Посттравматическая ликворея

Пол пациента: 
Тип патологии: 
Область исследования: 
Методы исследования: 

ИзображениеИзображениеИзображениеИзображениеИзображениеЯ уже как-то представляла случаи ликворреи. Исследование выполняется для планирования эндоскопической операции.

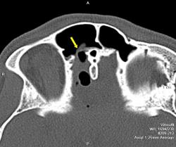
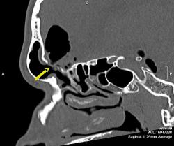
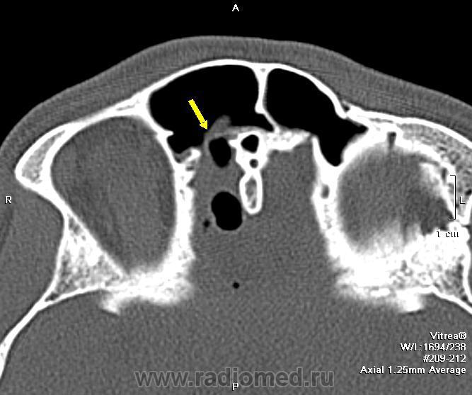
Вот еще один случай. Молодой человек, 20 лет. В анамнезе тяжелая черепно-мозговая травма. Ликворрея.

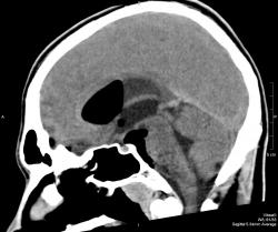
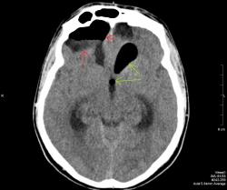
На снимках виден большой костный дефект (желтая стрелка) в задней стенке лобной пазухи, в полости черепа воздух, который прослеживается в области дефекта в полюсе лобной доли, в большой порэнцефалической кисте с уровнем жидкость-воздух (красные стрелки). Киста связана в передним рогом бокового желудочка, в противоположном желудочке и в третьем воздух (зеленые стрелки). На сагиттальных срезах виден воздух в мостовой цистерне вдоль ската. Поскольку дефект довольно большой, сейчас решается вопрос как лучше его закрыть эндоскопически или через трепанацию.