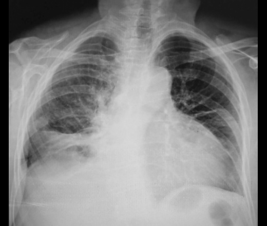
Приехали консультанты из "областной конторы"..., назначили прямо и боком. Какие мнения будут уважаемые коллеги?

Пол пациента: 
Тип патологии: 
Методы исследования: 

Приехали консультанты из "областной конторы"..., назначили прямо и боком.  Какие мнения будут уважаемые коллеги?

  • https://radiomed.ru/sites/default/files/styles/case_slider_image/public/user/12/2.201201010021_1.jpg?itok=XXZWZplf
ID:32890
Евгений Дорофеев аватар
Не на сайте
Был на сайте: 11 лет 1 месяц назад
Зарегистрирован: 06.06.2013 - 17:28
Публикации: 1746

Валентин Львович, линейка сразу на глаза набрасывается.

Катенёв Валентин Львович аватар
Не на сайте
Был на сайте: 7 лет 1 месяц назад
Зарегистрирован: 22.03.2008 - 22:15
Публикации: 54876

Линейку не делали.

А, что смущает, какие показания для "линейки?

Nikolas аватар
Не на сайте
Был на сайте: 1 день 4 часа назад
Зарегистрирован: 21.12.2010 - 20:37
Публикации: 4560

что плевральный выпот в междолевых щелях обусловлен застойной сердечной недостаточность. С какой целью была выполнена рентгенография ОГК? Возраст пациентки?

Евгений Дорофеев аватар
Не на сайте
Был на сайте: 11 лет 1 месяц назад
Зарегистрирован: 06.06.2013 - 17:28
Публикации: 1746

Смущает то что правый купол диафрагмы приподнят. И вопрос Даннный момент может быть из за кифосколиоза?

Сергей Кузьминов аватар
Не на сайте
Был на сайте: 1 год 1 месяц назад
Зарегистрирован: 06.10.2012 - 15:51
Публикации: 11813

Полагаю,дело не только в застое.Справа может ещё что-то.Нужна клиника.

Бородулин М.А. аватар
Не на сайте
Был на сайте: 10 месяцев 1 неделя назад
Зарегистрирован: 17.02.2011 - 01:10
Публикации: 1409

dorofey84 wrote:

Смущает то что правый купол диафрагмы приподнят. И вопрос Даннный момент может быть из за кифосколиоза?

При базальном выпоте может быть до литра жидкости, а синус оставаться свободным. 

Nikolas аватар
Не на сайте
Был на сайте: 1 день 4 часа назад
Зарегистрирован: 21.12.2010 - 20:37
Публикации: 4560

Не исключаю, что при переводе Лайта произошла ошибка. Мне было известно по отечественной литературе  до 250 -300 мл жидкости. Может быть врачи сайта владеют новыми материалами с учетом данных УЗИ. Напишите коллеги. 

Катенёв Валентин Львович аватар
Не на сайте
Был на сайте: 7 лет 1 месяц назад
Зарегистрирован: 22.03.2008 - 22:15
Публикации: 54876

Nikolas wrote:

что плевральный выпот в междолевых щелях обусловлен застойной сердечной недостаточность. С какой целью была выполнена рентгенография ОГК? Возраст пациентки?

Пациентка весьма преклонного возраста, за 65 лет.

Предполагали консультанты и лечащий врач перикардит.

Катенёв Валентин Львович аватар
Не на сайте
Был на сайте: 7 лет 1 месяц назад
Зарегистрирован: 22.03.2008 - 22:15
Публикации: 54876

Бородулин М.А. wrote:

При базальном выпоте может быть до литра жидкости, а синус оставться свободным. 

Вы правы уважаемый коллега!