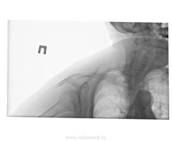
Женщина, 78 лет. в обл.гр/ключичного сочленения видимая опухоль. Образовани е в мягких тканях или все таки из кости? ID:47831 Пнд, 27/01/2014 - 12:52 #1 NIL Не на сайте Был на сайте: 1 неделя 16 часов назад Зарегистрирован: 25.11.2013 - 20:50 Публикации: 18217 Вы не указали, в каком г/ключичном сочленении изменения. Слева, на мой взгляд, костных изменений не определяется. Справа грудинный конец ключицы не визуализируется. "Слушай всех, прислушивайся к немногим, решай сам".© Пнд, 27/01/2014 - 20:14 #2 И.Бондаренко Не на сайте Был на сайте: 1 день 1 час назад Зарегистрирован: 13.09.2011 - 22:55 Публикации: 9213 Туда можно и УЗ датчик поставить. Пнд, 27/01/2014 - 20:27 #3 алкс Не на сайте Был на сайте: 10 лет 5 месяцев назад Зарегистрирован: 24.10.2012 - 22:55 Публикации: 2915 "в обл.гр/ключичного сочленения видимая опухоль." Не видно... Пнд, 27/01/2014 - 22:53 #4 Dima Не на сайте Был на сайте: 7 лет 7 месяцев назад Зарегистрирован: 05.08.2012 - 17:39 Публикации: 2467 По всей видимости артроз грудиноключичного сочленения, УЗИ и МРТ в помощь. Терпимость - это когда прощают чужие ошибки; такт - когда не замечают их. (Артур Шницлер) Втр, 28/01/2014 - 13:37 #5 Mila85 Не на сайте Был на сайте: 3 года 6 месяцев назад Зарегистрирован: 15.03.2012 - 16:59 Публикации: 1790 Ах сколько таких направлений бывает, опухоль в грудинно-ключичном сочленнении, еще и по cito)) Оказывается банальный артроз
Вы не указали, в каком г/ключичном сочленении изменения. Слева, на мой взгляд, костных изменений не определяется. Справа грудинный конец ключицы не визуализируется.
"Слушай всех, прислушивайся к немногим, решай сам".©
Туда можно и УЗ датчик поставить.
"в обл.гр/ключичного сочленения видимая опухоль." Не видно...
По всей видимости артроз грудиноключичного сочленения, УЗИ и МРТ в помощь.
Терпимость - это когда прощают чужие ошибки; такт - когда не замечают их. (Артур Шницлер)
Ах сколько таких направлений бывает, опухоль в грудинно-ключичном сочленнении, еще и по cito)) Оказывается банальный артроз