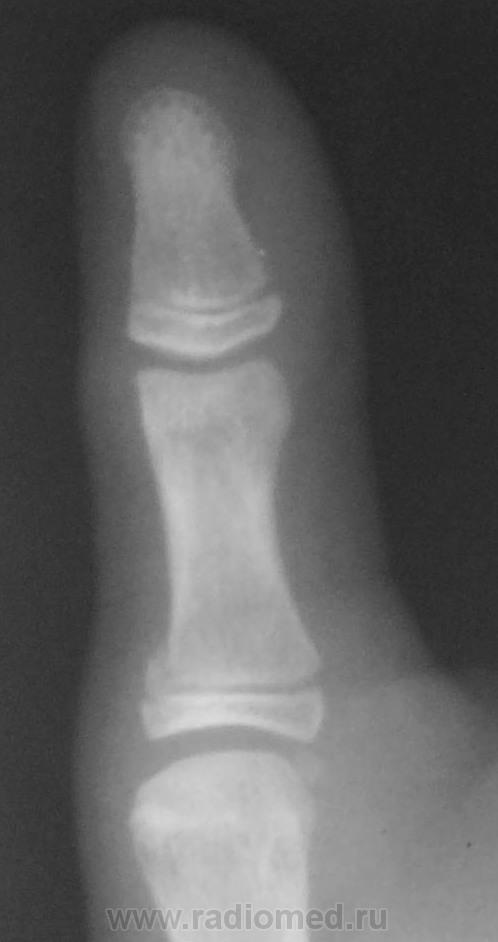
Рентгенография 1-го пальца. Девочка 11 лет.Травма.

Пол пациента: 
Тип патологии: 
Область исследования: 
Методы исследования: 

 

  • https://radiomed.ru/sites/default/files/styles/case_slider_image/public/user/12/1._OSTEOEP.jpg?itok=nwguBVwL
  • https://radiomed.ru/sites/default/files/styles/case_slider_image/public/user/12/2.OSTEOEP.jpg?itok=zVNWXFI8
  • https://radiomed.ru/sites/default/files/styles/case_slider_image/public/user/12/3.OSTEOEP.jpg?itok=KcMZfoSM
ID:853
Ola-la аватар
Не на сайте
Был на сайте: 10 месяцев 2 недели назад
Зарегистрирован: 06.12.2008 - 09:33
Публикации: 1786

Остеоэпифизеолиз о/ф первого пальца.

Vikkur аватар
Не на сайте
Был на сайте: 4 года 8 месяцев назад
Зарегистрирован: 24.09.2009 - 14:34
Публикации: 1749

А что смущает? вроде обычный остеоэпифезиолиз проксимального эпифиза дистальной фаланги 1пальца   кисти.

Виктор.