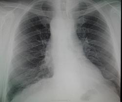
Бок, если верно поставлен, выполнен правый. Аорту праволежащую он выявить помог нам. Но тень, наводящую сомнение на Наталью Ивановну не проявил. И Ленивец отъявленный, верно, про левый бок говорила.) В общем, тень осталась для части коллег не объяснима.)
"Лишь утратив всё до конца, мы обретаем свободу." F.C.
Для уточнения, лучше провести исследование с бариевой взвесью.
"Слушай всех, прислушивайся к немногим, решай сам".©
Зачем с барием? Видно же, что она справа.
А я засомневалась
"Слушай всех, прислушивайся к немногим, решай сам".©
Да, остается неясность, я бы скопически покрутил.
Терпимость - это когда прощают чужие ошибки; такт - когда не замечают их. (Артур Шницлер)
+
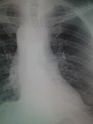
Она трахею влево оттесняет, значит сама справа находится. Нет неясности.
Можно написать.
С Уважением, Дмитрий.
Прошу прощения, можно спросить - как Вы объяснили тень, наводящую сомнение на Коллегу?..
"Лишь утратив всё до конца, мы обретаем свободу." F.C.
Бок сначала покажите.
ХитрО!)) Дугу ощущаем и видим, а это уже вопрос другой - без бока не проходим.)
"Лишь утратив всё до конца, мы обретаем свободу." F.C.
досняли боком
Бок, если верно поставлен, выполнен правый. Аорту праволежащую он выявить помог нам. Но тень, наводящую сомнение на Наталью Ивановну не проявил. И Ленивец отъявленный, верно, про левый бок говорила.) В общем, тень осталась для части коллег не объяснима.)
"Лишь утратив всё до конца, мы обретаем свободу." F.C.