Придираться или нет к профилактическому ОГК

Пол пациента: 
Тип патологии: 
Методы исследования: 

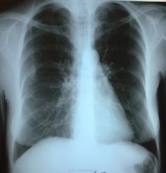
1969г., женщина, жалоб нет, профисследование,курит, в стационаре по поводу заболевания ЖКТ( не уточнено какое - "первым делом- самолеты", т.е. рентген ОГК).

Придираться или нет?

ID:37812
NIL аватар
NIL
Не на сайте
Был на сайте: 1 день 10 часов назад
Зарегистрирован: 25.11.2013 - 20:50
Публикации: 18208

Перефразируя знаменитую фразу "И ты, Брут !" И Вы, Алкс!!!. Ладно юноши профосмотрами страдают, сомнения их терзают. . .

Конечно же придираться, если были убраны косы, если чист архив

Приложения: 
1_25.jpg


"Слушай всех, прислушивайся к немногим, решай сам".©

алкс аватар
Не на сайте
Был на сайте: 10 лет 1 месяц назад
Зарегистрирован: 24.10.2012 - 22:55
Публикации: 2915

NIL wrote:

Перефразируя знаменитую фразу "И ты, Брут !" И Вы, Алкс!!!. Ладно юноши профосмотрами страдают, сомнения их терзают. . .

Конечно же придитаться, если были убраны косы, если чист архив

Кос нет, архив пытаюсь. Дело в том, что коллега пишет R + и все. М.б. РЫ +?

NIL аватар
NIL
Не на сайте
Был на сайте: 1 день 10 часов назад
Зарегистрирован: 25.11.2013 - 20:50
Публикации: 18208

Найдёте в архиве такое же, согласитесь с коллегой, а если нет, придётся производить "раскопки". Я бы вот так сходу, не зная, что было раньше, не рискнула бы сразу лепить R+. Ну хоть поговорить с пациенткой можно, анамнез порасспросить?


"Слушай всех, прислушивайся к немногим, решай сам".©

алкс аватар
Не на сайте
Был на сайте: 10 лет 1 месяц назад
Зарегистрирован: 24.10.2012 - 22:55
Публикации: 2915

NIL wrote:

Найдёте в архиве такое же, согласитесь с коллегой, а если нет, придётся производить "раскопки". Я бы вот так сходу, не зная, что было раньше, не рискнула бы сразу лепить R+. Ну хоть поговорить с пациенткой можно, анамнез порасспросить?

Так и поговорил: не болела, а я в сомнении "лепить Р+ "smiley.

schlyapa аватар
Не на сайте
Был на сайте: 8 лет 3 недели назад
Зарегистрирован: 27.09.2013 - 22:15
Публикации: 613

Извините, а справа - консолидированный перелом заднего отрезка 7 р?

atexta аватар
Не на сайте
Был на сайте: 2 года 10 месяцев назад
Зарегистрирован: 08.02.2014 - 18:41
Публикации: 4842

А что такое РЫ + ? извините

Не нам судить…

NIL аватар
NIL
Не на сайте
Был на сайте: 1 день 10 часов назад
Зарегистрирован: 25.11.2013 - 20:50
Публикации: 18208

schlyapa wrote:
Извините, а справа - консолидированный перелом заднего отрезка 7 р?

Думаю, нет. Ребро с лопаткой скрестились.


"Слушай всех, прислушивайся к немногим, решай сам".©

NIL аватар
NIL
Не на сайте
Был на сайте: 1 день 10 часов назад
Зарегистрирован: 25.11.2013 - 20:50
Публикации: 18208

atexta wrote:

А что такое РЫ + ? извините

Это Алкс прикалявается . (Это R+ )


"Слушай всех, прислушивайся к немногим, решай сам".©

NIL аватар
NIL
Не на сайте
Был на сайте: 1 день 10 часов назад
Зарегистрирован: 25.11.2013 - 20:50
Публикации: 18208

алкс wrote:

Так и поговорил: не болела, а я в сомнении "лепить Р+ "smiley.

Жаждете приключений - лепите, не задумываясь. Хотите спать спокойно - копайте, Алексей


"Слушай всех, прислушивайся к немногим, решай сам".©

Сольвейг аватар
Не на сайте
Был на сайте: 3 года 5 месяцев назад
Зарегистрирован: 05.02.2013 - 20:25
Публикации: 2239

Я б уже чего-нибудь накопала,-только воли не дают. И слава Богу, наверное.

LaRousse86 аватар
Не на сайте
Был на сайте: 6 лет 10 месяцев назад
Зарегистрирован: 12.12.2011 - 14:24
Публикации: 90

разъясните,что подразумевается под Р+?

Олеся

NIL аватар
NIL
Не на сайте
Был на сайте: 1 день 10 часов назад
Зарегистрирован: 25.11.2013 - 20:50
Публикации: 18208

LaRousse86 wrote:

разъясните,что подразумевается под Р+?

Рентгеноположительный пациент, т.е. пациент с остаточными явлениями ранее перенесенного процесса ( кальцинаты, фиброзы и т.п.) 


"Слушай всех, прислушивайся к немногим, решай сам".©

алкс аватар
Не на сайте
Был на сайте: 10 лет 1 месяц назад
Зарегистрирован: 24.10.2012 - 22:55
Публикации: 2915

NIL wrote:

LaRousse86 wrote:

разъясните,что подразумевается под Р+?

