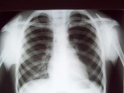
Пол пациента: Мужской пол Тип патологии: Воспалительное заболевание неинфекционной природы Область исследования: Грудная клетка и верхние дыхательные пути Методы исследования: Rg Гриппозное состояние; t , кашель , насморк. А что с ребром? Аномалия? ID:2505 Сб, 03/04/2010 - 01:30 #1 Петрович Не на сайте Был на сайте: 7 лет 2 месяцев назад Зарегистрирован: 22.03.2009 - 01:13 Публикации: 3908 На первый взгляд похоже. Но, поскольку, костная структура на изображении не видна, легко ошибиться. Если есть соответствующая клиника, стоит доснять ребро прицельно косо в рёберном режиме. Неоднозначно всё Сб, 03/04/2010 - 12:35 #2 stovbav Не на сайте Был на сайте: 2 года 2 месяцев назад Зарегистрирован: 20.12.2009 - 17:28 Публикации: 7066 Аномалия - вилка Люшка, но ассиметричная...вот всего и делов то... Болезни ног: виды, симптомы, причины, профилактика и лечение Сб, 03/04/2010 - 13:37 #3 Ola-la Не на сайте Был на сайте: 10 месяцев 1 неделя назад Зарегистрирован: 06.12.2008 - 09:33 Публикации: 1786 Нет, это не вилка Люшка. 3 и 4 ребра сближены по боковой поверхности, может, что-то типа синхондроза, но это точно вариант развития, такие встречала. https://www.instagram.com/pediatricradiology/ Сб, 03/04/2010 - 13:47 #4 stovbav Не на сайте Был на сайте: 2 года 2 месяцев назад Зарегистрирован: 20.12.2009 - 17:28 Публикации: 7066 Ola-la wrote: Нет, это не вилка Люшка. 3 и 4 ребра сближены по боковой поверхности, может, что-то типа синхондроза, но это точно вариант развития, такие встречала. Может и так, в принципе это не принципиально, да - расширение, да - сближение, но, как мне кажется, есть и небольшое раздвоение на переднем фрагментеПриложения: Болезни ног: виды, симптомы, причины, профилактика и лечение Сб, 03/04/2010 - 14:54 #5 Катенёв Валенти... Не на сайте Был на сайте: 7 лет 2 недели назад Зарегистрирован: 22.03.2008 - 22:15 Публикации: 54876 А может, и не аномалия, а может патология... Сб, 03/04/2010 - 15:03 #6 Катенёв Валенти... Не на сайте Был на сайте: 7 лет 2 недели назад Зарегистрирован: 22.03.2008 - 22:15 Публикации: 54876 "Ода" ребру! Приложения: Сб, 03/04/2010 - 15:09 #7 Катенёв Валенти... Не на сайте Был на сайте: 7 лет 2 недели назад Зарегистрирован: 22.03.2008 - 22:15 Публикации: 54876 Продолжение. Приложения:
На первый взгляд похоже. Но, поскольку, костная структура на изображении не видна, легко ошибиться. Если есть соответствующая клиника, стоит доснять ребро прицельно косо в рёберном режиме.
Неоднозначно всё
Аномалия - вилка Люшка, но ассиметричная...вот всего и делов то...
Болезни ног: виды, симптомы, причины, профилактика и лечение
Нет, это не вилка Люшка. 3 и 4 ребра сближены по боковой поверхности, может, что-то типа синхондроза, но это точно вариант развития, такие встречала.
https://www.instagram.com/pediatricradiology/
Может и так, в принципе это не принципиально, да - расширение, да - сближение, но, как мне кажется, есть и небольшое раздвоение на переднем фрагменте
Болезни ног: виды, симптомы, причины, профилактика и лечение
А может, и не аномалия, а может патология...
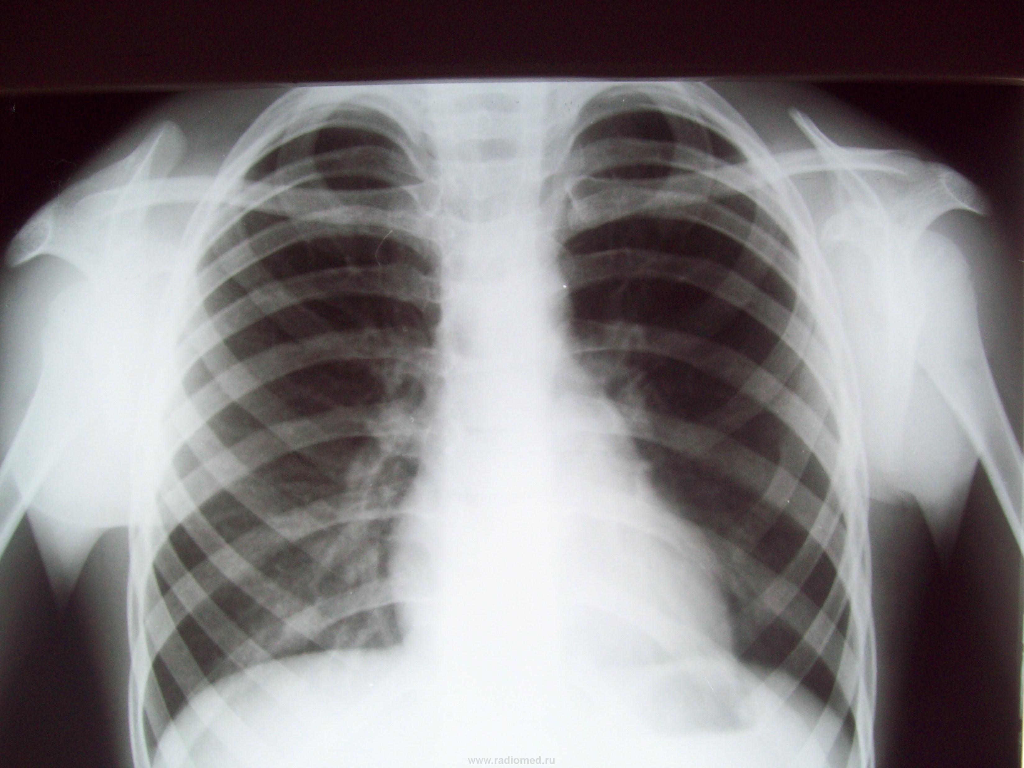
"Ода" ребру!
Продолжение.