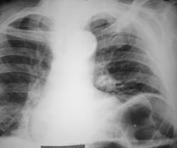
релаксація купола діафрагми зліва ??? чи грижа ???

Пол пациента: 
Тип патологии: 
Методы исследования: 

релаксація купола діафрагми зліва ?

  • https://radiomed.ru/sites/default/files/styles/case_slider_image/public/user/12/2.vv_.relaksaciya_livogo_kupola_diafragmia.jpg?itok=R5btXAFZ
  • https://radiomed.ru/sites/default/files/styles/case_slider_image/public/user/12/3.vv_.relaksaciya_livogo_kupola_diafragmiachh.jpg?itok=VabVOZNT
ID:18891
kozhuharchik аватар
Не на сайте
Был на сайте: 4 года 3 месяцев назад
Зарегистрирован: 10.02.2012 - 19:19
Публикации: 58

кращої якості небуде !!! перефоткано на цифровик з плівки !!!

самий старий РУМ20 в області і я з ним в районі

Приложения: 
relaksaciya_livogo_kupola_diafragmi.jpg
И.Бондаренко аватар
Не на сайте
Был на сайте: 2 дня 12 часов назад
Зарегистрирован: 13.09.2011 - 22:55
Публикации: 9206

Хотелось бы увидеть снимок лучшего качества. Дополнительно левый боковой снимок. Возникает вопрос: А, что за инфильтрация справа?

Aleksandra85 аватар
Не на сайте
Был на сайте: 13 лет 10 месяцев назад
Зарегистрирован: 09.02.2012 - 20:26
Публикации: 28

в нижнем отделе?

тюрин аватар
Не на сайте
Был на сайте: 2 недели 4 дня назад
Зарегистрирован: 18.12.2009 - 17:23
Публикации: 215

рентгенограмму надо в боковой проекции. ежели на грыжу думаете, контраст дайте перорально. 

простите, по-русски понимаете? я на Вашей мовi не умею к сожалению.

ЛГ аватар
Не на сайте
Был на сайте: 8 лет 11 месяцев назад
Зарегистрирован: 06.01.2010 - 12:31
Публикации: 3523

Снимок с разворотом, на инфильтрацию не очень похоже. А релаксация - да, еще бы, так кишечник раздут.

Приложения: 
relaksaciya_livogo_kupola_diafragmi1.jpgrelaksaciya_livogo_kupola_diafragmi2.jpg
Катенёв Валентин Львович аватар
Не на сайте
Был на сайте: 7 лет 3 недели назад
Зарегистрирован: 22.03.2008 - 22:15
Публикации: 54876

Да, правый боковой тоже необходим. А что по поводу левой верхушки?

Петрович аватар
Не на сайте
Был на сайте: 7 лет 2 месяцев назад
Зарегистрирован: 22.03.2009 - 01:13
Публикации: 3908

Такі моторошні малюнки волію не коментувати, та краще і не дивитися, особливо на ніч).

Неоднозначно всё

Nela аватар
Не на сайте
Был на сайте: 6 лет 1 месяц назад
Зарегистрирован: 12.05.2009 - 20:43
Публикации: 1847

Украинско-русского словаря-то нет у меня!

Хорошо, что у меня муж хохол.  Повезло мне с ним (во всех возможных смыслах).

Almo аватар
Не на сайте
Был на сайте: 15 часов 8 минут назад
Зарегистрирован: 28.09.2008 - 18:50
Публикации: 8267

При всём уважении к украинским врачам ( среди которых масса суперпрофессионалов), сайт русскоязычный и размещать на нём посты на другом языке несколько неуместно.

Петрович аватар
Не на сайте
Был на сайте: 7 лет 2 месяцев назад
Зарегистрирован: 22.03.2009 - 01:13
Публикации: 3908

Тексты с украинского и обратно Гугл-переводчик неплохо переводит. Но вот что делать с некондиционными картинками я не знаю.

Неоднозначно всё

федя аватар
Не на сайте
Был на сайте: 11 лет 7 месяцев назад
Зарегистрирован: 25.06.2011 - 20:28
Публикации: 260

синдром хилаидити но слева

федя аватар
Не на сайте
Был на сайте: 11 лет 7 месяцев назад
Зарегистрирован: 25.06.2011 - 20:28
Публикации: 260

что касается верхушки снимок то не идеальный ,если жалобы есть сделать линейную томограмму . атак сближенность елементов легочного рисунка ,что в прочем и имеет место справа  еще в большей степени чем на верхшке слева .скорее всего это от давления .нижняя граница левой половины диафрагмы на уровне 8 ребра