Природа гидроцефалии?

Пол пациента: 
Тип патологии: 
Область исследования: 
Методы исследования: 

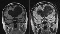
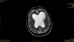
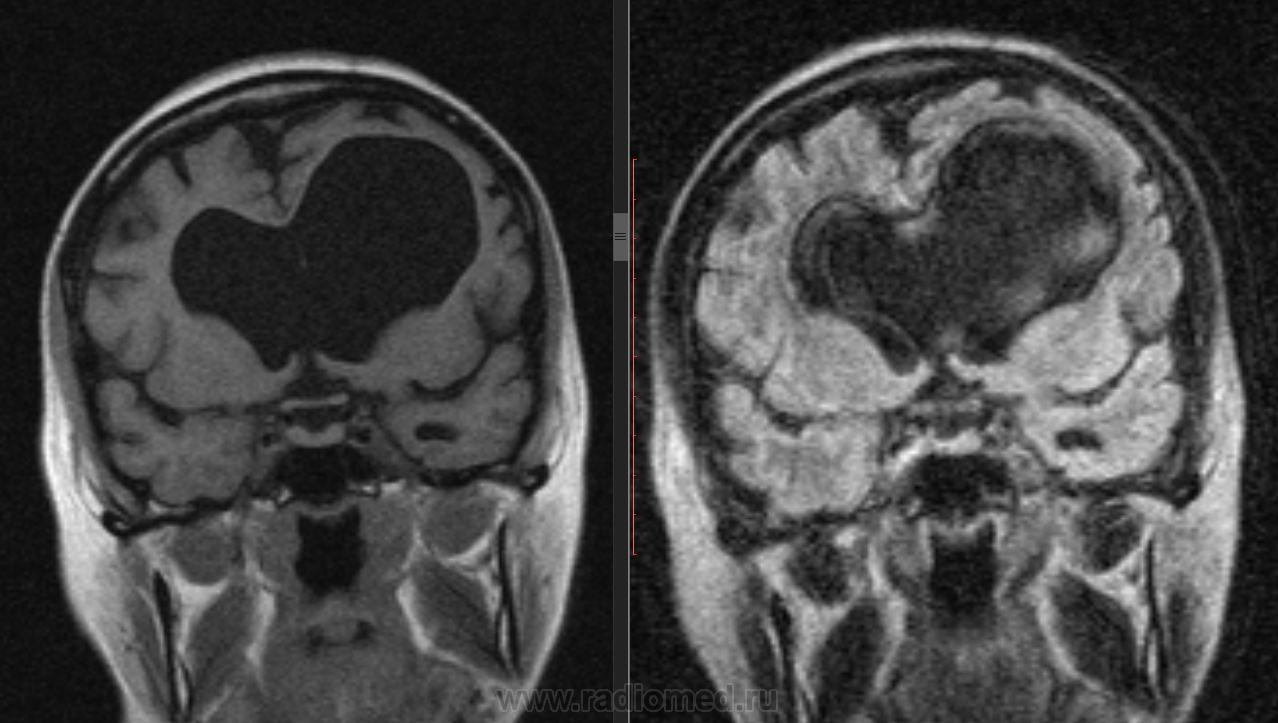
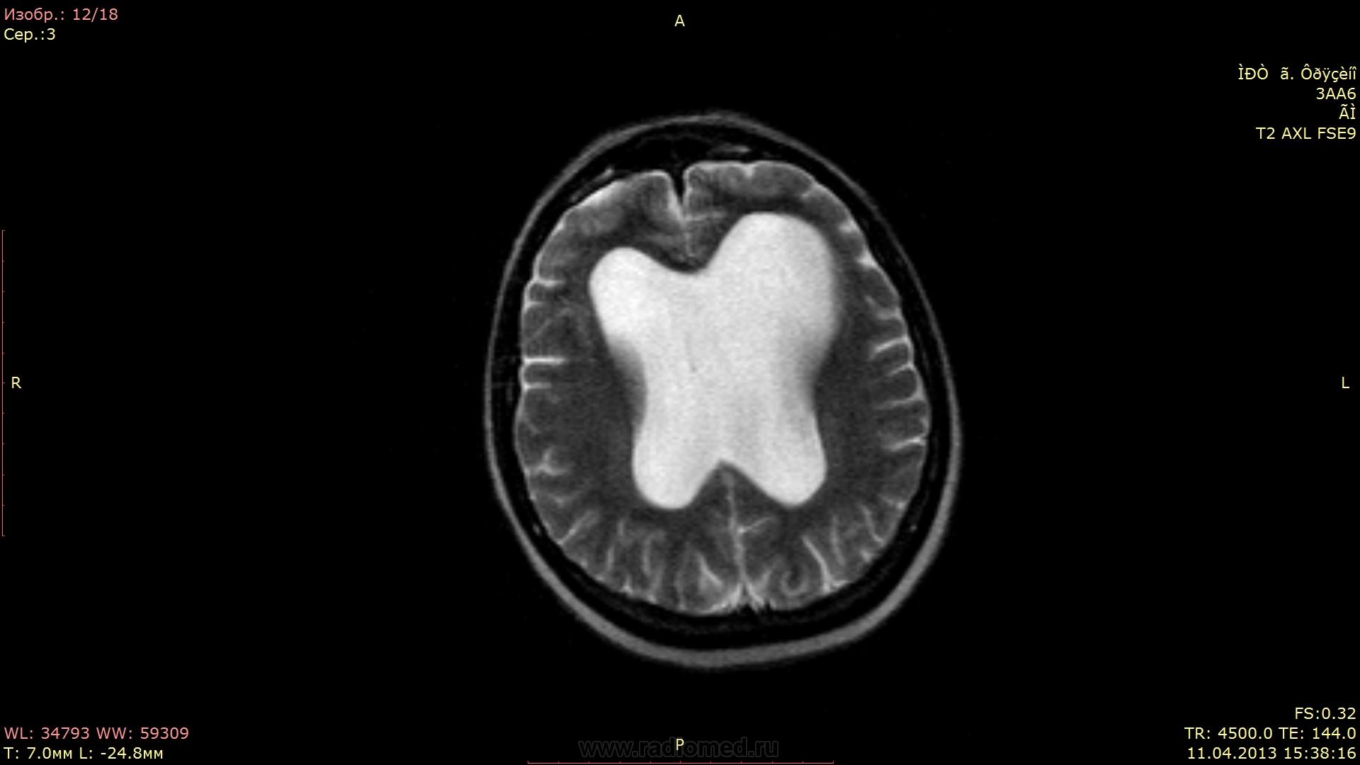
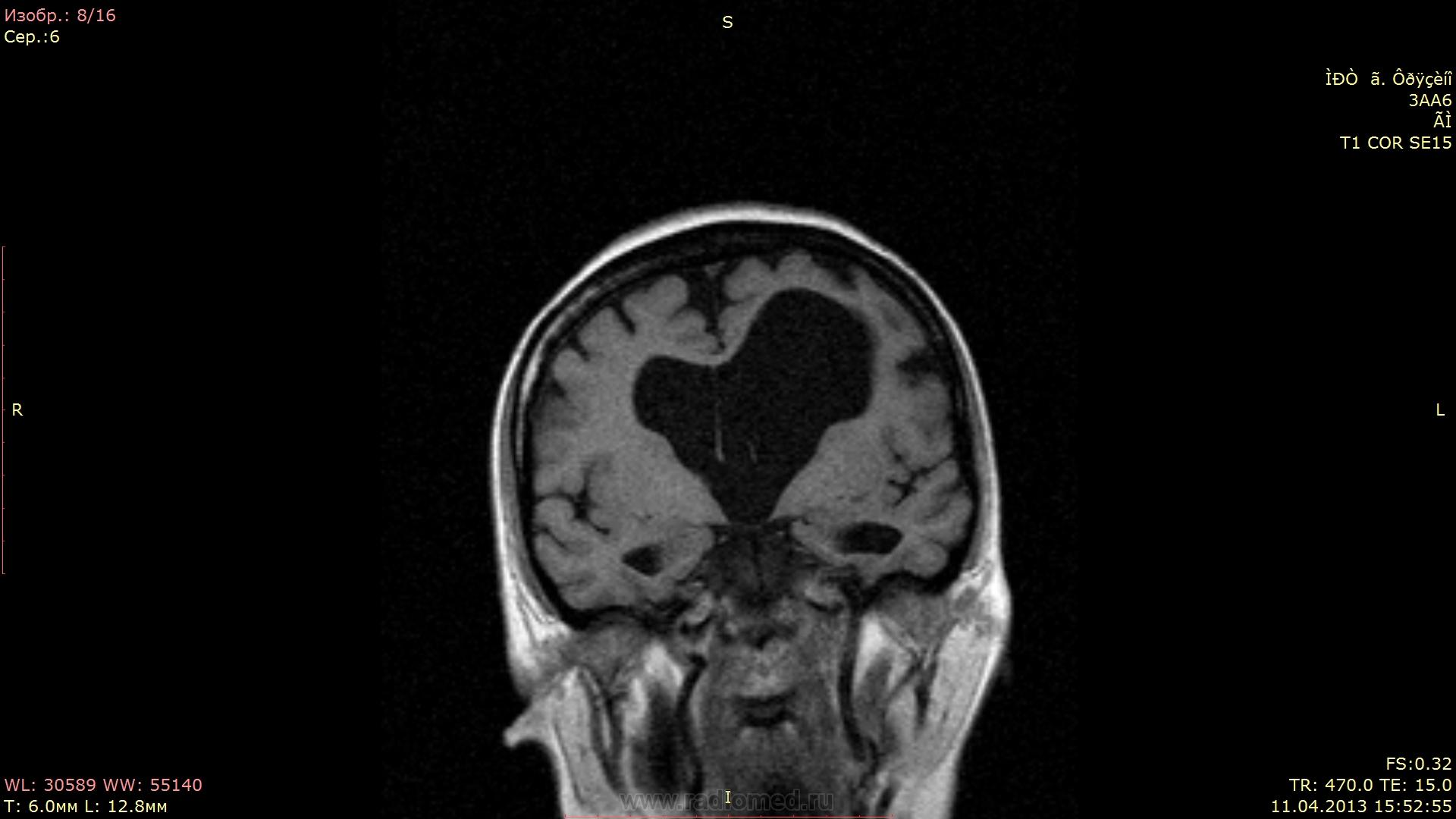
Женщина 53 года... Не могу найти причину гидроцефалии...

