Просто корень?

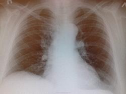
Ж., 64 года, без легочных жалоб. Волнует правый корень - он просто такой ветвистый, сосудистый или нет? смущает зона гиповентиляции над ним. Интересно ваше мнение. 

 

  • https://radiomed.ru/sites/default/files/styles/case_slider_image/public/user/18943/200520149205.jpg?itok=QguaLQEV
ID:46572
NIL аватар
NIL
Не на сайте
Был на сайте: 2 недели 5 дней назад
Зарегистрирован: 25.11.2013 - 20:50
Публикации: 18217

Меня ничего не смущает.


"Слушай всех, прислушивайся к немногим, решай сам".©

Сергей Кузьминов аватар
Не на сайте
Был на сайте: 1 год 5 месяцев назад
Зарегистрирован: 06.10.2012 - 15:51
Публикации: 11813

Меня тоже.

Nobody аватар
Не на сайте
Был на сайте: 11 лет 6 месяцев назад
Зарегистрирован: 15.03.2014 - 20:29
Публикации: 2013

НД wrote:

Ж., 64 года, без легочных жалоб. Волнует правый корень - он просто такой ветвистый, сосудистый или нет? смущает зона гиповентиляции над ним. Интересно ваше мнение. 

Попробуйте переснять. Чутка левым боком поближе, а правым от стойки слегка отслонясь, градусов эдак на 5... Качество не позволяет мне этот корень для Вас и себя в покое оставить без дополнительного снимка пока.

"Лишь утратив всё до конца, мы обретаем свободу." F.C.