Последствие плевральной пункции.

Пол пациента: 

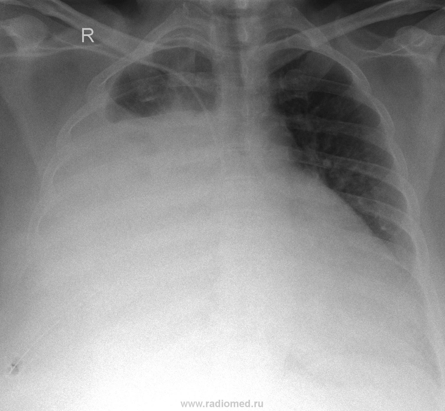
Вчера на дежурстве привозят мне женщину с кардиохирургии, рентген-контроль через 2 часа после плевральной пункции:

 Изображение

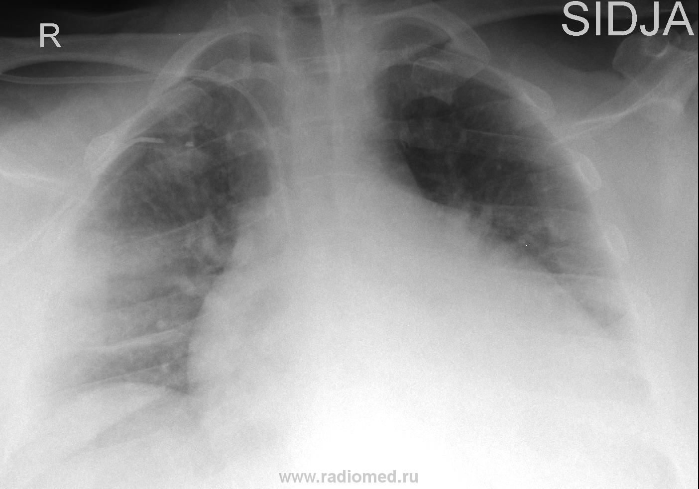
 Решил взглянуть предыдущий снимочек от 25.11.09г.:

Изображение

 Напрашивается вопрос на основании чего делали пункцию, а на основаннии УЗИ, написали до 6см жидкости, пропунктировали, в действительности получили 1л. жидкости, а вот последствие явно на большее тянет.

Дальше больше,  попросили провести МСКТ:

 ИзображениеИзображениеИзображениеИзображениеИзображениеИзображениеИзображениеИзображениеИзображениеИзображение

 ИзображениеИзображениеИзображениеИзображениеИзображениеИзображениеИзображениеИзображение

 А теперь вопрос хирургов "это субплевральная гемотома?"

Ермолаев аватар
Не на сайте
Был на сайте: 8 лет 10 месяцев назад
Зарегистрирован: 07.02.2009 - 16:33
Публикации: 670

Хорошее наблюдение, коллега V1TAL! Резко отрицательная динамика после инвазивной лечебной манипуляции. А что в первом пунктате? И если делали повторную пункцию-что во втором? На мой взгляд, уже необходима не пункция, а дренирование.

dok

v1tal аватар
Не на сайте
Был на сайте: 4 года 9 месяцев назад
Зарегистрирован: 07.06.2008 - 19:41
Публикации: 1779

Ермолаев wrote:

Хорошее наблюдение, коллега V1TAL! Резко отрицательная динамика после инвазивной лечебной манипуляции. А что в первом пунктате? И если делали повторную пункцию-что во втором? На мой взгляд, уже необходима не пункция, а дренирование.

Уважаемый коллега, всё про демонстрирую, чуточку попозже.

"Знаешь, у некоторых врачей есть комплекс мессии — им необходимо спасать мир. А у тебя комплекс Рубика — тебе необходимо решать головоломки."

Катенёв Валентин Львович аватар
Не на сайте
Был на сайте: 7 лет 2 недели назад
Зарегистрирован: 22.03.2008 - 22:15
Публикации: 54876

Прошу ответить на вопрос. В каком положении (стоя или лежа) сделаны снимки до пункции и после пункции.

