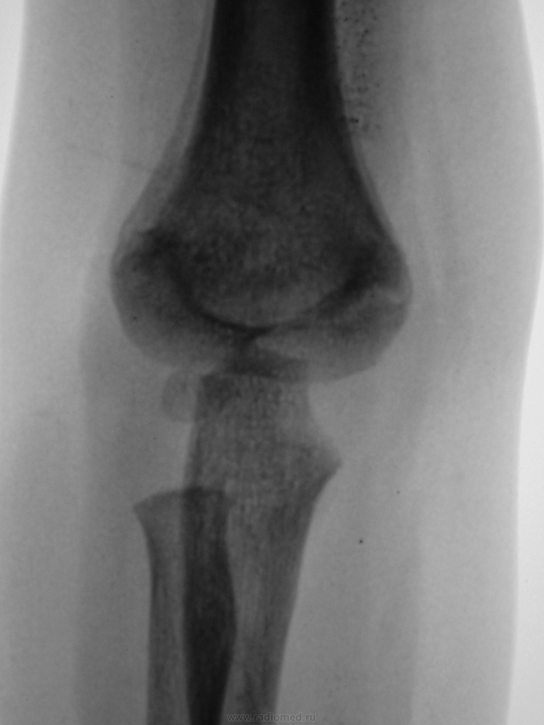
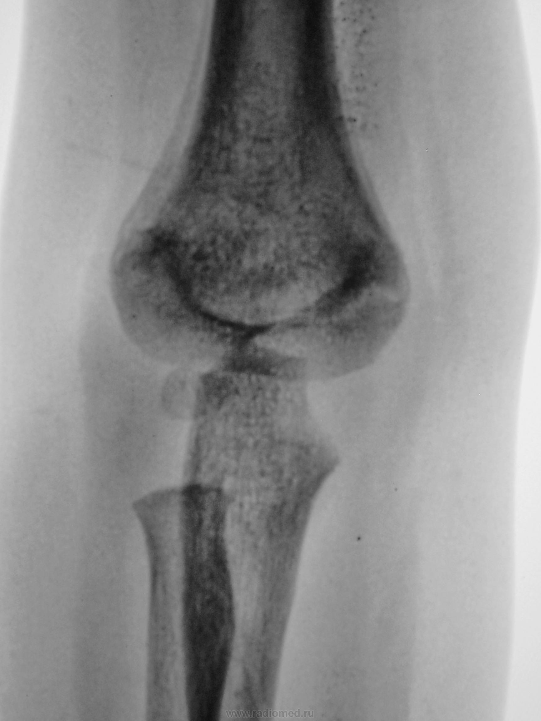
Ребенок. Снят гипс.

Пол пациента: 
Тип патологии: 
Область исследования: 
Методы исследования: 

Ваше мнение уважаемые коллеги?

  • https://radiomed.ru/sites/default/files/styles/case_slider_image/public/user/12/2.p8260088.jpg?itok=GWkoyNCC
  • https://radiomed.ru/sites/default/files/styles/case_slider_image/public/user/12/3.p8260091.jpg?itok=EATrmaZe
  • https://radiomed.ru/sites/default/files/styles/case_slider_image/public/user/12/4.p8260091a.jpg?itok=dETBnL7o
  • https://radiomed.ru/sites/default/files/styles/case_slider_image/public/user/12/5.p8260090.jpg?itok=-x5KnNYJ
  • https://radiomed.ru/sites/default/files/styles/case_slider_image/public/user/12/6.p8260090a.jpg?itok=FPNtgmBz
  • https://radiomed.ru/sites/default/files/styles/case_slider_image/public/user/12/7.p8260089a.jpg?itok=_tRL3-6B
ID:15059
Катенёв Валентин Львович аватар
Не на сайте
Был на сайте: 7 лет 2 недели назад
Зарегистрирован: 22.03.2008 - 22:15
Публикации: 54876

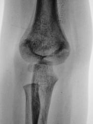
Первичный снимок.

Приложения: 
1.p8260044.jpg2.p8260044a.jpg3.p8260045.jpg4.p8260046.jpg
vevo аватар
Не на сайте
Был на сайте: 11 лет 1 месяц назад
Зарегистрирован: 15.08.2011 - 00:32
Публикации: 77

А возраст какой?

Катенёв Валентин Львович аватар
Не на сайте
Был на сайте: 7 лет 2 недели назад
Зарегистрирован: 22.03.2008 - 22:15
Публикации: 54876

3 года.

Kuzmitch аватар
Не на сайте
Был на сайте: 12 лет 7 месяцев назад
Зарегистрирован: 01.10.2010 - 18:20
Публикации: 171

Была картина эпифизеолиза? А теперь похоже на остеолитический процесс (опухоль?)

Ola-la аватар
Не на сайте
Был на сайте: 10 месяцев 2 дня назад
Зарегистрирован: 06.12.2008 - 09:33
Публикации: 1786

Консолидирующийся чрезмыщелковый перелом плечевой кости. Есть, конечно, угловое смещение кзади, надо было сразу репонировать, а теперь не знаю, может, для такого возраста можно и оставить.

Kuzmitch аватар
Не на сайте
Был на сайте: 12 лет 7 месяцев назад
Зарегистрирован: 01.10.2010 - 18:20
Публикации: 171

Не понравилось вот это место:

Приложения: 
perelom.jpg
Александр Викторович аватар
Не на сайте
Был на сайте: 8 лет 2 часа назад
Зарегистрирован: 31.07.2010 - 13:05
Публикации: 639

углок есть, консолидация достаточная для того, чтобы уже начать разрабатывать сустав. Все не так уж и плохо))))

Шаба аватар
Не на сайте
Был на сайте: 3 года 4 месяцев назад
Зарегистрирован: 19.08.2010 - 22:01
Публикации: 122

похоже на подвывых.

гаур моника аватар
Не на сайте
Был на сайте: 14 лет 3 месяцев назад
Зарегистрирован: 07.07.2011 - 12:17
Публикации: 27

 

чрезмыщелковый перелом плечевой кости,c подвывыхom головки лучевой  кости

Александр Викторович аватар
Не на сайте
Был на сайте: 8 лет 2 часа назад
Зарегистрирован: 31.07.2010 - 13:05
Публикации: 639

гаур моника wrote:

 

чрезмыщелковый перелом плечевой кости,c подвывыхom головки лучевой  кости с смешением вниз……

А Вы не допускаете,что могут быть прогрешности укладки, ротация предплечья например. 

Vega аватар
Не на сайте
Был на сайте: 3 месяцев 5 дней назад
Зарегистрирован: 22.01.2009 - 19:16
Публикации: 1087

Обычный срастающийся с допустимым смещением чрезмыщелковый перелом. Подвывихов нет.

гаур моника аватар
Не на сайте
Был на сайте: 14 лет 3 месяцев назад
Зарегистрирован: 07.07.2011 - 12:17
Публикации: 27

я работаю в областное больнице 5 месяцев и такие случай у нас много поэтому несколько уверенно но все равно опыт не хватвет..могу ошибаться

MARS аватар
Не на сайте
Был на сайте: 13 лет 3 месяцев назад
Зарегистрирован: 29.08.2011 - 12:07
Публикации: 8

Мне кажется что сдесь может быть остеолитический процесс( остеоS-ma) плечевой кости.

Vega аватар
Не на сайте
Был на сайте: 3 месяцев 5 дней назад
Зарегистрирован: 22.01.2009 - 19:16
Публикации: 1087

Хотелось бы поподробнее узнать, что именно насторожило коллегу на предмет саркомы.