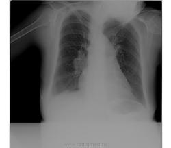
Для начала ее бы ровно снять... Лимфаденопатия правого корня, что там с левым не очень ясно. Туб. бронхоаденит маловероятен в силу возраста. Над всем остальным пусть клиницисты думают
Кахексия, остеопороз с гиперкифозом. По неправильной установке и странной позе - энцефалопатия(?)))). Для 46 многовато, вот и переспросил)). +1 к снимку в стандартной укладке.
За туберкулёз данных нет.Лимфоаденопати в таком возрасте маловероятна.Норму не напишешь.Остаётся "наиболее вероятна картина саркоидоза".И обязательно-"при неудовлетворительной установке объекта".
Вы тогда все свои сомения аккуратно опишите (ни на чём не настаивая) и порекомендуйте повторить сником при правильной укладке.Может быть справа корень расширен, за счёт сосудистой тени, вообще у пациентки магистральный тип сосудов ( широкие, маловетящиеся).
Не писал бы "при неудовлетворительной установке объекта". Дохлая отмазка, провоцирует встречное предложение клиницистов: не нравится - переделай.
Написал бы то, что видно: Р-признаки эмфиземы легких (диафрагма опущена, уплощена, наличие легочной "талии"), артериальной гипертензии в малом круге кровобращения (выбухает 2 дуга по левому контуру сердечной тени, корни расширены за счет сосудов); "метелка" в области головки левого корня провоцирует размышления на тему центрального рака. Ну, и еще раз уточнил бы паспортные данные, не похоже на 46 лет (ксерокс паспорта или полиса ОМС обычно лежит в кармашке истории болезни).
Кифосколиотическая деформация грудной клетки; легочная гипертензия. Возможно, переснять "ровнее" не удастся. Думаю, скиалогический возраст пациентки и неправильную укладку можно объяснить деформацией грудной клетки, как минимум, "с юности". Группа инвалидности по бронхиальной астме тоже с юности? Знание анамнеза помогло бы уточниться с анализом рентгеновского архива.
Андрей Юрьевич, добрый вечер! имхо: выбухание 2 дуги по левому контуру сердца, скорее всего из-за установки при съёмке. Может быть и не стоит говорить об эмфиземе лёгих т.к.нет расширения ретростернального пространства (а, "лёгочная талия" вероятно отять же, за счёт укладки (поворот).О лёгочной гипретезии можно достоверно говорить , только после проведения эхокардиографии, по признаку разницы градиентов давления в лёгочной артерии.
...О лёгочной гипретезии можно достоверно говорить , только после проведения эхокардиографии, по признаку разницы градиентов давления в лёгочной артерии.
И вам, добрый вечер, коллега! К сожалению, как рентгенолог сформировался еще в доузёвую эру, поэтому по-прежнему буду полагаться на рентгеновские признаки.
...О лёгочной гипретезии можно достоверно говорить , только после проведения эхокардиографии, по признаку разницы градиентов давления в лёгочной артерии.
И вам, добрый вечер, коллега! К сожалению, как рентгенолог сформировался еще в доузёвую эру, поэтому по-прежнему буду полагаться на рентгеновские признаки.
Стопудово порок сердца, туда и гипертензия и корни, и "астма".
Спасибо за поддержку, коллега алкс, но я в своих предположениях шел от эмфиземы к артериальной легочной гипертензии (обусловленной ХОБЛ), а не наоборот.
И "метелка" в головке левого корня все же настораживает.
запуталась я совсем... А если при пересъемке картина та же будет??
Ну и пусть будет. Сначала переснимите, потом будете думать. Обоснование пересъемки: неудовлетворительная укладка, неглубокий вдох (и расчет среза, если есть ЛТ). В любом случае, вы имеете право рассчитывать на дополнительную информацию.
Но сначала архив. Может "та же картина" уже была. Тогда переснимать не нужно.
Хотелось бы архив посмотреть.
А не 76 лет, случайно?
С уважением,
Для начала ее бы ровно снять... Лимфаденопатия правого корня, что там с левым не очень ясно. Туб. бронхоаденит маловероятен в силу возраста. Над всем остальным пусть клиницисты думают
46 в истории
Хотелось бы архив посмотреть.