Рентгеноположительный пациент, т.е. пациент с остаточными явлениями ранее перенесенного процесса ( кальцинаты, фиброзы и т.п.) 

Часто приходит пациент на ФЛ с множественными кальцинатами и фиброзами и пр. И что каждый раз дообследовать? При наличии архива, особенно цифры, быстро выясняется , что подобные изменения без динамики у него уже много лет. И что писать? Патология без динамики? Так его ж лечебники изнасилуют, справку не подпишут  и т.д. Потом пациент придет к Вам и такое ого-го Вам устроит! Вот и пишут : рентгенположительный без динамики, коротко - R+ без динамики. А в справке по ФЛ ставят норма, и еще я дописываю (R+) Это не для терапевта - это для рентгенолога. Чтоб не пугался ,что была норма!, а стало много кальцинатов!!! При направлении с диагностической целью: все должно быть описано как в первый раз! + указание на динамику - есть или нет. Вроде все...smiley

алкс аватар
Не на сайте
Был на сайте: 10 лет 1 месяц назад
Зарегистрирован: 24.10.2012 - 22:55
Публикации: 2915

Ожидаемое. Рентгенолог см. рентгенорамму, видит что-то невнятное на верхушке, фиброз не фиброз. На дообследование вызвать? А, это будет R+!

По злобности моего характера, невзирая на возражения и "посмотрим в динамике", уговорил лаборанткуsmiley( не мой кабинет!) сделать томограммы.

 

Приложения: 
2.jpg3.jpg
atexta аватар
Не на сайте
Был на сайте: 2 года 10 месяцев назад
Зарегистрирован: 08.02.2014 - 18:41
Публикации: 4842

Туберкулез ?

Не нам судить…

Сергей Кузьминов аватар
Не на сайте
Был на сайте: 1 год 3 недели назад
Зарегистрирован: 06.10.2012 - 15:51
Публикации: 11813

Не ожидал.Чуть мимо не прошёл.Туберкулёз,похоже."И ты,Брут?Не ожидал.Сюрприз".

Nikolas аватар
Не на сайте
Был на сайте: 2 месяцев 1 неделя назад
Зарегистрирован: 21.12.2010 - 20:37
Публикации: 4559

пациентка в настоящее время? Местная или иногородняя?

алкс аватар
Не на сайте
Был на сайте: 10 лет 1 месяц назад
Зарегистрирован: 24.10.2012 - 22:55
Публикации: 2915

Nikolas wrote:

пациентка в настоящее время? Местная или иногородняя?

Не работает, местная, БК+ точно уже. Скопия многократно + есть рост.sad

NIL аватар
NIL
Не на сайте
Был на сайте: 1 день 10 часов назад
Зарегистрирован: 25.11.2013 - 20:50
Публикации: 18208

алкс wrote:

Nikolas wrote:

пациентка в настоящее время? Местная или иногородняя?

Не работает, местная, БК+ точно уже. Скопия многократно + есть рост.sad

С Вас проставка


"Слушай всех, прислушивайся к немногим, решай сам".©

Nikolas аватар
Не на сайте
Был на сайте: 2 месяцев 1 неделя назад
Зарегистрирован: 21.12.2010 - 20:37
Публикации: 4559

Но где же большая полость откуда такой камнепад?

Сольвейг аватар
Не на сайте
Был на сайте: 3 года 5 месяцев назад
Зарегистрирован: 05.02.2013 - 20:25
Публикации: 2239

Nikolas wrote:

Но где же большая полость откуда такой камнепад?

А разве обязательна БОЛЬШАЯ полость?

Сергей Кузьминов аватар
Не на сайте
Был на сайте: 1 год 3 недели назад
Зарегистрирован: 06.10.2012 - 15:51
Публикации: 11813

Размеры полости не коррелируют напрямую с объёмом бацилловыделения.

Сольвейг аватар
Не на сайте
Был на сайте: 3 года 5 месяцев назад
Зарегистрирован: 05.02.2013 - 20:25
Публикации: 2239

Сергей Кузьминов wrote:

Размеры полости не коррелируют напрямую с объёмом бацилловыделения.

Вот-вот, еще интереснее скажу-ее вообще можно не найти, а МБТ будут. Догадайтесь, откуда.

Nikolas аватар
Не на сайте
Был на сайте: 2 месяцев 1 неделя назад
Зарегистрирован: 21.12.2010 - 20:37
Публикации: 4559

и тайное. Просветите, от каких факторов зависит массивность выделения МБТ?

Сергей Кузьминов аватар
Не на сайте
Был на сайте: 1 год 3 недели назад
Зарегистрирован: 06.10.2012 - 15:51
Публикации: 11813

Миргалина wrote:
Сергей Кузьминов wrote:

Размеры полости не коррелируют напрямую с объёмом бацилловыделения.

Вот-вот, еще интереснее скажу-ее вообще можно не найти, а МБТ будут. Догадайтесь, откуда.
Из бронха.При туб. бронха.

Сольвейг аватар
Не на сайте
Был на сайте: 3 года 5 месяцев назад
Зарегистрирован: 05.02.2013 - 20:25
Публикации: 2239

Nikolas wrote:

и тайное. Просветите, от каких факторов зависит массивность выделения МБТ?

Nikolas! "Место известное и тайное"-звучит как-то двусмысленно, Вы не находите? Может, Вы его и укажете? P.S.Чего-то фантазия разыгралась.Извиняйте, коллеги.