Пол пациента:
Тип патологии:
Область исследования:
Методы исследования:
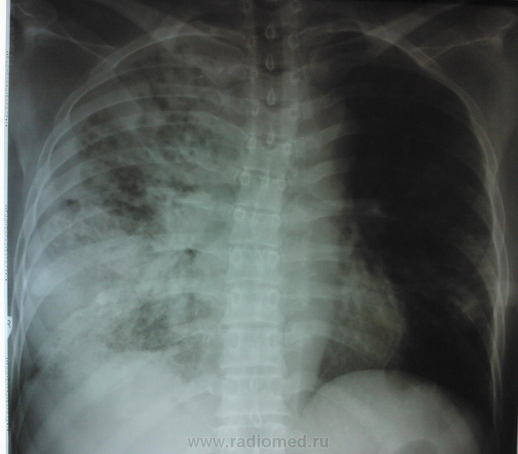
Женщина пенсионного возраста поступила в отделение сестринского ухода при терапии с диагнозом "Алкогольная интоксикация", жалоб особых нет, раннее не обследована, из анамнеза злоупотребление алкоголем. после проф. флюшки отправлена на консультацию к онкологу и фтизиатру. фтизиатр свое исключает и также отправляет к онкологу, онколог рекомендует КТ ОГК, на КТ врят ли поедет так как из глухой деревни, в анализах крови ничего особенного, хотеллось бы узнать мнения коллег по данному случаю.
- https://radiomed.ru/sites/default/files/styles/case_slider_image/public/user/18537/wp_000030.jpg?itok=lOMuJix1
- https://radiomed.ru/sites/default/files/styles/case_slider_image/public/user/18537/wp_000077.jpg?itok=CNkScGAG
- https://radiomed.ru/sites/default/files/styles/case_slider_image/public/user/18537/wp_000077_0.jpg?itok=c3R3qFO8
- https://radiomed.ru/sites/default/files/styles/case_slider_image/public/user/18537/wp_000135.jpg?itok=vfdYBNAi
- https://radiomed.ru/sites/default/files/styles/case_slider_image/public/user/18537/wp_000136.jpg?itok=Ly_iyhXP
- https://radiomed.ru/sites/default/files/styles/case_slider_image/public/user/18537/wp_000137.jpg?itok=jhGrRiED
- https://radiomed.ru/sites/default/files/styles/case_slider_image/public/user/18537/wp_000138.jpg?itok=ktgjUk-5
- https://radiomed.ru/sites/default/files/styles/case_slider_image/public/user/18537/wp_000139.jpg?itok=kAzE7M83
- https://radiomed.ru/sites/default/files/styles/case_slider_image/public/user/18537/wp_000140.jpg?itok=U9GhIpOM
- https://radiomed.ru/sites/default/files/styles/case_slider_image/public/user/18537/wp_000141.jpg?itok=IIN09ryg
- https://radiomed.ru/sites/default/files/styles/case_slider_image/public/user/18537/wp_000145.jpg?itok=Lgu2nGDE
- https://radiomed.ru/sites/default/files/styles/case_slider_image/public/user/18537/wp_000144.jpg?itok=zG_FiJ-w
ID:29942