+1.
Кахексия, остеопороз с гиперкифозом. По неправильной установке и странной позе - энцефалопатия(?)))). Для 46 многовато, вот и переспросил)). +1 к снимку в стандартной укладке.
С уважением,
может он и есть в поликлинике, но туда уже не попасть, а ответ нужно в понедельник утром дать
За туберкулёз данных нет.Лимфоаденопати в таком возрасте маловероятна.Норму не напишешь.Остаётся "наиболее вероятна картина саркоидоза".И обязательно-"при неудовлетворительной установке объекта".
может он и есть в поликлинике, но туда уже не попасть, а ответ нужно в понедельник утром дать.
------------------------------------------------------------------------------------------------------------------------------------------------------------------------------------
Вы тогда все свои сомения аккуратно опишите (ни на чём не настаивая) и порекомендуйте повторить сником при правильной укладке.Может быть справа корень расширен, за счёт сосудистой тени, вообще у пациентки магистральный тип сосудов ( широкие, маловетящиеся).
Не писал бы "при неудовлетворительной установке объекта". Дохлая отмазка, провоцирует встречное предложение клиницистов: не нравится - переделай.
Написал бы то, что видно: Р-признаки эмфиземы легких (диафрагма опущена, уплощена, наличие легочной "талии"), артериальной гипертензии в малом круге кровобращения (выбухает 2 дуга по левому контуру сердечной тени, корни расширены за счет сосудов); "метелка" в области головки левого корня провоцирует размышления на тему центрального рака.
Ну, и еще раз уточнил бы паспортные данные, не похоже на 46 лет (ксерокс паспорта или полиса ОМС обычно лежит в кармашке истории болезни).
Андрей Юрьевич
про возраст-то я уточню по приходу, да и приглашу на пересъемку
Кифосколиотическая деформация грудной клетки; легочная гипертензия. Возможно, переснять "ровнее" не удастся. Думаю, скиалогический возраст пациентки и неправильную укладку можно объяснить деформацией грудной клетки, как минимум, "с юности". Группа инвалидности по бронхиальной астме тоже с юности? Знание анамнеза помогло бы уточниться с анализом рентгеновского архива.
С Уважением, Дмитрий.
Андрей Юрьевич, добрый вечер! имхо: выбухание 2 дуги по левому контуру сердца, скорее всего из-за установки при съёмке. Может быть и не стоит говорить об эмфиземе лёгих т.к.нет расширения ретростернального пространства (а, "лёгочная талия" вероятно отять же, за счёт укладки (поворот).О лёгочной гипретезии можно достоверно говорить , только после проведения эхокардиографии, по признаку разницы градиентов давления в лёгочной артерии.
С уважением, Александр.
И вам, добрый вечер, коллега! К сожалению, как рентгенолог сформировался еще в доузёвую эру, поэтому по-прежнему буду полагаться на рентгеновские признаки.
Андрей Юрьевич
Стопудово порок сердца, туда и гипертензия и корни, и "астма".
Спасибо за поддержку, коллега алкс, но я в своих предположениях шел от эмфиземы к артериальной легочной гипертензии (обусловленной ХОБЛ), а не наоборот.
И "метелка" в головке левого корня все же настораживает.
Андрей Юрьевич
Увеличение лимфоузлов я бы со счетов не сбрасывала - вид у корня не "сосудистый", сегментарные сосуды совсем не расширены
Так и есть, симптом "скачка калибра".
Андрей Юрьевич
Я бы сделала томографию средостения чтоб исключить или подтвердить увеличение л.у,центральный рак.
запуталась я совсем... А если при пересъемке картина та же будет??
Ну и пусть будет. Сначала переснимите, потом будете думать. Обоснование пересъемки: неудовлетворительная укладка, неглубокий вдох (и расчет среза, если есть ЛТ). В любом случае, вы имеете право рассчитывать на дополнительную информацию.
Но сначала архив. Может "та же картина" уже была. Тогда переснимать не нужно.
С Уважением, Дмитрий.
Нужен архив, сердечный анамнез (порок?), правосторонняя лимфаденопатия, вероятнее, сосудистого характера?
Михай