Андрей Юрьевич аватар
Не на сайте
Был на сайте: 6 дней 23 часа назад
Зарегистрирован: 16.11.2008 - 22:16
Публикации: 18098

На первый вопрос: ///Напрашивается вопрос на основании чего делали пункцию///, отвечу - высокое стояние  купола диафрагмы (в данном случае правого) говорит о возможной жидкости в плевральной полости. Когда УЗИ еще не было, делали латерографию (в данном случае - на правом боку), и если жидкость была, то она была видна уже всем.

Андрей Юрьевич

Катенёв Валентин Львович аватар
Не на сайте
Был на сайте: 7 лет 2 недели назад
Зарегистрирован: 22.03.2008 - 22:15
Публикации: 54876

 Напрашивается вопрос на основании чего делали пункцию, а на основаннии УЗИ, написали до 6см жидкости, пропунктировали, в действительности получили 1л. жидкости, а вот последствие явно на большее тянет.

Пункцию делали совершенно верно. Над куполом диафрагмы справа значительное количество жидкости - базальный (наддиафрагмальный плеврит). Плохо, весьма плохо, что не произведен правый боковой снимок. Знаю по практике, что в подобных случаях "на боковой" видно "затекание" жидкости в междолевую щель.

v1tal аватар
Не на сайте
Был на сайте: 4 года 9 месяцев назад
Зарегистрирован: 07.06.2008 - 19:41
Публикации: 1779

Уважаемый Андрей Юрьевич, не было ни какой латерографии, снимок сделан в положении стоя!

"Знаешь, у некоторых врачей есть комплекс мессии — им необходимо спасать мир. А у тебя комплекс Рубика — тебе необходимо решать головоломки."

Катенёв Валентин Львович аватар
Не на сайте
Был на сайте: 7 лет 2 недели назад
Зарегистрирован: 22.03.2008 - 22:15
Публикации: 54876

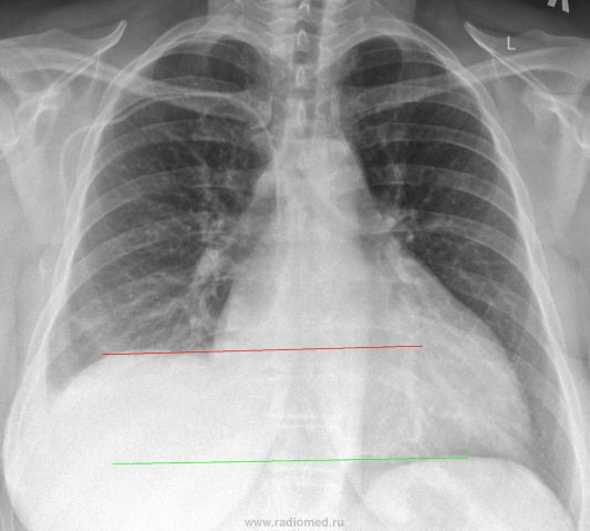
Иллюстрация к комментарию выше.

 

Катенёв Валентин Львович аватар
Не на сайте
Был на сайте: 7 лет 2 недели назад
Зарегистрирован: 22.03.2008 - 22:15
Публикации: 54876

А после пункии рентгенограмма произведена в положении стоя или лёжа?

Катенёв Валентин Львович аватар
Не на сайте
Был на сайте: 7 лет 2 недели назад
Зарегистрирован: 22.03.2008 - 22:15
Публикации: 54876

Количество жидкости, И ЭТО ОТЧЕТЛИВО ВИДНО ПО ПРЯМОЙ РЕНТГЕНОГРАММЕ, не может сообветсвовать количеству " в 1 литр", а вот с количеством 2,5 - 3 литра - соглашусь.

v1tal аватар
Не на сайте
Был на сайте: 4 года 9 месяцев назад
Зарегистрирован: 07.06.2008 - 19:41
Публикации: 1779

Каждому пациенту после рентген-исследования в кардиохирургии делается УЗИ-плевральной полости, и это уж точно было бы видно на УЗИ, они такого ни отметили.

"Знаешь, у некоторых врачей есть комплекс мессии — им необходимо спасать мир. А у тебя комплекс Рубика — тебе необходимо решать головоломки."

v1tal аватар
Не на сайте
Был на сайте: 4 года 9 месяцев назад
Зарегистрирован: 07.06.2008 - 19:41
Публикации: 1779

Кстати Андрей Юрьевич, если внимательно поглядеть то и на МСКТ аналогичная картина, но уже в положении лёжа.