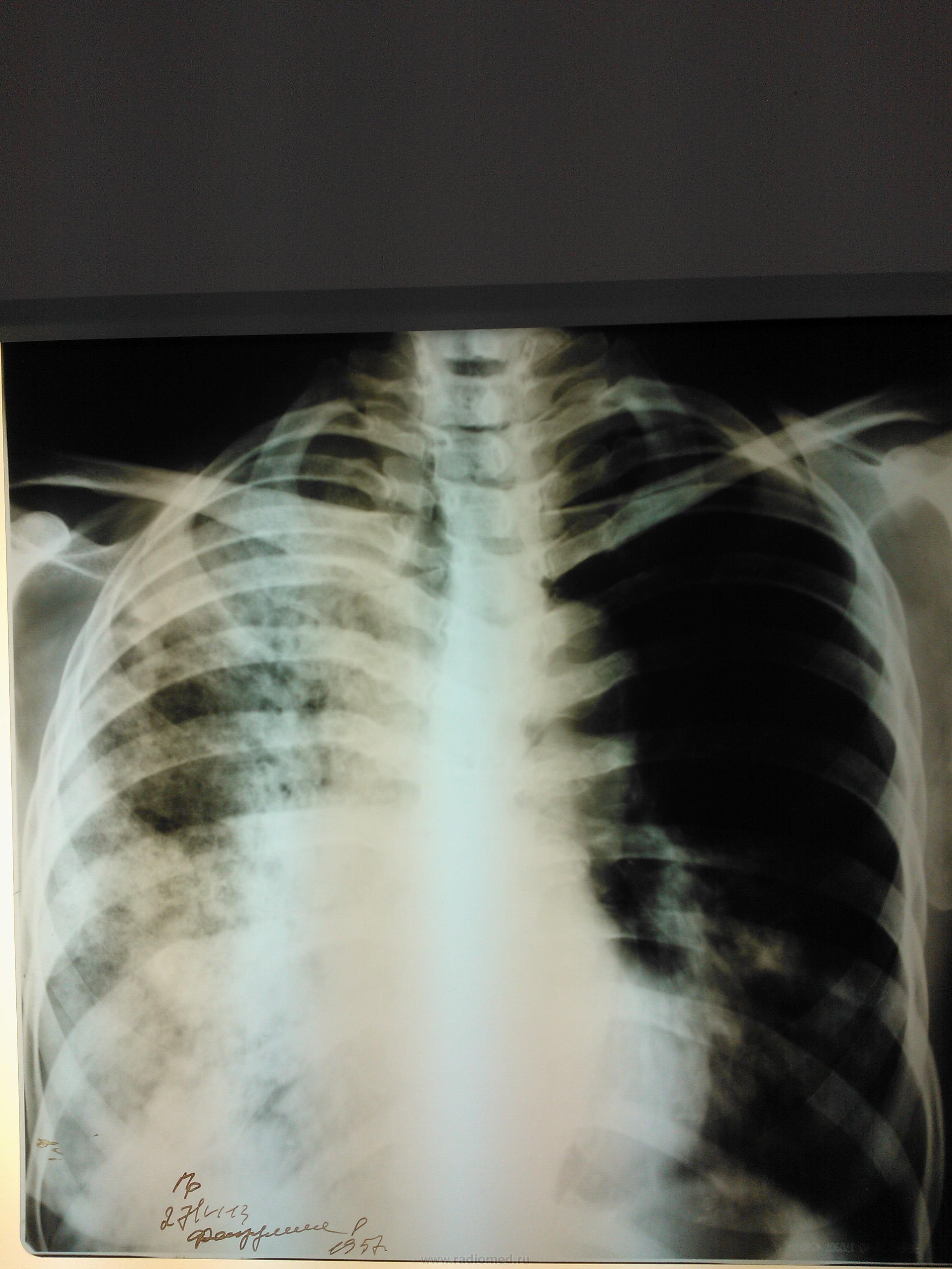
Начинаем диф ряд от рака, формирующегося абсцесса и тбц.
Ближе к раку.Анонимизируйте снимки в будующем.
Любой рентгенлаборант способен, при синдроме затемнения в легком, построить дифряд: пневмония? туберкулез? рак?
Андрей Юрьевич
я подумал о канцероматозе. сегодня попробую сделать ЛТГ если аппарат не откажется.
Коллега, не стоит увлекаться красивыми словами: ///карциноматоз//// ЧЕГО? Пишите проще.
Андрей Юрьевич
Рак - он везде рак. И в деревне и в столице...
С уважением,
еще немного из анамнеза: больной считает 7 дней, беспокоят боли в животе (в эпигастрии), 10 дней злоупотребляла алкоголем, в анализах лейкоциты 7,6 (палочки 12, сегменты 60, моноциты 3, лимфоциты 25), эритроциты 4,7 соэ 7 мм\ч, и т.д. б\х крови, ОАМ без изменений, гепатит отриц. по анализам везде норма. резко не худела, кашля нет, зацепиться не за что кроме рентгенограмм ОГК. и еще в теплице была обработка ядохимикатами, что натолкнуло меня на мысль уж не дольковый ли отек правого легкого? что скажете коллеги?
для рака легкого слишком уж все спокойно в анализах, да и клинических проявлений нет.
хорошо.
Анализы,конечно,дело интересное,но нам надо по рентгену что-то высказать.На ЛТГ-толстостенные полости,интересно,как фтизиатры от них отмахнулись.Пока затрудняюсь с ответом,ждём мнений заслуженных пользователей,например Nikolas.Интересен анамнез более ранний(перенесенные заболевания) и архив,если возможно.
Сложное дело, но во-первых, хорошо, что томограф работает.Жалко, что не удалось попасть в срединный срез, что с таким разбросом (6-10-13-16 см) не мудрено. Срез расчитывается по боковой томограмме от перекрестья задних отделов ребер до зоны интереса (в данном случае до уровня бифуркации), ну и плюс/минус 1см.
Можно замахнуться и на боковую томограмму, которая расчитывается по прямому снимку от остистых отростков до уровня корня легкого (как правило 5-6см), соответственно также и на столе, а потом отмечается расстояние от деки стола.
