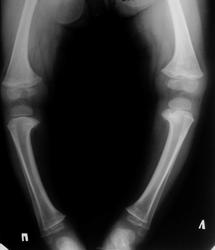
Рахит редко встречается? Приезжайте в Красноярск, я Вам его покажу. Все таки больше данных за рахит.
А каких данных?
В своей работе, придерживаюсь рабочей классификации болезни Эрлахера-Блауната, которая указана в монографии Е.П.Кузнечихина и Е.А.Бабина. Согласно данной классификации в 1 стадии на рентгенограммах наблюдается некоторое снижение высоты, медиальной части проксимального эпифиза б.берцовой кости, со структурно ячеистой резорбцией кости, которая является патогномоничной для данной патологии. А так получится, что каждый варус можно в болезнь Эрлахера-Блаунта записать.
Впервые в 1922 году австрийский ортопед Эрлахер описал клинические и рентгенологические проявления неизвестного до тех пор заболевания, характеризующегося варусной деформацией большеберцовой кости в области медиального мыщелка. Позднее подробное описание болезни дал Блаунт в 1930 году на анализе 23 больных, включая 13 собственных наблюдений. Автор на основании гистологических исследований назвал заболевание «деформирующий остеохондроз большеберцовой кости», подчеркнув его невоспалительную природу. Болезнь Эрлахера-Блаунта не является редкой, однако до сих пор взгляды на ее происхождение противоречивы. По мнению одних ученых (Биезинь А. П., Никифорова Е. К. и др.), варусная деформация большеберцовой кости возникает в результате субэпифизарной формы остеохон-дропатии внутреннего мыщелка. По мнению других (Волков М. В., Рейнберг С. А., Якобсон и др.), заболевание связано с хондродисплазией медиального мыщелка большеберцовой кости и асимметричным торможением функции эпифизарного росткового хряща. В подтверждение приводятся наблюдения, где болезнь Эрлахера-Блаунта сочеталась с другими врожденными пороками развития. Предрасполагающим моментом может быть раннее начало ходьбы, излишняя масса тела, эндокринные нарушения. В этиологии заболевания не исключается семейно-наследственный характер. В своей практике мы наблюдали три семьи, где болезнь прослеживалась в трех поколениях. В патогенезе болезни Эрлахера-Блаунта пусковым моментом можно считать перегрузку статически не подготовленной опорно-двигательной системы ребенка. Анатомические варианты строения нижней конечности обусловливают ее варусную установку в течение 1-2 лет жизни. В связи с этим ранняя и нередко повышенная нагрузка приводит к механической перегрузке внутреннего мыщелка большеберцовой кости. Действующие статико-динамические силы способствуют смещению развивающегося проксимального эпифиза большеберцовой кости книзу и кнутри. Костные трабекулы внутреннего участка метафиза компенсаторно изгибаются в медиальном направлении, соответственно давлению. Эпифизарная линия также меняет свое горизонтальное расположение, смещается книзу и расширяется с внутренней стороны. Неравномерно распределяющаяся на коленный сустав осевая нагрузка не сводится к чисто механическому воздействию только на кость. Сдавлению подвергаются и мягкие ткани, окружаюшие ее. В результате продолжительного напряжения на участке наибольшей нагрузки возникают биологические сдвиги типа нейродист-рофизических расстройств. При таких неблагоприятных условиях функция конечности качественно изменяется, что выражается в торможении роста этой зоны, в нарушении процессов оссификации. Появляются участки перестройки костной ткани. Трансформация хрящевых клеток в костную ткань замедляется или извращается. Рост и развитие внутреннего мыщелка большеберцовой кости идет не продольно ее оси, а под углом и в медиальную сторону, что проявляется образованием клювовидного выступа метафиза. Вследствие этого внутренняя сторона диафиза большеберцовой кости становится ниже, чем наружная. Развивается угловой изгиб ее на уровне проксимального метафиза. Параллельно варусной деформации большеберцовой кости возникает элемент торсии, очень заметный в нижней трети конечности. Это создает ротационную