"Знаешь, у некоторых врачей есть комплекс мессии — им необходимо спасать мир. А у тебя комплекс Рубика — тебе необходимо решать головоломки."

Катенёв Валентин Львович аватар
Не на сайте
Был на сайте: 7 лет 2 недели назад
Зарегистрирован: 22.03.2008 - 22:15
Публикации: 54876

Андрей Юрьевич, как "классический рентгенолог", прав на все 100%. На латерограмме было-бы отображение жидкости - выпот не осумкованный - растекся-бы. Если-бы был-бы сделан снимок в положении лёжа (на спине), то в результате растекания жидкости было-бы снижение прозрачности правого лёгочного поля, и сопоставив два снимка - в ортоположении и в положении лежа, вывод о наличии наддиафрагмального плеврита выполз-бы сам собой. По всей видимости "снимок после пункции" и был произведен в положении лёжа, вот и "недопунктированное" количество жидкости растеклось.

 

v1tal аватар
Не на сайте
Был на сайте: 4 года 9 месяцев назад
Зарегистрирован: 07.06.2008 - 19:41
Публикации: 1779

Всё же данная картина была описана как наличие гемопневмоторакса с компрессионным ателектазом легкого. Плотность жидкости варьирует в пределах 30-55HU. Сделали контроль после дренирования:

 Изображение

"Знаешь, у некоторых врачей есть комплекс мессии — им необходимо спасать мир. А у тебя комплекс Рубика — тебе необходимо решать головоломки."

Катенёв Валентин Львович аватар
Не на сайте
Был на сайте: 7 лет 2 недели назад
Зарегистрирован: 22.03.2008 - 22:15
Публикации: 54876

Виталий Валериевич!

Хорошее наблюдение, прекрасно иллюстрированное. Спасибо за представленный материал.

НО, коллега не обижайтесь на меня - все это можно было диагностировать и методами обычной "классической рентгенологии", не прибегая к СКТ.

СКТ в данном случае подтвердило лишь то, что, методы обычной "класической рентгенологии" в полной мере, в настоящее время не используются. Интересно, что там справа наперкутировали клиницисты. А ведь перкуссия в положении лежа и в положении стоя, по всей видимости, должна была родить, если не диагноз, то "правомерный вопрос".

v1tal аватар
Не на сайте
Был на сайте: 4 года 9 месяцев назад
Зарегистрирован: 07.06.2008 - 19:41
Публикации: 1779

