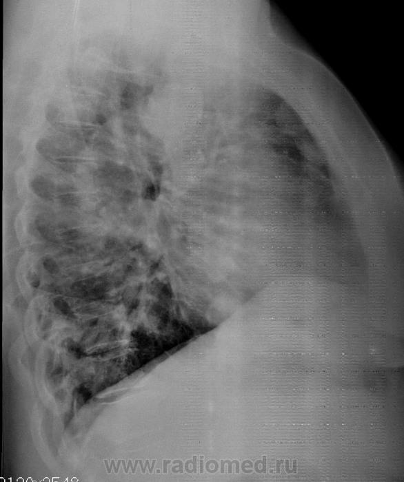
Пол пациента: Женский пол Тип патологии: Злокачественное новообразование Область исследования: Грудная клетка и верхние дыхательные пути Методы исследования: Rg Просто так... https://radiomed.ru/sites/default/files/styles/case_slider_image/public/user/12/2.201403310039.jpg?itok=D8M44Mx3 https://radiomed.ru/sites/default/files/styles/case_slider_image/public/user/12/3.201403310041.jpg?itok=oBqYfBw- https://radiomed.ru/sites/default/files/styles/case_slider_image/public/user/12/4.201403310042.jpg?itok=99zq79SZ ID:36652 Ср, 02/04/2014 - 14:25 #1 Doc84 Не на сайте Был на сайте: 11 лет 10 месяцев назад Зарегистрирован: 05.03.2014 - 15:21 Публикации: 209 mts Ср, 02/04/2014 - 14:29 #2 Сергей Кузьминов Не на сайте Был на сайте: 1 год 5 месяцев назад Зарегистрирован: 06.10.2012 - 15:51 Публикации: 11813 Метастазы откуда-то,Валентин Львович.Такое моё мнение.Круглые и много.Но все справа. Ср, 02/04/2014 - 14:39 #3 Doc84 Не на сайте Был на сайте: 11 лет 10 месяцев назад Зарегистрирован: 05.03.2014 - 15:21 Публикации: 209 Сергей Кузьминов wrote: Метастазы откуда-то,Валентин Львович.Такое моё мнение.Круглые и много.Но все справа. Слева во 2 м/р вроде есть Ср, 02/04/2014 - 19:33 #4 NIL Не на сайте Был на сайте: 4 дня 12 часов назад Зарегистрирован: 25.11.2013 - 20:50 Публикации: 18217 Классика жанра! "Слушай всех, прислушивайся к немногим, решай сам".© Ср, 02/04/2014 - 20:34 #5 И.Бондаренко Не на сайте Был на сайте: 10 часов 53 минуты назад Зарегистрирован: 13.09.2011 - 22:55 Публикации: 9213 NIL wrote: Классика жанра! Откуда классика "стреляет". Ср, 02/04/2014 - 21:01 #6 NIL Не на сайте Был на сайте: 4 дня 12 часов назад Зарегистрирован: 25.11.2013 - 20:50 Публикации: 18217 И.Бондаренко wrote: Откуда классика "стреляет". Можно предположить поражение почки. Для почечных Mts характерно сочетание поражения легочной ткани в сочетании с лимфоузлами корней, возможно и односторонняя локализация. "Слушай всех, прислушивайся к немногим, решай сам".© Чт, 03/04/2014 - 08:34 #7 Катенёв Валенти... Не на сайте Был на сайте: 7 лет 5 месяцев назад Зарегистрирован: 22.03.2008 - 22:15 Публикации: 54876 Сергей Кузьминов wrote: Метастазы откуда-то 3 года тому назад удалена (в ООД) матка и прочее, что рядом...
mts
Метастазы откуда-то,Валентин Львович.Такое моё мнение.Круглые и много.Но все справа.
Слева во 2 м/р вроде есть
Классика жанра!
"Слушай всех, прислушивайся к немногим, решай сам".©
Откуда классика "стреляет".
"Слушай всех, прислушивайся к немногим, решай сам".©
3 года тому назад удалена (в ООД) матка и прочее, что рядом...