установку стопы. Торсия является следствием нарушения равновесия функции проксимальных ростковых зон костей голени: при торможении роста большеберцовой кости продолжается нормальный рост малоберцовой, которая, удлиняясь, постепенно оттесняет стопу кнутри, скручивая голень. Клиника. Заболеванию болезнью Эрлахера-Блаунта наиболее подвержены дети в возрасте от 1 до 3 лет. Варусная деформация большеберцовой кости в более старшем возрасте встречается реже, или это последствие дегенеративно-дистрофического процесса. Чаше болезнь возникает у девочек. Причем у большинства больных наблюдается двусторонний характер деформации. Ранним клиническим признаком проявления болезни является варус голени, связанный с началом ходьбы. Постепенно с увеличением нагрузки на конечности увеличивается деформация, что приводит к хромоте и быстрой утомляемости. При двустороннем искривлении ног походка становится неуклюжей, «утиной», чему способствует не столько сама деформация, сколько растяжение связок коленного сустава. При одностороннем поражении хромота может возникнуть и от функционального укорочения конечности. При выраженной степени двусторонней деформации обращает на себя внимание диспропорция соотношений между длиной верхних и нижних конечностей. В связи с относительным укорочением ног из-за искривления руки кажутся неестественно длинными, нередко пальцы рук достигают коленных суставов.
Искривление голеней имеет штыкообразный вид и определяется сразу же под коленным суставом. Вершина искривления обращена кнаружи. На уровне верхнего метафиза большеберцовой кости у всех больных определяется клювовидный выступ. Рано появляется выстояние головки мало-берцовой кости. Диафизы обеих костей голени всегда остаются прямыми. Обязательным и постоянным симптомом заболевания является внутренняя ротация голеней и часто рекурвация. Степень внутренней ротации может колебаться от 20 до 85°. По величине варусного искривления деформации голени могут быть разделены на три степени. К заболеваниям легкой степени относятся искривления во фронтальной плоскости с углом вируса от 5 до 13>, межмыщелковым расстоянием в 2-5 см. При заболевании средней степени величина угла вируса составляет 15-30°, а межмыщелковое расстояние равно 10-12 см. Тяжелые степени деформации характеризуются варусным углом от 30 до 55° и межмыщелковым расстоянием до 19-21 т. Из сопутствующих изменений при болезни Эрлахера-Блаунта выявляются понижение тонуса и атрофия мыши голеней. Почти у всех пациентов отмечается плоскостопие. Вил больных характерен (рис. 56). Они низкорослы из-за потери анатомической длины больше-берцовых костей, с более или менее выраженной варусной деформацией ног. Поэтому диагностика заболевания несложна. Рентгенологическая картина болезни Эрлахера-Блаунта довольно типична и представлена следующими признаками. 1. Отмечается искривление большеберцовой кости на уровне проксимального отдела метафиза, часто вблизи границы с эпифизом, что определяется в виде клювовидного костного выступа. 2. Деформация эпифиза - постоянный рентгенологический признак заболевания. Во всех случаях внутренняя часть суставной поверхности его располагается косо под углом 30-45° в дистальном направлении; она всегда деформирована - равномерно вогнута, нередко повышенно минерализована. Внутренний отдел эпифиза часто уменьшен по высоте почти в 2-3 раза. Возможна краевая фрагментация. 3. Как правило, с внутренней стороны сустава расширяется эпифизарная ростковая зона в виде раструба кости. Костно-замыкательные пластинки здесь нечеткие, расплывчатые. В последующем отмечается преждевременное закрытие хрящевых метафизарных зон роста. 4. Наблюдается компенсаторное утолщение кортикального слоя больше-берцовой кости по внутренней поверхности, с усилением внутрикостного рисунка. 5. Изменяется положение малоберцовой кости (наслаивается на больше-берцовую кость) из-за торсии голени.
