Правильно ли поступил?

Пол пациента: 
Тип патологии: 
Методы исследования: 

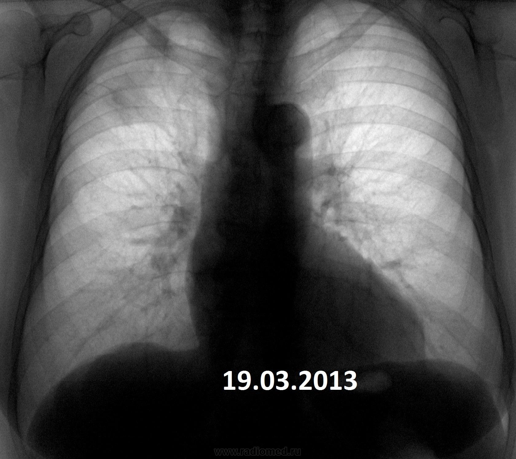
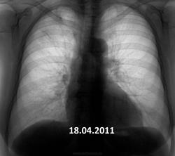
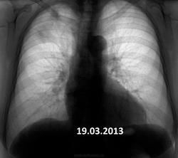
Пожилая опрятная женщина, жалоб нет, просит "отпустить". В феврале фтизиатры написали пневмонию. Сжалился - написал что-то вроде плеврофибрознотакая-то хрень.

  • https://radiomed.ru/sites/default/files/styles/case_slider_image/public/user/3055/1937g.r.18.04.2011.jpg?itok=wEcalkg2
  • https://radiomed.ru/sites/default/files/styles/case_slider_image/public/user/3055/1937g.r.15.02.2013.jpg?itok=i_3tla_q
  • https://radiomed.ru/sites/default/files/styles/case_slider_image/public/user/3055/1937g.r.19.03.2013.jpg?itok=Pc9s_NW0
ID:27188
Игорь Иванович аватар
Не на сайте
Был на сайте: 4 года 3 месяцев назад
Зарегистрирован: 23.01.2010 - 14:56
Публикации: 3695

Добавлю правый бок.

Приложения: 
1937g.r.19.03.2013_prav._bok..jpg
Сергей Кузьминов аватар
Не на сайте
Был на сайте: 1 год 6 месяцев назад
Зарегистрирован: 06.10.2012 - 15:51
Публикации: 11813

Коли фтизиатры отпустили так на них и грех.Сопоставляя с архивом от туберкулёза не отмахнёшся.

Игорь Иванович аватар
Не на сайте
Был на сайте: 4 года 3 месяцев назад
Зарегистрирован: 23.01.2010 - 14:56
Публикации: 3695

Но ведь не может туберкулез меделенно развиваться 4 года?

Nikolas аватар
Не на сайте
Был на сайте: 2 месяцев 2 недели назад
Зарегистрирован: 21.12.2010 - 20:37
Публикации: 4560

имеет место. Томографировать надо обязательно.

Катенёв Валентин Львович аватар
Не на сайте
Был на сайте: 7 лет 6 месяцев назад
Зарегистрирован: 22.03.2008 - 22:15
Публикации: 54876

Игорь Иванович wrote:

Но ведь не может туберкулез меделенно развиваться 4 года?

Его Величество могёт все, на то он и Величество...

Не надо сбрасывать со счетов и левую верхушку.

Сергей Кузьминов аватар
Не на сайте
Был на сайте: 1 год 6 месяцев назад
Зарегистрирован: 06.10.2012 - 15:51
Публикации: 11813

Игорь Иванович wrote:

Но ведь не может туберкулез меделенно развиваться 4 года?

Очень даже может.

Катенёв Валентин Львович аватар
Не на сайте
Был на сайте: 7 лет 6 месяцев назад
Зарегистрирован: 22.03.2008 - 22:15
Публикации: 54876

Сергей Кузьминов wrote:

Очень даже может.

+1

Я, и некоторые коллеги не так уж и редко наблюдали субплеврально сидящих "ребяток", создавалось впечатление, что "дозревают"..., потом пыхали, что и "мама - не горюй"!

алкс аватар
Не на сайте
Был на сайте: 10 лет 6 месяцев назад
Зарегистрирован: 24.10.2012 - 22:55
Публикации: 2915

Nikolas wrote:

имеет место. Томографировать надо обязательно.

Увы! Мне кажется - справа имеет место рецидив. Валентин Львович не зря на левую верхушку обратил внимание.

Т.е. "при дополнительном ретропросмотре рентгенограмм от... - не исключается инф. ТВС" Звонок или повторная распечатка через участкового терапевта.

ЧЮГ аватар
Не на сайте
Был на сайте: 8 месяцев 2 недели назад
Зарегистрирован: 31.10.2012 - 15:10
Публикации: 414

На первом месте- Tbc.

На втором: Если в легком неясная картина - ищи БАР.

В любом случае ТМГ.

Алексей Игоревич Чернявский аватар
Не на сайте
Был на сайте: 7 лет 4 месяцев назад
Зарегистрирован: 08.08.2012 - 21:52
Публикации: 786

ЧЮГ wrote:

На первом месте- Tbc.

На втором: Если в легком неясная картина - ищи БАР.

В любом случае ТМГ.

+1. Не пневмония это точно. Прогресс слишком долгий. Больше склоняюсь к онко.

"Обучая других - учишься сам". Н.И.Пирогов
 

арти аватар
Не на сайте
Был на сайте: 12 лет 6 месяцев назад
Зарегистрирован: 26.02.2012 - 11:23
Публикации: 490

Я за онкологию

Катенёв Валентин Львович аватар
Не на сайте
Был на сайте: 7 лет 6 месяцев назад
Зарегистрирован: 22.03.2008 - 22:15
Публикации: 54876

Алексей Игоревич Чернявский wrote:

Прогресс слишком долгий. Больше склоняюсь к онко.

Значит периферический. или как?

Алексей Игоревич Чернявский аватар
Не на сайте
Был на сайте: 7 лет 4 месяцев назад
Зарегистрирован: 08.08.2012 - 21:52
Публикации: 786

Катенёв Валентин Львович wrote:

Алексей Игоревич Чернявский wrote:

Прогресс слишком долгий. Больше склоняюсь к онко.

Значит периферический. или как?

Так точно.

"Обучая других - учишься сам". Н.И.Пирогов