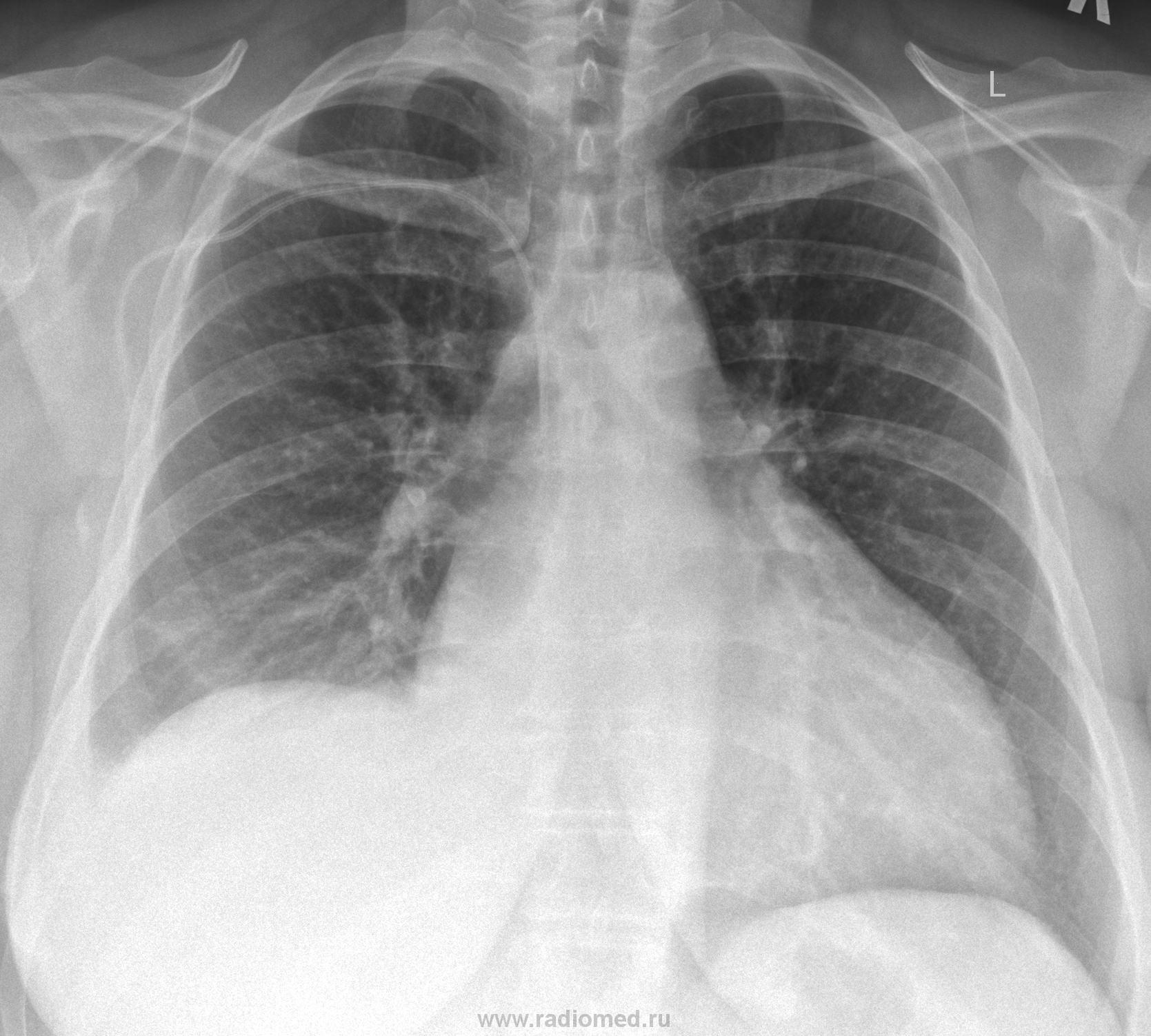
Валентин Львович это ещё ни всё, сегодня утром сделали контроль, динамика на лицо:

Изображение

 А поповоду "классики" всё я как изночально предпологал так оно получилось по результатам МСКТ, а заключение сделал такое "ЗАКЛЮЧЕНИЕ:Оссумкованный паракостальный плеврит справа. Компрессионный ателектаз правого легкого. Связи раннее выполненной плевральной пункцией не искл. гемопневмоторакс справа."

"Знаешь, у некоторых врачей есть комплекс мессии — им необходимо спасать мир. А у тебя комплекс Рубика — тебе необходимо решать головоломки."

Катенёв Валентин Львович аватар
Не на сайте
Был на сайте: 7 лет 2 недели назад
Зарегистрирован: 22.03.2008 - 22:15
Публикации: 54876

Динамика динамикой, а в перикарде тоже жидкость?

v1tal аватар
Не на сайте
Был на сайте: 4 года 9 месяцев назад
Зарегистрирован: 07.06.2008 - 19:41
Публикации: 1779

Катенёв Валентин Львович wrote:

Динамика динамикой, а в перикарде тоже жидкость?

Нет жидкости в перикарде нет, но чуть позже продемонстрирую случай вчерашний, там есть гидроперикард.

"Знаешь, у некоторых врачей есть комплекс мессии — им необходимо спасать мир. А у тебя комплекс Рубика — тебе необходимо решать головоломки."

Наталия аватар
Не на сайте
Был на сайте: 8 лет 7 месяцев назад
Зарегистрирован: 30.07.2008 - 13:24
Публикации: 538

А почему сердце такое большое?

tatyana аватар
Не на сайте
Был на сайте: 4 года 1 месяц назад
Зарегистрирован: 24.06.2009 - 08:33
Публикации: 2090

Наталия, больная лежит в кардиохирургии...

"самоуверенность дилетантов - предмет зависти профессионалов"