По мне, так больше на болезнь Блаунта похоже, чем на рахит.
https://www.instagram.com/pediatricradiology/
Интересно, какая "остеохондропатия" могёт дать такую картинку?
++++1111
http://www.radiomed.ru/publications/kss-blaunta-bolezn
http://www.radiomed.ru/publications/kss-rakhit
Рахит редко встречается? Приезжайте в Красноярск, я Вам его покажу. Все таки больше данных за рахит.
А каких данных?
+1 за Блаунта
Я тоже за болезнь Блаунта.
60888
Болезнь Эрлахера-Блаунта
Впервые в 1922 году австрийский ортопед Эрлахер описал клинические и рентгенологические проявления неизвестного до тех пор заболевания, характеризующегося варусной деформацией большеберцовой кости в области медиального мыщелка. Позднее подробное описание болезни дал Блаунт в 1930 году на анализе 23 больных, включая 13 собственных наблюдений. Автор на основании гистологических исследований назвал заболевание «деформирующий остеохондроз большеберцовой кости», подчеркнув его невоспалительную природу. Болезнь Эрлахера-Блаунта не является редкой, однако до сих пор взгляды на ее происхождение противоречивы. По мнению одних ученых (Биезинь А. П., Никифорова Е. К. и др.), варусная деформация большеберцовой кости возникает в результате субэпифизарной формы остеохон-дропатии внутреннего мыщелка. По мнению других (Волков М. В., Рейнберг С. А., Якобсон и др.), заболевание связано с хондродисплазией медиального мыщелка большеберцовой кости и асимметричным торможением функции эпифизарного росткового хряща. В подтверждение приводятся наблюдения, где болезнь Эрлахера-Блаунта сочеталась с другими врожденными пороками развития. Предрасполагающим моментом может быть раннее начало ходьбы, излишняя масса тела, эндокринные нарушения. В этиологии заболевания не исключается семейно-наследственный характер. В своей практике мы наблюдали три семьи, где болезнь прослеживалась в трех поколениях. В патогенезе болезни Эрлахера-Блаунта пусковым моментом можно считать перегрузку статически не подготовленной опорно-двигательной системы ребенка. Анатомические варианты строения нижней конечности обусловливают ее варусную установку в течение 1-2 лет жизни. В связи с этим ранняя и нередко повышенная нагрузка приводит к механической перегрузке внутреннего мыщелка большеберцовой кости. Действующие статико-динамические силы способствуют смещению развивающегося проксимального эпифиза большеберцовой кости книзу и кнутри. Костные трабекулы внутреннего участка метафиза компенсаторно изгибаются в медиальном направлении, соответственно давлению. Эпифизарная линия также меняет свое горизонтальное расположение, смещается книзу и расширяется с внутренней стороны. Неравномерно распределяющаяся на коленный сустав осевая нагрузка не сводится к чисто механическому воздействию только на кость. Сдавлению подвергаются и мягкие ткани, окружаюшие ее. В результате продолжительного напряжения на участке наибольшей нагрузки возникают биологические сдвиги типа нейродист-рофизических расстройств. При таких неблагоприятных условиях функция конечности качественно изменяется, что выражается в торможении роста этой зоны, в нарушении процессов оссификации. Появляются участки перестройки костной ткани. Трансформация хрящевых клеток в костную ткань замедляется или извращается. Рост и развитие внутреннего мыщелка большеберцовой кости идет не продольно ее оси, а под углом и в медиальную сторону, что проявляется образованием клювовидного выступа метафиза. Вследствие этого внутренняя сторона диафиза большеберцовой кости становится ниже, чем наружная. Развивается угловой изгиб ее на уровне проксимального метафиза. Параллельно варусной деформации большеберцовой кости возникает элемент торсии, очень заметный в нижней трети конечности. Это создает ротационную установку стопы. Торсия является следствием нарушения равновесия функции проксимальных ростковых зон костей голени: при торможении роста большеберцовой кости продолжается нормальный рост малоберцовой, которая, удлиняясь, постепенно оттесняет стопу кнутри, скручивая голень. Клиника. Заболеванию болезнью Эрлахера-Блаунта наиболее подвержены дети в возрасте от 1 до 3 лет. Варусная деформация большеберцовой кости в более старшем возрасте встречается реже, или это последствие дегенеративно-дистрофического процесса. Чаше болезнь возникает у девочек. Причем у большинства больных наблюдается двусторонний характер деформации. Ранним клиническим признаком проявления болезни является варус голени, связанный с началом ходьбы. Постепенно с увеличением нагрузки на конечности увеличивается деформация, что приводит к хромоте и быстрой утомляемости. При двустороннем искривлении ног походка становится неуклюжей, «утиной», чему способствует не столько сама деформация, сколько растяжение связок коленного сустава. При одностороннем поражении хромота может возникнуть и от функционального укорочения конечности. При выраженной степени двусторонней деформации обращает на себя внимание диспропорция соотношений между длиной верхних и нижних конечностей. В связи с относительным укорочением ног из-за искривления руки кажутся неестественно длинными, нередко пальцы рук достигают коленных суставов.
