирован: 16.11.2008 - 22:16
Публикации: 18098

Предполжу, все таки, прав. гидроторакс вследствие ЗНО правого легкого.

Андрей Юрьевич

Бородулин М.А. аватар
Не на сайте
Был на сайте: 9 месяцев 1 неделя назад
Зарегистрирован: 17.02.2011 - 01:10
Публикации: 1409

docpech wrote:

Кардиогенная пневмопатия

 Этот термин, где то используется?

Утверждать, как впрочем и отрицать наличие легочной гипертензии, при столь массивном гидроторакся вряд ли правильно.

P.S. Книгу В.Н. Молоткова в 1988 году прочел с большим интересом.

bocharovav аватар
Не на сайте
Был на сайте: 11 лет 10 месяцев назад
Зарегистрирован: 05.11.2013 - 22:18
Публикации: 54

Сердечная недостаточность

lupan аватар
Не на сайте
Был на сайте: 6 лет 10 месяцев назад
Зарегистрирован: 07.01.2010 - 17:17
Публикации: 1406

Думаю, не всё укладывается в гидроторакс. В первую очередь предположил бы рак. Либо периферический с метастазами в средостение, либо центральный. На боковом снимке больше данных за ателектаз н/д. В десятке на фоне затенения просматривается кругляш. Да и корень правого легкого ушел вниз.

Великое преймущество врача заключается в том, что он не обязан следовать собственным советам. ( А. Кристи)

Mila85 аватар
Не на сайте
Был на сайте: 3 года 1 месяц назад
Зарегистрирован: 15.03.2012 - 16:59
Публикации: 1790

Правосторонний выпот, возможно сопутствующий раку легкого или раку молочной железы. 

Сергей Кузьминов аватар
Не на сайте
Был на сайте: 1 год 1 неделя назад
Зарегистрирован: 06.10.2012 - 15:51
Публикации: 11813

Надо будет поискать опухоль правого лёгкого.Выпот вторичен.

maker4ik аватар
Не на сайте
Был на сайте: 8 лет 6 месяцев назад
Зарегистрирован: 19.10.2011 - 17:49
Публикации: 2682

Выпот справа.

maker4ik аватар
Не на сайте
Был на сайте: 8 лет 6 месяцев назад
Зарегистрирован: 19.10.2011 - 17:49
Публикации: 2682

Бородулин М.А. wrote:

Анасарка.

Это шутка?

Бородулин М.А. аватар
Не на сайте
Был на сайте: 9 месяцев 1 неделя назад
Зарегистрирован: 17.02.2011 - 01:10
Публикации: 1409

Пациентка, 76 лет. Жалобы на одышку. На кашель не жалуется. Температура нормальная. На ногах отеки.

Бородулин М.А. аватар
Не на сайте
Был на сайте: 9 месяцев 1 неделя назад
Зарегистрирован: 17.02.2011 - 01:10
Публикации: 1409

maker4ik wrote:

Бородулин М.А. wrote:

Анасарка.

Это шутка?

Естественно не рентгенологическое заключение.

Makcimalist аватар
Не на сайте
Был на сайте: 11 лет 8 месяцев назад
Зарегистрирован: 08.05.2010 - 14:28
Публикации: 1994

При таком объёме выпота, пусть, и осумкованного внимание обращает смещение средостение вправо. С поправкой на неидеальную укладку, но есть оно. Дополнил бы УЗИ правой плевральной полости. Но гиповентиляцию справа бы тоже не исключил.

--------------

"Просто, по видимости, не видеть логики в очевидных вещах - это тоже одно из свойств некоторых умов, наряду с грустными думами о свойствах ума других."  © Vega 08/10/2011

Дмитрий Волегов аватар
Не на сайте
Был на сайте: 3 года 6 месяцев назад
Зарегистрирован: 22.05.2013 - 00:32
Публикации: 1148

Большое всем спасибо. Больная госпитализирована в т/о по поводу ИБС. Есть возможность наблюдения в ближайше две недели. Если будут новости - сообщу.

С Уважением, Дмитрий.