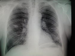
Мужчина 1956 г.р,проф.флг,жалоб со стороны легких не предъявляет,температура нормальная,посмотрела в амб.карте- последняя флг в 2008 году,там была норма,сейчас лечится у невролога по поводу межреберной невралгии.Можно ли расценить тень справа в тройке как фиброз?

Тут так сразу и не скажешь.Если свежего архива нет,надо наблюдать в динамике.Тень справа нехорошая,просится на томографию,желательно,компьютерную.Линейная тоже может внести некоторую ясность.
Крайне не красивый "фиброз". Рачком попахивает. Лучше сразу проконсультировать у онколога, а за одно уж и у фтизиатра.И контроль за ним обязателен.
"Слушай всех, прислушивайся к немногим, решай сам".©
С другой стороны тоже или фиброз, или дисковидный ателектаз. Возможно была пневмония с двух сторон. Наблюдение.
Да уж,"фиброз" и впрямь какой-то подозрительный,отправлю на дообследование дядечку,тем более, кажется в тройке он
Да, в тройке.
"Слушай всех, прислушивайся к немногим, решай сам".©
Дообследуйте,не рискуйте.Тянуть опасно.
И здесь тоже, кажется, плохи дела, и опять в корне уже. А точно межреберная невралгия у него? И справа? Наводит на размышления. Поспрашивайте, если можно анамнез в ближайшие 3-5месяцев. Ничем не болел? Слева тоже изменения.
Замечание позволю. Если считаете, что лимфоузлы справа бронхопульмональные вовлечены, тогда и левые, вероятно, тоже увеличены...
"Лишь утратив всё до конца, мы обретаем свободу." F.C.
Узловая тень в корне?
Простите, тень обсуждаемая не в корне. Но лимфоузлы увеличенные могут быть в корне (или в корнях). За них скиалогия добавляет чутка.
"Лишь утратив всё до конца, мы обретаем свободу." F.C.
Интересно, а динамика или дообследование есть уже ?
Не нам судить…