 

Ссылка на DICOM http://files.mail.ru/13BB7E8E04434CF6A0D4005625AAA739 пароль 11111

  • https://radiomed.ru/sites/default/files/styles/case_slider_image/public/user/16807/200001.jpg?itok=DjnKbHDM
  • https://radiomed.ru/sites/default/files/styles/case_slider_image/public/user/16807/300001.jpg?itok=-I0WT707
  • https://radiomed.ru/sites/default/files/styles/case_slider_image/public/user/2841/kor001.jpg?itok=BrPAN3p-
  • https://radiomed.ru/sites/default/files/styles/case_slider_image/public/user/2841/sag001.jpg?itok=Ws281avN
ID:27879
Mitkampfer аватар
Не на сайте
Был на сайте: 11 лет 1 месяц назад
Зарегистрирован: 27.07.2010 - 07:43
Публикации: 1454

http://mrt-center.spb.ru/blog26 мож отсюда?

Не ограничивайте свою мысль

Живешь пока учишься

Ecrasez l’infame

алкс аватар
Не на сайте
Был на сайте: 10 лет 2 недели назад
Зарегистрирован: 24.10.2012 - 22:55
Публикации: 2915

Окклюзия на уровне сильвиева водопровода. А причина...?

iSSy аватар
Не на сайте
Был на сайте: 2 года 8 месяцев назад
Зарегистрирован: 05.10.2012 - 12:45
Публикации: 77

Не вижу окклюзии на уровне Сильвиева водопровода. Внутренняя неокклюзионная гидроцефалия.

Popovpavel аватар
Не на сайте
Был на сайте: 7 лет 2 месяцев назад
Зарегистрирован: 08.06.2009 - 00:23
Публикации: 649

Везде ищите причину!;)

А вообще-то, от рентгенолога требуется указать на наличие или отсутствие явных признаков повышения внутрижелудочкового давления (перивентрикулярный отек), а в случае наличия такового - выявить уровень и причину окклюзии. Здесь открытая, преимущественно внутренняя гидроцефалия, т.е. окклюзии нет, давление в желудочках условно считается  нормальным, и вмешательства нейрохирурга не требует.

А если рассуждать о причинах - то это, скорее всего, перинатальное гипоксически-ишемическое или травматическое поражение, приводящее к затруднению резорбции ликвора в подпаутинных пространствах. Пациентка живет с этой гидроцефалией всю жизнь. 

Popovpavel аватар
Не на сайте
Был на сайте: 7 лет 2 месяцев назад
Зарегистрирован: 08.06.2009 - 00:23
Публикации: 649

Там еще и киста прозрачной перегородки, кстати! Не могу подтвердить это литературой, но по моим собственным наблюдениям, у недоношенных детей или у детей с перинатальными проблемами листки прозрачной перегородки часто остаются несращенными.

Dima аватар
Не на сайте
Был на сайте: 7 лет 2 месяцев назад
Зарегистрирован: 05.08.2012 - 17:39
Публикации: 2467

Popovpavel wrote:

Там еще и киста прозрачной перегородки, кстати! Не могу подтвердить это литературой, но по моим собственным наблюдениям, у недоношенных детей или у детей с перинатальными проблемами листки прозрачной перегородки часто остаются несращенными.

Спасибо.

