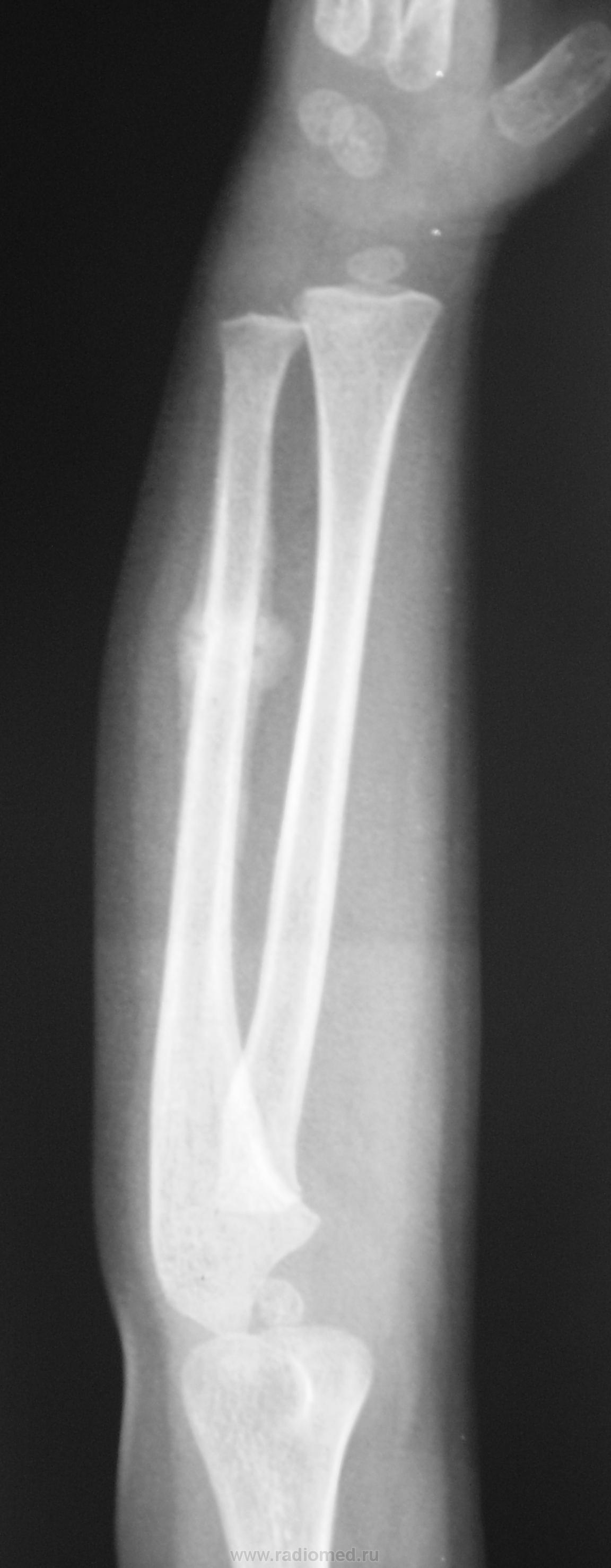
Прошел месяц после травмы...

Пол пациента: 
Тип патологии: 
Область исследования: 
Методы исследования: 

Прошел месяц после травмы...

  • https://radiomed.ru/sites/default/files/styles/case_slider_image/public/user/12/2.p4180032b.jpg?itok=UCIcRlz5
  • https://radiomed.ru/sites/default/files/styles/case_slider_image/public/user/12/3.p4180033.jpg?itok=u_3ZkT3u
  • https://radiomed.ru/sites/default/files/styles/case_slider_image/public/user/12/4.p4180033b.jpg?itok=A8S-ZAwd
ID:20826
svet аватар
Не на сайте
Был на сайте: 1 год 10 месяцев назад
Зарегистрирован: 07.05.2010 - 19:10
Публикации: 201

пока консолидирующийся перелом и посттравматический периостит

surgeon23 аватар
Не на сайте
Был на сайте: 13 лет 6 месяцев назад
Зарегистрирован: 25.04.2012 - 17:09
Публикации: 69

Судя по снимку, ребенку около 1.5 лет. Месяца вполне хватает для полноценного сращения, что мы и имеем. Хорошая мозоль. А то что она несколько гипертрофирована - не беда. Через год и следа от перелома не останется. Нормальное течение.

перемены - это единственное постоянство, которое нам дано