Искривление голеней имеет штыкообразный вид и определяется сразу же под коленным суставом. Вершина искривления обращена кнаружи. На уровне верхнего метафиза большеберцовой кости у всех больных определяется клювовидный выступ. Рано появляется выстояние головки мало-берцовой кости. Диафизы обеих костей голени всегда остаются прямыми. Обязательным и постоянным симптомом заболевания является внутренняя ротация голеней и часто рекурвация. Степень внутренней ротации может колебаться от 20 до 85°. По величине варусного искривления деформации голени могут быть разделены на три степени. К заболеваниям легкой степени относятся искривления во фронтальной плоскости с углом вируса от 5 до 13>, межмыщелковым расстоянием в 2-5 см. При заболевании средней степени величина угла вируса составляет 15-30°, а межмыщелковое расстояние равно 10-12 см. Тяжелые степени деформации характеризуются варусным углом от 30 до 55° и межмыщелковым расстоянием до 19-21 т. Из сопутствующих изменений при болезни Эрлахера-Блаунта выявляются понижение тонуса и атрофия мыши голеней. Почти у всех пациентов отмечается плоскостопие. Вил больных характерен (рис. 56). Они низкорослы из-за потери анатомической длины больше-берцовых костей, с более или менее выраженной варусной деформацией ног. Поэтому диагностика заболевания несложна. Рентгенологическая картина болезни Эрлахера-Блаунта довольно типична и представлена следующими признаками. 1. Отмечается искривление большеберцовой кости на уровне проксимального отдела метафиза, часто вблизи границы с эпифизом, что определяется в виде клювовидного костного выступа. 2. Деформация эпифиза - постоянный рентгенологический признак заболевания. Во всех случаях внутренняя часть суставной поверхности его располагается косо под углом 30-45° в дистальном направлении; она всегда деформирована - равномерно вогнута, нередко повышенно минерализована. Внутренний отдел эпифиза часто уменьшен по высоте почти в 2-3 раза. Возможна краевая фрагментация. 3. Как правило, с внутренней стороны сустава расширяется эпифизарная ростковая зона в виде раструба кости. Костно-замыкательные пластинки здесь нечеткие, расплывчатые. В последующем отмечается преждевременное закрытие хрящевых метафизарных зон роста. 4. Наблюдается компенсаторное утолщение кортикального слоя больше-берцовой кости по внутренней поверхности, с усилением внутрикостного рисунка. 5. Изменяется положение малоберцовой кости (наслаивается на больше-берцовую кость) из-за торсии голени.
Для информации.
Хотя, аналогичная деформация нижних конечностей может иметь место и при акрокапитофеморальной дисплазии.
Рахит?
Страсть - сила любви!
Nobody
Игрок, не понял юмора?)))
Рахит. Болезнь Блаунта - поражение изолированное, а здесь варусная еформация голеней и бедер.
Еще случай в архив