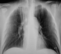
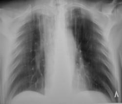
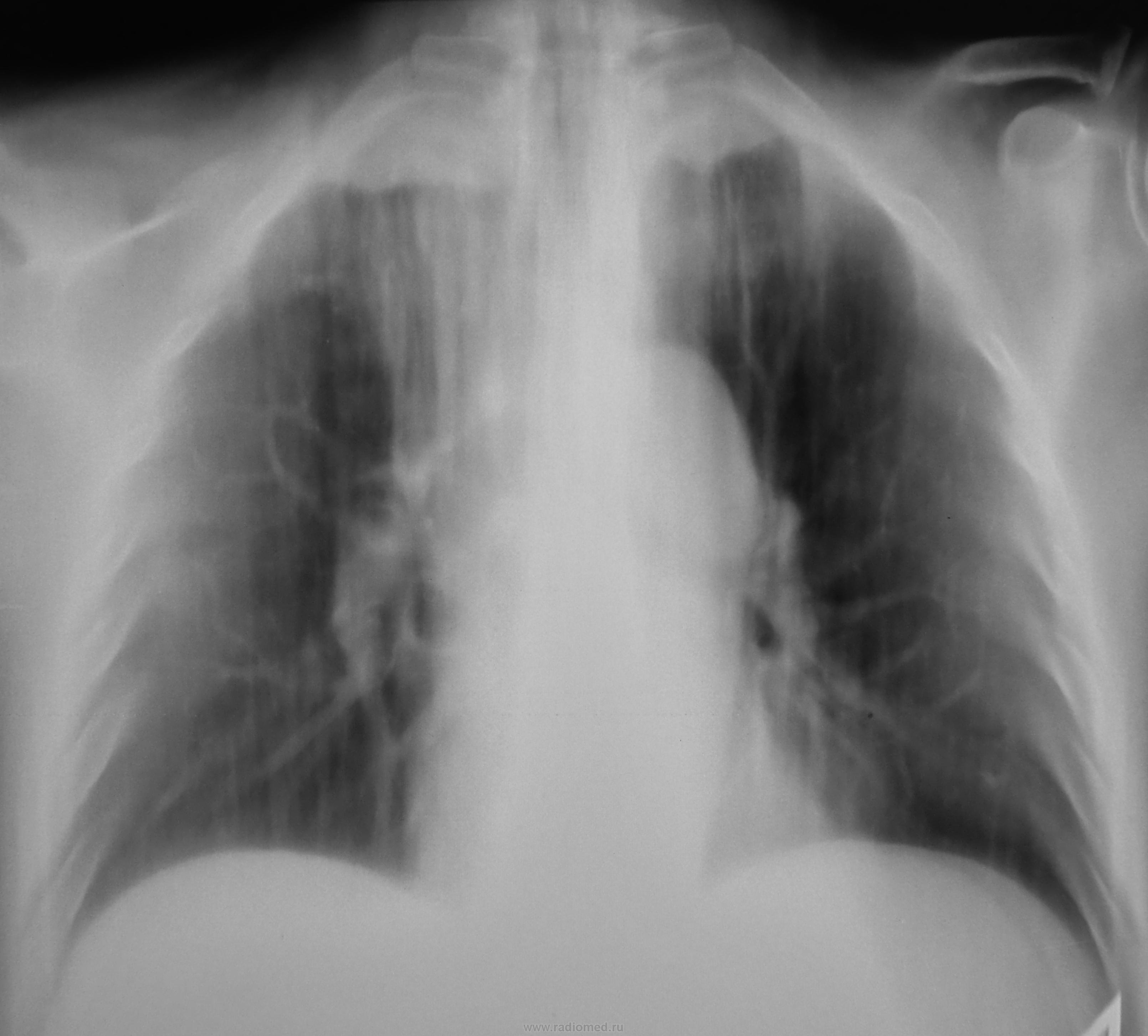
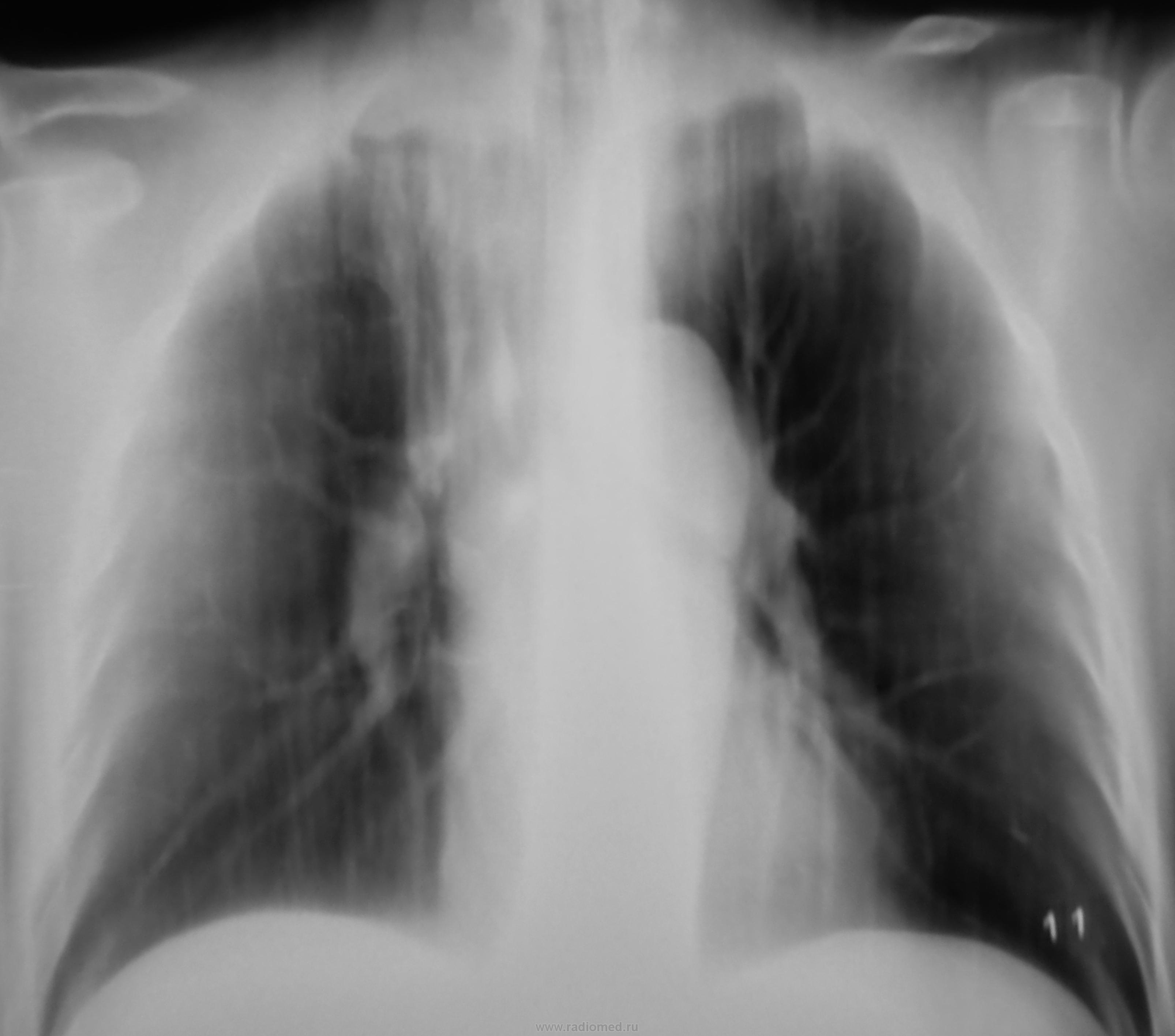
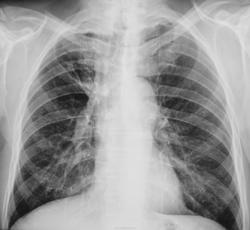
Пол пациента: Мужской пол Тип патологии: Другое Область исследования: Грудная клетка и верхние дыхательные пути Методы исследования: Rg Ранее болел туберкулёзом. Сегодня был направлен терапевтом с диагнозом пневмонии https://radiomed.ru/sites/default/files/styles/case_slider_image/public/user/12/2.dscn1413.jpg?itok=ddIwdutI https://radiomed.ru/sites/default/files/styles/case_slider_image/public/user/12/3.dscn1414.jpg?itok=BaDHOskS https://radiomed.ru/sites/default/files/styles/case_slider_image/public/user/12/4.dscn1415.jpg?itok=72LWEAHd ID:27835 Чт, 11/04/2013 - 09:53 #1 НБ Не на сайте Был на сайте: 11 лет 5 месяцев назад Зарегистрирован: 07.11.2012 - 19:55 Публикации: 84 утолщена апикальная плевра. Справа в верхней доле фиброз?. Но на ТГ не виден ВДБ, нет ли ателектаза в/доли. Н.Б. Чт, 11/04/2013 - 16:16 #2 brainmodel Не на сайте Был на сайте: 2 месяцев 2 недели назад Зарегистрирован: 18.03.2010 - 22:04 Публикации: 2881 Архив. Затем все разговоры. Verum plus uno esse non potest. Чт, 11/04/2013 - 19:26 #3 maker4ik Не на сайте Был на сайте: 8 лет 7 месяцев назад Зарегистрирован: 19.10.2011 - 17:49 Публикации: 2682 Не увидела пневмонию. И свежих очагов тоже. Чт, 11/04/2013 - 19:55 #4 Сергей Кузьминов Не на сайте Был на сайте: 1 год 2 недели назад Зарегистрирован: 06.10.2012 - 15:51 Публикации: 11813 Активного лёгочного процесса нет.Посттуберкулёзные изменения есть.
утолщена апикальная плевра. Справа в верхней доле фиброз?. Но на ТГ не виден ВДБ, нет ли ателектаза в/доли.
Н.Б.
Архив. Затем все разговоры.
Verum plus uno esse non potest.
Не увидела пневмонию. И свежих очагов тоже.
Активного лёгочного процесса нет.Посттуберкулёзные изменения есть.