Результат лечения не удовлетворительный( Кроме желания лечить еще должно быть желание ЛЕЧИТЬСЯ, мы же не знаем всех обстоятельств, которые повлияли на исход такого сращения. Может об этих обстоятельствах, что то знает Валентин Львович?
Как то странно-в стационаре лечение гипсом!!! Формируется "ложняк" и укорочение, очень жаль человека. И зона -очень неблагодатная область-часто скверные результаты сращения.
Мне тоже не понятно-ну почему не оперировали?! Надо сейчас решать вопрос оперативного лечения- освежить края перелома и стабильная(!) фиксация-тогда возможен шанс.
И что решили после "контроля"? Дальше лечить"гипесом"? Где травматологи? Прокоментируйте.
Student, когда станенте vrach"ом еще и не такое увидете. И еще, на этом сайте принято быть вежливым. От Вашего "Прокоментируйте", приказом веет, а не просьбой. Можно было бы добавить слово " пожалуйста"
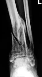
Открытый перелом был?
Medicus curat, natura sanat
Перелом был "закрытый". Ниже снимки "в гипсе", произведены 2 месяца тому.
И как же лечили, что таких результатов добились? Скелетное вытяжение + гипсовая иммобилизация? Если я не ошибаюсь - нужно было оперативно лечить.
Medicus curat, natura sanat
"Скелетного" не было, лечили только "гипесом"...
И что решили после "контроля"? Дальше лечить "гипесом"?
Где травматологи? Прокомментируйте, пожалуйста.
Medicus curat, natura sanat
Результат лечения не удовлетворительный( Кроме желания лечить еще должно быть желание ЛЕЧИТЬСЯ, мы же не знаем всех обстоятельств, которые повлияли на исход такого сращения. Может об этих обстоятельствах, что то знает Валентин Львович?
Желание лечиться у пациента было, лежал в стационаре, потом был выписан на долечивание в п-ку. Скиммки в "гипсе", то, в стационаре...
тогда не очень понятна тактика, может пациент очень богатый, и его нельзя быстро лечить
Как то странно-в стационаре лечение гипсом!!! Формируется "ложняк" и укорочение, очень жаль человека. И зона -очень неблагодатная область-часто скверные результаты сращения.
Мне тоже не понятно-ну почему не оперировали?! Надо сейчас решать вопрос оперативного лечения- освежить края перелома и стабильная(!) фиксация-тогда возможен шанс.
Student, когда станенте vrach"ом еще и не такое увидете
. И еще, на этом сайте принято быть вежливым. От Вашего "Прокоментируйте", приказом веет, а не просьбой. Можно было бы добавить слово " пожалуйста"
Андрей Юрьевич
Приказом повеет, когда будет - ПрокоММентируйте.
Андрей Юрьевич, извиняюсь. В спешке написал.
Кстати, спасибо всем за комментарии)
Medicus curat, natura sanat