Просто показать.

Пол пациента: 
Тип патологии: 
Методы исследования: 

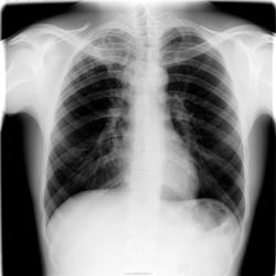
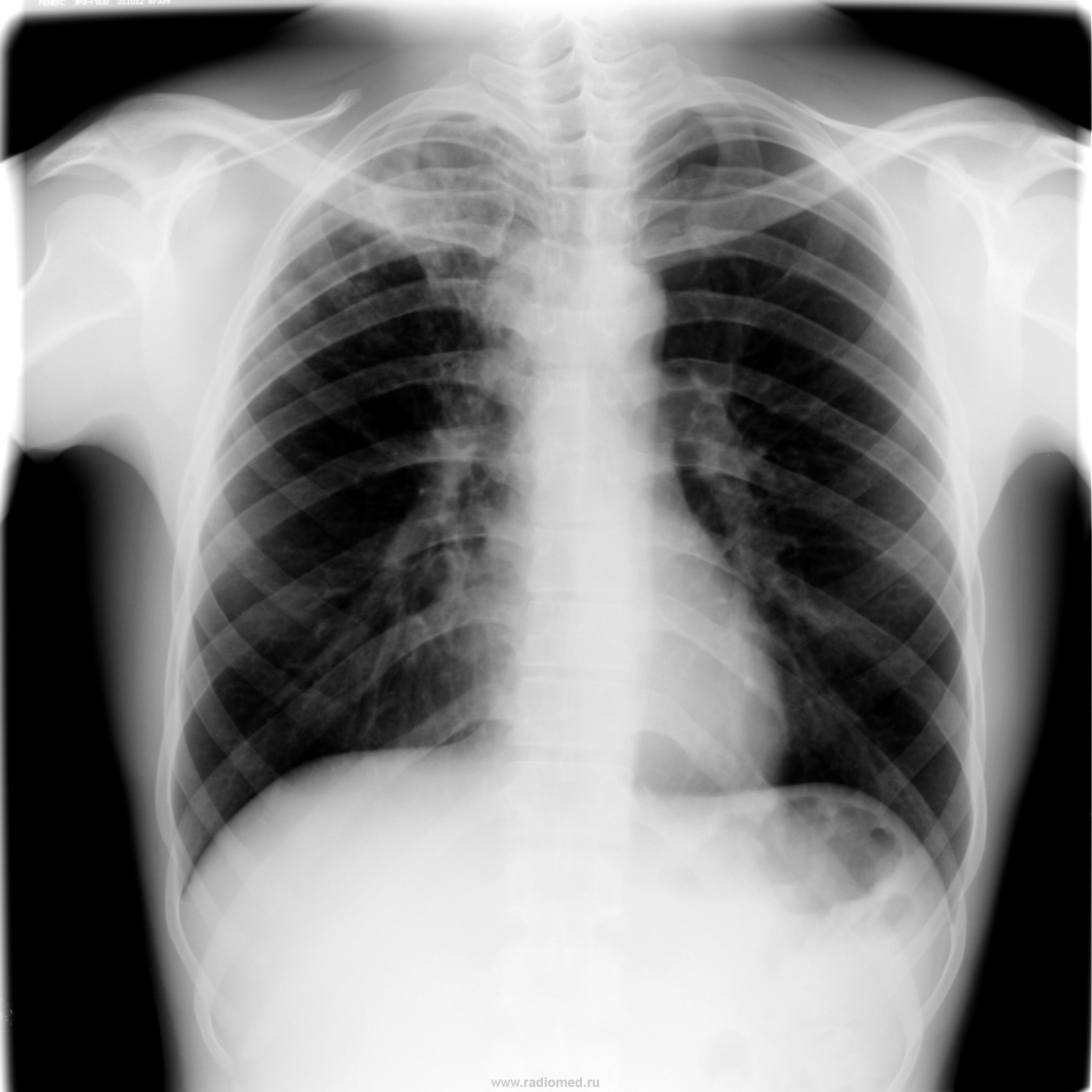
Мужчина 26 лет. Без жалоб.Думаю, двух мнений быть не может.

  • https://radiomed.ru/sites/default/files/styles/case_slider_image/public/user/17114/t2_0.jpg?itok=_WE8kmy5
ID:41740
Евгений Дорофеев аватар
Не на сайте
Был на сайте: 11 лет 4 недели назад
Зарегистрирован: 06.06.2013 - 17:28
Публикации: 1746

Сергей, приветствую. Порезали?

Сергей Кузьминов аватар
Не на сайте
Был на сайте: 1 год 1 неделя назад
Зарегистрирован: 06.10.2012 - 15:51
Публикации: 11813

Взаимно приветствую Вас, Евгений! Не резал.Там нет томографа.Парадокс, хорошая клиника , а аппарат без томографа.Но здесь и так понятно.

Евгений Дорофеев аватар
Не на сайте
Был на сайте: 11 лет 4 недели назад
Зарегистрирован: 06.06.2013 - 17:28
Публикации: 1746

Тубдиспансер думаю порежет.