Андрей Юрьевич
Случай достаточно непростой. Сразу обратил внимание на выраженую компенсаторную эмфизему левого легкого. Правое значит очень плохо функционирует. И причиной этого может быть и обширность поражения, и бронхообструкция, и то и другое вместе. Полости могут быть и при туберкулёзе, и при абсцедирующей прневмонии, и при раке с распадом. Абсцесс вроде бы не вписывается в лабораторные показатели, но у хронических алкоголиков может быть убитый иммунитет. Туберкулез, на мой взгляд, при такой обширности, должен был дать отсев и в другое легкое. Так что, из этих рассуждений больше склоняюсь к раку. В таком неоднозначном случае всеравно следует оставить диф. ряд: рак, тбц, абсцедирующая пневмония и уговорить пациента на КТ, бронхоскопию.
"Обучая других - учишься сам". Н.И.Пирогов
То есть для туберкулеза, деструктивной пневмонии, другого какого-нибудь воспалительно-деструктивного процесса или канцероматоза эти анализы - в самый раз? А насчет клиники: тощая дама в возрасте, с хабитусом и активностью, обусловленными хронической интоксикацией - какая еще должна быть клиника? Ну да, кровью пока не кашляет.
С уважением,
По-моему это типичная картина активного туберкулеза - инфильтраты со склонностью к слиянию, очаги с нечеткими контурами.. Средостение смещено вправо, что может указывать на фиброз в правом легком.. Спокойные анализы, неяркая клиника туда же - к туберкулезу. На каком основании фтизиатр так быстро сказал, что это не его?
А газа (пневмомедиастинум) на "томках" не видно?
Если это туберкулёз, то "по картинке" вероятнее всего казеозная пневмония..., а палок, при таком предположении должно быть "океян - море".
И, что в мокроте палки есть? Вообще, что в мокроте нашли?
Было бы неплохо иметь нормальный снимок, по которому можно реально оценить левое легкое на предмет отсева или мтс. Газа в средостении что-то не увидел.
С уважением,
...плиз...
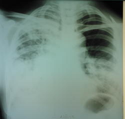
фтизиатр по флюшке написал центральный рак, после обзорной мнение его - двухсторонняя пневмония. мокроту еще не успела сдать, только сегодня назначили анализ мокроты. архива нет т.к. раннее не обследовалась. в отделение второй день. в боковой проекции томка не вышла, аппарат не смог снять, на кт попробуем уговорить родственников, сама не поедет.
нет ли кокого нибудь специфического заболевания?
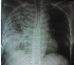
А, по "томкам", по стрелкам и чуть ниже "ракушку" весьма напоминает...
Спасибо, Валентин Львович! Все лень самому поставить редактор и обрабатывать снимки)))... Впечатление, что и слева бяка в нижнем поле? Но я еще со старых времен привык доверять фтизиатрам, неужели зря?
С уважением,
заранне извиняюсь, но на неделю я буду без связи, уезжаю. контрольные снимки и результаты доп. исследований выложу позже.
А зачем специфического?
Может "ракушке" скучно стало..., вот и присоединилось...
А по поводу болей в животе как с обследованием? Ну, хотя бы УЗИ, хотя бы печени, или там забрюшинных лимфоузлов с почками...
С уважением,
КАКОГО ИМЕННО? Огласите, пожалуйста, весь список
Зачем? Оставьте людЯм на поминки.
Андрей Юрьевич
забыл указать, увел печень при пальпации. на рентгенограмме ОБП хорошо видна правая почка лежа на уровне L3-L5, видимо печень давит. больше ничего по поводу брюшной полости.
А где же центральный рак на боковом снимке? Все те же инфильтраты, опухолевой массы не видно.. Тем более по-моему начинается обсеменение нижних отделов левого легкого.. Неужели больше нет сторонников тбц. Если на КТ не доедет, то пусть хоть мокроту как следует соберут посмотрят
Рентегенолог, напишите потом чем дело кончилось
На боковом снимке - "каша"
Для доказательства более целесообразна боковая томограмма
В данном случае "мокрота" намного могучее любого КТ
Фтизиатр,снимающий диагноз по флюшке не заслуживает никакого уважения.В этом случае-смело туберкулёз на первое место,а если терапевты МБТ найдут-фтизиатру анализ под нос.Нельзя так,это в ПТД должны были томографировать и немедленно,с учетом тяжести и предстоящих поминок.Рак тоже нельзя снять,а может и оба заболевания сразу.
Никто же не мог предположить, что процесс так поставлен. Написано: фтизиатр отверг твс, надо думать, обосновано. А оно вон как...
С уважением,
В общем, коллеги, обычное дело: лечить как пневмонию, обследовать на туберкулез, в уме держать рак.
