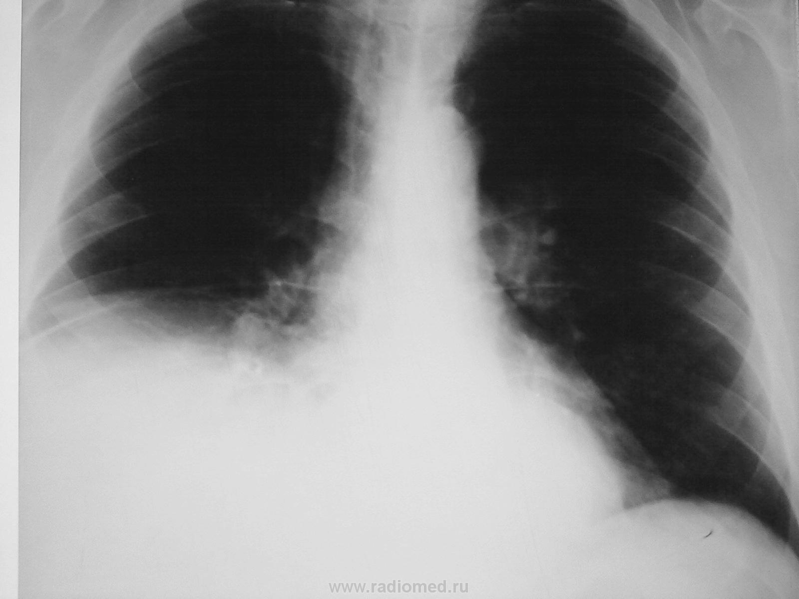
пациент поступил в терапию с подозрением на пневмонию, на третий день заболевания с температурой 38, кашель. УЗи брюшной полости - без патологии. о чём можно думать?
пациент поступил в терапию с подозрением на пневмонию, на третий день заболевания с температурой 38, кашель. УЗи брюшной полости - без патологии. о чём можно думать?
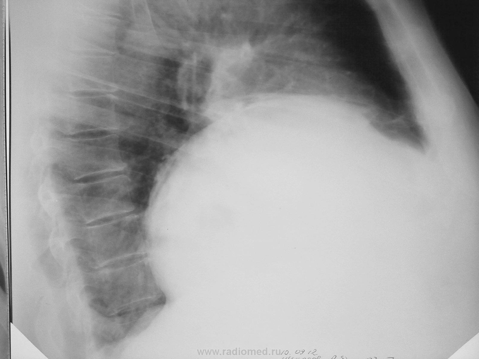
а как отдифференцировать методами классической рентгенологии осумкованный выпот от кисты в данном случае? КТ у нас в отпуске скопию стоя сделал, глоток бария дал, ничего нового не получил
Периферическое объемное образование? Выпот?
Объемное образование
Липома? Интересно, что на УЗИ в печени.
https://www.youtube.com/channel/UCBGxoBUOqUT_bFhSeUgtWEw
на узи в пределах возрастных изменений. липома? а не в переднем синусе она обычно бывает?
Действительно, такое чувство что это нечто не имеет отношения к ОГК
а вы в брюшко пустите воздуха и будет понятно к чему относится)
P.S. Эхинококк печени может.
Не ограничивайте свою мысль
Живешь пока учишься
Ecrasez l’infame
Разве сейчас используют такие щадящие методы диагностики?))) Как насчет КТ
эхх молодежь......
Не ограничивайте свою мысль
Живешь пока учишься
Ecrasez l’infame
21 век на дворе, будь моя воля всем бы проводила МРТ всего тела
ишь какая добренькая)) ничего, вот наступит третья мировая, вспомним дедовские методы)
Не ограничивайте свою мысль
Живешь пока учишься
Ecrasez l’infame
спасибо за комментарии, про эхинококк и не думал, буду рекомендовать КТ
КТ - даже раздумывать не надо. Особенно если есть такая возможность.
Дифференцировать между осумкованым выпотом и кистой
фкар
спасибо, учту
а как отдифференцировать методами классической рентгенологии осумкованный выпот от кисты в данном случае? КТ у нас в отпуске
скопию стоя сделал, глоток бария дал, ничего нового не получил
я уже сказал как)
Не ограничивайте свою мысль
Живешь пока учишься
Ecrasez l’infame
я подумаю