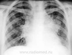
Пол пациента: Женский пол Тип патологии: Воспалительное заболевание неинфекционной природы Область исследования: Грудная клетка и верхние дыхательные пути Методы исследования: Rg Болеет около 3-х недель. Жалобы на одышку , сердцебиение. 10 дней принимала антибиотики. Возможно это сердечная патология? Бокового снимка нет. https://radiomed.ru/sites/default/files/styles/case_slider_image/public/user/12/1.Bod_..jpg?itok=E-KH1jBz https://radiomed.ru/sites/default/files/styles/case_slider_image/public/user/12/2.Bod_.jpg?itok=rzvtyFWz https://radiomed.ru/sites/default/files/styles/case_slider_image/public/user/12/3.Bod_..jpg?itok=2JC7feyE ID:1839 Втр, 16/03/2010 - 16:36 #1 tatyana Не на сайте Был на сайте: 4 года 1 месяц назад Зарегистрирован: 24.06.2009 - 08:33 Публикации: 2090 bogdan wrote: Возможно это сердечная патология? Вряд ли, скорее опухолевая "самоуверенность дилетантов - предмет зависти профессионалов" Втр, 16/03/2010 - 18:29 #2 ElenaG Не на сайте Был на сайте: 15 лет 7 месяцев назад Зарегистрирован: 23.02.2010 - 23:21 Публикации: 69 Хотелось бы узнать возраст пациентки.ятоже за онкологию,Хотя и правый корень кажется расширен.Не окажется ли это лимфоузлами? Втр, 16/03/2010 - 18:30 #3 Лукаш Не на сайте Был на сайте: 10 лет 3 месяцев назад Зарегистрирован: 05.03.2010 - 13:28 Публикации: 47 А может быть и саркоидоз или ЛГМ (возраст какой?). Есть признаки сдавления верхней полой вены? Ой, больной, что-то мне ваш снимок не нравится. Но ничего - щас мы в Фотошопе все подправим. Втр, 16/03/2010 - 20:19 #4 bogdan Не на сайте Был на сайте: 7 лет 1 месяц назад Зарегистрирован: 07.01.2010 - 16:14 Публикации: 45 Девушке 23 года Втр, 16/03/2010 - 21:04 #5 Петрович Не на сайте Был на сайте: 7 лет 2 месяцев назад Зарегистрирован: 22.03.2009 - 01:13 Публикации: 3908 А почему не сделана хотя бы левая боковая проекция? Болеет давно, клиника серьёзная. Пора уже и томограммы делать. Вон как средостение расширено. Неоднозначно всё Втр, 16/03/2010 - 23:53 #6 Лукаш Не на сайте Был на сайте: 10 лет 3 месяцев назад Зарегистрирован: 05.03.2010 - 13:28 Публикации: 47 Возраст молодой - надо исключать лимфогранулематоз: поискать периферические лимфоузлы, при нахождении - пропунктировать. Еще УЗИ ОБП - на предмет парааортальных л/у. Ой, больной, что-то мне ваш снимок не нравится. Но ничего - щас мы в Фотошопе все подправим.
"самоуверенность дилетантов - предмет зависти профессионалов"
Хотелось бы узнать возраст пациентки.ятоже за онкологию,Хотя и правый корень кажется расширен.Не окажется ли это лимфоузлами?
А может быть и саркоидоз или ЛГМ (возраст какой?).
Есть признаки сдавления верхней полой вены?
Ой, больной, что-то мне ваш снимок не нравится. Но ничего - щас мы в Фотошопе все подправим.
Девушке 23 года
А почему не сделана хотя бы левая боковая проекция? Болеет давно, клиника серьёзная. Пора уже и томограммы делать. Вон как средостение расширено.
Неоднозначно всё
Возраст молодой - надо исключать лимфогранулематоз: поискать периферические лимфоузлы, при нахождении - пропунктировать.
Еще УЗИ ОБП - на предмет парааортальных л/у.
Ой, больной, что-то мне ваш снимок не нравится. Но ничего - щас мы в Фотошопе все подправим.