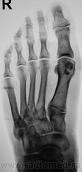
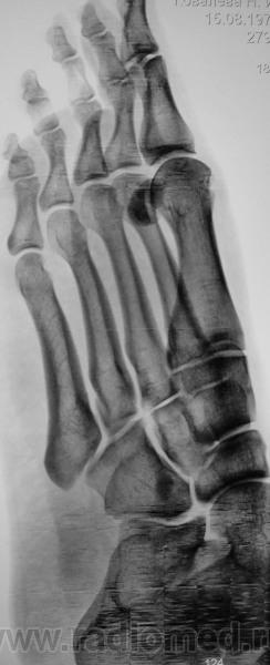
Пол пациента: Женский пол Тип патологии: Травма Область исследования: Скелетно-мышечная система Методы исследования: Rg Пациент направлен по поводу травмы. Случайная находка... https://radiomed.ru/sites/default/files/styles/case_slider_image/public/user/12/2.201310200016.jpg?itok=VzEdq3KK https://radiomed.ru/sites/default/files/styles/case_slider_image/public/user/12/3.201201010012_2.jpg?itok=US4gX77V https://radiomed.ru/sites/default/files/styles/case_slider_image/public/user/12/4.201310200014.jpg?itok=l6zzwcyf ID:32564 Пнд, 21/10/2013 - 23:57 #1 И.Бондаренко Не на сайте Был на сайте: 4 дня 2 часа назад Зарегистрирован: 13.09.2011 - 22:55 Публикации: 9206 И что это? Такое встречается, описываю как участок склероза или внимания не обращаю. Втр, 22/10/2013 - 16:54 #2 Pilulia Не на сайте Был на сайте: 7 лет 9 месяцев назад Зарегистрирован: 02.09.2011 - 14:27 Публикации: 14 или добавочная сесамовидная кость, как вариант.. Втр, 22/10/2013 - 22:16 #3 Катенёв Валенти... Не на сайте Был на сайте: 7 лет 2 недели назад Зарегистрирован: 22.03.2008 - 22:15 Публикации: 54876 Pilulia wrote: или добавочная сесамовидная кость, как вариант.. Добавочная? Сесамовидная?
И что это? Такое встречается, описываю как участок склероза или внимания не обращаю.
или добавочная сесамовидная кость, как вариант..
Добавочная?
Сесамовидная?