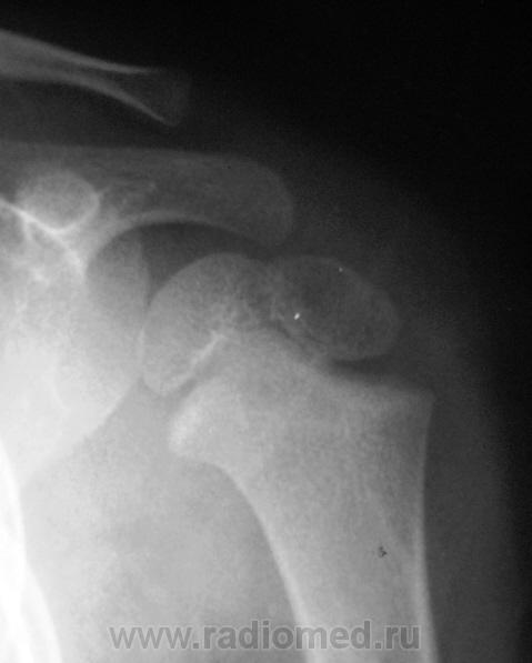
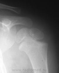
Пол пациента: Мужской пол Тип патологии: Травма Область исследования: Скелетно-мышечная система Методы исследования: Rg Ребенок доставлен по «ургенту». Травма. Направлен на рентгенографию левого плечевого сустава. https://radiomed.ru/sites/default/files/styles/case_slider_image/public/user/12/2.p1190014a.jpg?itok=1gdJVd7R https://radiomed.ru/sites/default/files/styles/case_slider_image/public/user/12/3.p1190015.jpg?itok=J2sCFP2r https://radiomed.ru/sites/default/files/styles/case_slider_image/public/user/12/4.p1190015a.jpg?itok=J9XWCaEU ID:11399 Ср, 19/01/2011 - 17:41 #1 Катенёв Валенти... Не на сайте Был на сайте: 7 лет 2 недели назад Зарегистрирован: 22.03.2008 - 22:15 Публикации: 54876 Для сравнения, дежурный хирург, попросил сделать правый плечевой сустав.Приложения: Ср, 19/01/2011 - 18:50 #2 Vega Не на сайте Был на сайте: 3 месяцев 1 неделя назад Зарегистрирован: 22.01.2009 - 19:16 Публикации: 1087 Перелом левой ключицы Ср, 19/01/2011 - 19:22 #3 Ola-la Не на сайте Был на сайте: 10 месяцев 6 дней назад Зарегистрирован: 06.12.2008 - 09:33 Публикации: 1786 Может быть, если есть клиника, но немного сомнительно. А почему опять нет второй проекции? https://www.instagram.com/pediatricradiology/ Ср, 19/01/2011 - 20:11 #4 Катенёв Валенти... Не на сайте Был на сайте: 7 лет 2 недели назад Зарегистрирован: 22.03.2008 - 22:15 Публикации: 54876 Ola-la wrote: Может быть, если есть клиника, но немного сомнительно. А почему опять нет второй проекции? Ургент! Как дежурный врач требует, так лаборант и делает. Ср, 19/01/2011 - 21:25 #5 Ola-la Не на сайте Был на сайте: 10 месяцев 6 дней назад Зарегистрирован: 06.12.2008 - 09:33 Публикации: 1786 А у нас дежурные требуют всегда в двух проекциях. https://www.instagram.com/pediatricradiology/ Ср, 19/01/2011 - 21:54 #6 Катенёв Валенти... Не на сайте Был на сайте: 7 лет 2 недели назад Зарегистрирован: 22.03.2008 - 22:15 Публикации: 54876 Ola-la wrote: А у нас дежурные требуют всегда в двух проекциях. Сравнили! У Вас, кто дежурит? А, у нас кто? Ваши, что-то хоть сделают, а наши в основном наблюдают...с определенного расстояния.
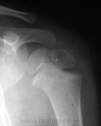
Для сравнения, дежурный хирург, попросил сделать правый плечевой сустав.
Перелом левой ключицы
Может быть, если есть клиника, но немного сомнительно. А почему опять нет второй проекции?
https://www.instagram.com/pediatricradiology/
Ургент! Как дежурный врач требует, так лаборант и делает.
А у нас дежурные требуют всегда в двух проекциях.
https://www.instagram.com/pediatricradiology/
Сравнили! У Вас, кто дежурит? А, у нас кто? Ваши, что-то хоть сделают, а наши в основном наблюдают...с определенного расстояния.