Терпимость - это когда прощают чужие ошибки; такт - когда не замечают их. (Артур Шницлер)

nnemo аватар
Не на сайте
Был на сайте: 11 лет 1 месяц назад
Зарегистрирован: 13.09.2011 - 18:32
Публикации: 561

Вполне могут быть адгезивные изменения в водопроводе затруднительно визуализируемые рутинно и чтобы адекватенее оценить ликвороток надо сделать фазо-контрастный анализ...

Давление в желудочках "условно нормальное", но дно третьего желудочка пролабирует в селлярную область:)

Может в данном случае вариант нормотензивной гидроцефалии? (есть ли сочетание деменции, нарушений ходьбы и недержания мочи?

http://online.zakon.kz/Document/?doc_id=30989834

 

 

Dima аватар
Не на сайте
Был на сайте: 7 лет 2 месяцев назад
Зарегистрирован: 05.08.2012 - 17:39
Публикации: 2467

nnemo wrote:

Вполне могут быть адгезивные изменения в водопроводе затруднительно визуализируемые рутинно и чтобы адекватенее оценить ликвороток надо сделать фазо-контрастный анализ...

Давление в желудочках "условно нормальное", но дно третьего желудочка пролабирует в селлярную область:)

Может в данном случае вариант нормотензивной гидроцефалии? (есть ли сочетание деменции, нарушений ходьбы и недержания мочи?

http://online.zakon.kz/Document/?doc_id=30989834

Про сочетание вышеописанных признаков достоверно сказать не чего не могу, известно что неврологические проблемы около 2-х лет. В данном случае меня смутила ассиметрия боковых желудочков и пролабирование третьего желудочка, нормальный четвертый желудочек... В общем стаж мой в МРТ очень маленький и я боялся пропустить оклюзию на уровне водопровода.

Терпимость - это когда прощают чужие ошибки; такт - когда не замечают их. (Артур Шницлер)

Popovpavel аватар
Не на сайте
Был на сайте: 7 лет 2 месяцев назад
Зарегистрирован: 08.06.2009 - 00:23
Публикации: 649

nnemo wrote:

Вполне могут быть адгезивные изменения в водопроводе затруднительно визуализируемые рутинно и чтобы адекватенее оценить ликвороток надо сделать фазо-контрастный анализ...

Давление в желудочках "условно нормальное", но дно третьего желудочка пролабирует в селлярную область:)

Может в данном случае вариант нормотензивной гидроцефалии? (есть ли сочетание деменции, нарушений ходьбы и недержания мочи?

http://online.zakon.kz/Document/?doc_id=30989834

 

 

Тоже послушали замечательный доклад на Невском форуме?)

nnemo аватар
Не на сайте
Был на сайте: 11 лет 1 месяц назад
Зарегистрирован: 13.09.2011 - 18:32
Публикации: 561

Да, Павел, доклад по гидроцефалии мне понравился.

Был еще доклад по оценке ликвородинамики хитрой МР-методикой с демонстрацией пункции кисты прозрачной перегородки. Вот чего так и не понял - для чего ее пунктировать; визуально она была относительно средних размеров. А вот после проведенной пункции как мне показалось были осложнения в правой теменной области... Подумал, что эта методика как то определяет показания к проведению пункции, но ответа не получил...

Если вы обратили внимание на этот доклад - какое Ваше мнение по пункции кисты ПП?

Popovpavel аватар
Не на сайте
Был на сайте: 7 лет 2 месяцев назад
Зарегистрирован: 08.06.2009 - 00:23
Публикации: 649

nnemo wrote:

Да, Павел, доклад по гидроцефалии мне понравился.

Был еще доклад по оценке ликвородинамики хитрой МР-методикой с демонстрацией пункции кисты прозрачной перегородки. Вот чего так и не понял - для чего ее пунктировать; визуально она была относительно средних размеров. А вот после проведенной пункции как мне показалось были осложнения в правой теменной области... Подумал, что эта методика как то определяет показания к проведению пункции, но ответа не получил...

Если вы обратили внимание на этот доклад - какое Ваше мнение по пункции кисты ПП?

К сожалению, этого доклада я не слышал. Я конечно не нейрохирург, чтобы уверенно судить о показаниях к пункции кисты.. Но рассуждая чисто логически, пунктировать любую кисту бесполезно: все равно жидкость опять накопится, оболочки-то никуда не девались. Тут уж либо шунтировать, либо вообще не трогать. Что касается кист прозрачной перегородки, то лезть в них стоит, как мне кажется, в одном единственном случае - если есть окклюзия отверстий Монро. Признаюсь, я такого за 7 лет работы на томографе ни разу не видел.

А по поводу доклада по "гидроцефалии нормального давления" - я так и не понял, что это за зверь такой и на основании чего этот диагноз ставится. Надо почитать что-нибудь, что ли.