Андрей Юрьевич
При таком легочном процессе долго не живут.Хронизация может быть обусловлена Б/эктазами,поликистозом,не разрешившейся когда-то пневмонии,плевральными наложениями,естественно туб.процессом,что очень сомнительно ,пока нет палок .Не хочется предполагать онкопроцесс
Никак нельзя исключить казеозную пневмонию правого легкого с отсевами в нижнюю долю левого легкого . Нужны снимки в динамике. (бывший фтизиатр, в настоящем- рентгенолог). В мокроте КУМ не сразу может выделить.
Ну, под микроскопом можно и сразу посмотреть...
1.Казеозная пневмония.
2.Прислушайтесь к Андрею Юрьевичу, пока до КТ "дотопчетесь", поздно будет.
3. С выявлением "палок" поспешить надобно!
4.Кстати, а ведь анализы, в начале заболевания, могут быть и близки к норме, а вот потом то..."вылезет" все, чего сейчас недостает.
5. Что температура и мокрота?
Болезни ног: виды, симптомы, причины, профилактика и лечение
Если автор отбыл на неделю,можем ожидать от него сразу протокол вскрытия.
+1. А слева отсевы в язычки.
Великое преймущество врача заключается в том, что он не обязан следовать собственным советам. ( А. Кристи)
+1
С отсевом в "язычки" слева, как по мне, тоже не поспоришь.
Болезни ног: виды, симптомы, причины, профилактика и лечение
В верхней доле слева не прослеживается легочной рисунок... Возникла мысль о пневмотораксе, не исключая вышесказанные диагнозы...
Как по мне, то этот "пневмоторакс" - технически-фотографический в большей степени, чем физический
Болезни ног: виды, симптомы, причины, профилактика и лечение
ИМХО: все ставят на первое место казеоную пневмонию ( устаревшее название скоротечная чахотка).Но, при этом клиника отсутствует и верхушки лёгких с 2-х сторон отностельно чистые. Ещё с версией туберкулёза с обычным течением , когда могут отсутствовать жалобы, можно согласиться, но в вариант казозной (т.е. дестуктивной )ПНЕВМОНИИ , вериться с трудом.
Формально по рентгенограммам, особенно прямой, в первую очередь, на мой взгляд, можно подумать о гангрене правого лёгкого. Правда такой диагноз у многих вызывает неприятие.
О казеозной пневмонии не думалось..., мелькало, но не в первой "пятёрке".
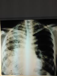
сегодня пациентке провели контрольную R-графию (снимок только в прямой проекции и на другом аппарате - немного "мягче", предыдущий сломался, а этот боковой не смог снять), сравнить тяжело (на разных аппаратах, разная экспозиция и тд и тп) но по мне динамика отрицательная.
из анализов: изменения только в ОАК от 7.07.2013 СОЭ повысилась до 35 мм\ч, лейкоциты по прежнему в норме - 8,8
мокроту со слов лечащего врача собрать не удалось, ее просто нету, редкий непродуктивный кашель, температура тела в пределах нормы все это время
провели кт: заключение по КТ ОГК - картина деструктивной полисегментарной пневмонии правого легкого, и сегментарной нижней доли левого, КТ ОБП - картина жировой дистрофии печени, киста левой почки. Сами снимки мне увидеть не удалось - родственники зачем то увезли в деревню, надеюсь привезут на днях и я хотя бы их сфотографирую для вас.
перестала самостоятельно ходить, возят ее на кресле, а ведь еще неделю назад сама приходила на R графию, теперь стоит при поддержке других. внешне опять таки никаких проявлений - разве только вялой стала.
Спасибо за случай! Было интересно наблюдать за развитием событий...
если кому еще интересно, ее перевели в реанимацию, динамика отрицательная, КТ я от ее родственников так и недождался, лечащему врачу дал рекомендации чтоб провели R-контроль, посмотрим.
Думаю, интересно всем участникам обсуждения. Ждем.
С уважением,
И, чё?
Ни анализов мокроты не делали, ни прочих экзекуций?
про мокроту я писал уже что ее у нее нет и собрать ее не представляется возможным, увозили ее родственники в город на КТ, но снимки почему то увезли с собой, оставив лишь протокол исследования с заключением, которое озвучил раннее. и вообще клин. обследование какое то скудное (ОАК, БХ крови, сахар крови, экг, и что то еще - единственное что выше нормы так это СОЭ до 35, и температура тела повышаться стала до 38 судя по темп кривой). леч врач сказал что уже неделю договаривается с реаниматологом чтоб перевести ее к ним - быстрей от нее избавится видимо хочет. пока все. завтра еще отпишусь как узнаю что нибудь.