Придрался, а выходит зря...

Пол пациента: 
Тип патологии: 
Методы исследования: 

Отправил женщину на консультацию в ОНКО, а там (по их заключению) всего навсего хр.бронхит. Думаю, сколько прокленов было в мою сторону...

ID:3768
Rg-Doc аватар
Не на сайте
Был на сайте: 8 лет 9 месяцев назад
Зарегистрирован: 22.03.2008 - 12:25
Публикации: 333

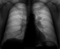
А как же образование в области головки левого корня? В онко как дообследовали? А книзу и медиальнее от образования вроде как лимфоузел...

Almo аватар
Не на сайте
Был на сайте: 5 часов 17 минут назад
Зарегистрирован: 28.09.2008 - 18:50
Публикации: 8274

Разделяю мнение коллеги- это не норма, нельзя ли представить снимок легких в левой боковой проекции?

Vikkur аватар
Не на сайте
Был на сайте: 4 года 8 месяцев назад
Зарегистрирован: 24.09.2009 - 14:34
Публикации: 1749

Саркоидоз?

Виктор.

stovbav аватар
Не на сайте
Был на сайте: 2 года 2 месяцев назад
Зарегистрирован: 20.12.2009 - 17:28
Публикации: 7066

Я бы в первую очередь исключал метастатический процесс; во вторую, согласен в Викторм Владимировичем, саркоидоз.

Makcimalist аватар
Не на сайте
Был на сайте: 11 лет 9 месяцев назад
Зарегистрирован: 08.05.2010 - 14:28
Публикации: 1994

Rg-Doc wrote:

А как же образование в области головки левого корня? В онко как дообследовали? А книзу и медиальнее от образования вроде как лимфоузел...

 У нас в ОНКО иногда вместо дообследования просто пишут заключение, не утруждая себя особоНедоволен!..

--------------

"Просто, по видимости, не видеть логики в очевидных вещах - это тоже одно из свойств некоторых умов, наряду с грустными думами о свойствах ума других."  © Vega 08/10/2011

Rg-Doc аватар
Не на сайте
Был на сайте: 8 лет 9 месяцев назад
Зарегистрирован: 22.03.2008 - 12:25
Публикации: 333

Поднять флюороархив и смотреть динамику. Для метастазов, ИМХО, не очень ровный контур. Саркоидоз? А изменения в правом легком?

Игорь Иванович аватар
Не на сайте
Был на сайте: 3 года 10 месяцев назад
Зарегистрирован: 23.01.2010 - 14:56
Публикации: 3695

Almo wrote:

Разделяю мнение коллеги- это не норма, нельзя ли представить снимок легких в левой боковой проекции?

Боковую не делал, т.к., думаю, там есть и рентгенкабинет, и КТ - пусть крутят. Если своего не найдут - пус ть отправят к фтизиатрам... Но ведь не хр. бронхит? А его они откуда взяли?

Катенёв Валентин Львович аватар
Не на сайте
Был на сайте: 7 лет 1 месяц назад
Зарегистрирован: 22.03.2008 - 22:15
Публикации: 54876

Довольно частая тактика онкологов. А консультант - "ОНКОЛОГ", сидящий на амбулаторном приеме в ООД (наверно самый лучший, раз сидит на амбулаторном приеме) и мнение своё по снимкам имеет, не являясь рентгенологом. Но вот потом, "разводят рученьками" и стараются найти виновных в общелечебной сети. Часто встречаемся с таким ньюансом.

dmlyg аватар
Не на сайте
Был на сайте: 8 лет 1 месяц назад
Зарегистрирован: 20.02.2009 - 18:03
Публикации: 61

Некрасиво плохо говорить о коллегах,но такую тень нельзя не заметить.Особенно в специализированном учреждении.

Дмитрий

Андрей Юрьевич аватар
Не на сайте
Был на сайте: 2 недели 4 дня назад
Зарегистрирован: 16.11.2008 - 22:16
Публикации: 18098

Игорь Иванович wrote:

Боковую не делал, т.к., думаю, там есть и рентгенкабинет, и КТ - пусть крутят. Если своего не найдут - пус ть отправят к фтизиатрам... Но ведь не хр. бронхит? А его они откуда взяли?

Сам тоже лентяйУлыбаюсь, но для онкологов делаю прямой и боковой. Заключение онкологов - откровенный ляп, скорее всего будет центральный рак левого легкого.

Андрей Юрьевич

Катенёв Валентин Львович аватар
Не на сайте
Был на сайте: 7 лет 1 месяц назад
Зарегистрирован: 22.03.2008 - 22:15
Публикации: 54876

dmlyg wrote:

Некрасиво плохо говорить о коллегах,но такую тень нельзя не заметить.Особенно в специализированном учреждении.

Ну значит, нам попадаются такие онкологи. Правда, при разборках, они говорят правильные вещи, но сами ими не руководствуются. Возможно ошибаюсь в авторстве, но Великий Гейне о таких писал:

Я, знаю мелодию, знаю слова,

Я авторов знаю отлично!

Они тайком попивали вино,

Проповедуя воду публично...