Помогите разобраться

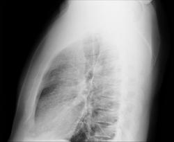
Мужчина, 30 лет. Жалоб нет. Обследование с проф.целью. Боковой срезан (такой снимок принес).

  

  • https://radiomed.ru/sites/default/files/styles/case_slider_image/public/user/19361/3e3a53bf9eed4be7893cd4fbb4a36a97_1.jpg?itok=KmqNa5kM
ID:47566
Сергей Кузьминов аватар
Не на сайте
Был на сайте: 1 год 1 месяц назад
Зарегистрирован: 06.10.2012 - 15:51
Публикации: 11813

Скажите,что именно "не так".

Mila85 аватар
Не на сайте
Был на сайте: 3 года 2 месяцев назад
Зарегистрирован: 15.03.2012 - 16:59
Публикации: 1790

Диффузное усиление легочного рисунка, я бы такого подробно попытала по анамнезу + архив, если есть

NIL аватар
NIL
Не на сайте
Был на сайте: 2 недели 4 дня назад
Зарегистрирован: 25.11.2013 - 20:50
Публикации: 18208

В 70 лет такие лёгкие были бы приемлимы, а для 30 -  не красавец. Можно думать о легочной форме саркаидоза. В анамнезе покопаться, может, профвредность какая-нибудь имеется.


"Слушай всех, прислушивайся к немногим, решай сам".©

Овсянников Дмитрий аватар
Не на сайте
Был на сайте: 7 лет 5 месяцев назад
Зарегистрирован: 18.02.2014 - 22:10
Публикации: 8

Проф патологию надо исключать . Корни легких выглядят довольно спокойными , сохраняя структурность. 

Сольвейг аватар
Не на сайте
Был на сайте: 3 года 6 месяцев назад
Зарегистрирован: 05.02.2013 - 20:25
Публикации: 2239

Елка! А Вы откуда таких берете каждый день?

Дмитрий Волегов аватар
Не на сайте
Был на сайте: 3 года 7 месяцев назад
Зарегистрирован: 22.05.2013 - 00:32
Публикации: 1148

Корни, да и легочный рисунок, на мой взгляд, вполне соответствуют комплекции пациента. Жалоб нет - здоров. Утолщение междолевой плевры. В левой верхушке,может, кальцинат. Если же хочется с чем-то разобраться, то это процесс длительный, с учетом всех амнестических, клинических данных, с приминением диагностических алгоритмов лучевой диагностики, в том числе - скопии, томографии.

С Уважением, Дмитрий.

Алексей Игоревич Чернявский аватар
Не на сайте
Был на сайте: 6 лет 11 месяцев назад
Зарегистрирован: 08.08.2012 - 21:52
Публикации: 786

Скорее профпатология. Уточняйте анамнез. Архив.

"Обучая других - учишься сам". Н.И.Пирогов