Сергей Кузьминов аватар
Не на сайте
Был на сайте: 1 год 1 неделя назад
Зарегистрирован: 06.10.2012 - 15:51
Публикации: 11813

Порежет и анализ мокроты возьмёт.А если больной в ЦНИИТ поедет так по полной программе прообследуется.

Dima аватар
Не на сайте
Был на сайте: 7 лет 2 месяцев назад
Зарегистрирован: 05.08.2012 - 17:39
Публикации: 2467

Сергей, а ЦНИИТ это куда?

Терпимость - это когда прощают чужие ошибки; такт - когда не замечают их. (Артур Шницлер)

Евгений Дорофеев аватар
Не на сайте
Был на сайте: 11 лет 4 недели назад
Зарегистрирован: 06.06.2013 - 17:28
Публикации: 1746

Dima wrote:

Сергей, а ЦНИИТ это куда?

Я объясню- центральный научно исследовательский институт туберкулёза

Dima аватар
Не на сайте
Был на сайте: 7 лет 2 месяцев назад
Зарегистрирован: 05.08.2012 - 17:39
Публикации: 2467

Евгений Дорофеев wrote:

Dima wrote:

Сергей, а ЦНИИТ это куда?

Я объясню- центральный научно исследовательский институт туберкулёза

Первый раз слышу...

Терпимость - это когда прощают чужие ошибки; такт - когда не замечают их. (Артур Шницлер)

Евгений Дорофеев аватар
Не на сайте
Был на сайте: 11 лет 4 недели назад
Зарегистрирован: 06.06.2013 - 17:28
Публикации: 1746

Dima wrote:

Евгений Дорофеев wrote:

Dima wrote:

Сергей, а ЦНИИТ это куда?

Я объясню- центральный научно исследовательский институт туберкулёза

Первый раз слышу...

Вот сайт сей конторы - http://www.cniitramn.ru

atexta аватар
Не на сайте
Был на сайте: 2 года 10 месяцев назад
Зарегистрирован: 08.02.2014 - 18:41
Публикации: 4842

Бессимптомной пневмонией не может оказаться ?

Не нам судить…

Евгений Дорофеев аватар
Не на сайте
Был на сайте: 11 лет 4 недели назад
Зарегистрирован: 06.06.2013 - 17:28
Публикации: 1746

atexta wrote:

Бессимптомной пневмонией не может оказаться ?

Какой пневмонией?

Сергей Кузьминов аватар
Не на сайте
Был на сайте: 1 год 1 неделя назад
Зарегистрирован: 06.10.2012 - 15:51
Публикации: 11813

Неее..., пневмонией оказаться не сможет.Пациент ещё и из "очага смерти", как выражаются фтизиатры.В семье имеется умерший от туберкулёза.

Nikolas аватар
Не на сайте
Был на сайте: 1 месяц 3 недели назад
Зарегистрирован: 21.12.2010 - 20:37
Публикации: 4559

Инфильтративный туберкулез S1,2 правого лёгкого в фазе распада и обсеменения

Dima аватар
Не на сайте
Был на сайте: 7 лет 2 месяцев назад
Зарегистрирован: 05.08.2012 - 17:39
Публикации: 2467

Евгений Дорофеев wrote:

Dima wrote:

Евгений Дорофеев wrote:

Dima wrote:

Сергей, а ЦНИИТ это куда?

Я объясню- центральный научно исследовательский институт туберкулёза

Первый раз слышу...

Вот сайт сей конторы - http://www.cniitramn.ru

Спасибо, я уже нашел и посмотрел.

Терпимость - это когда прощают чужие ошибки; такт - когда не замечают их. (Артур Шницлер)

Сольвейг аватар
Не на сайте
Был на сайте: 3 года 5 месяцев назад
Зарегистрирован: 05.02.2013 - 20:25
Публикации: 2239

Сергей! А почему сразу в ЦНИИТ? Случай-то рядовой, обычный. И обычный ПТД справится.

Сергей Кузьминов аватар
Не на сайте
Был на сайте: 1 год 1 неделя назад
Зарегистрирован: 06.10.2012 - 15:51
Публикации: 11813

Cлучай рядовой для нас, уважаемая Сольвейг. Для пациента частной клиники очень не рядовой.За почти год моей работы там выявлено трое, все поехали лечиться в ЦНИИТ.Не любят они бесплатную районную медицину.В данном случае имеетя дополнение к анамнезу: какое-то время назад жена пациента скончалась "от иммунодефицита".Обследовался он сам, "на всякий случай".Архива не имею.

Nikolas аватар
Не на сайте
Был на сайте: 1 месяц 3 недели назад
Зарегистрирован: 21.12.2010 - 20:37
Публикации: 4559

страдают чехоткой? А у них -то откуда?

Евгений Дорофеев аватар
Не на сайте
Был на сайте: 11 лет 4 недели назад
Зарегистрирован: 06.06.2013 - 17:28
Публикации: 1746

Nikolas wrote:

страдают чехоткой? А у них -то откуда?

Зато они некоторыми "чрезмерностями" занимаются и СПИДом болеют. А некоторые "богатые" зону топтали.