Рентгенограммы (и КТ) коленного сустава

Пол пациента: 
Область исследования: 
Методы исследования: 

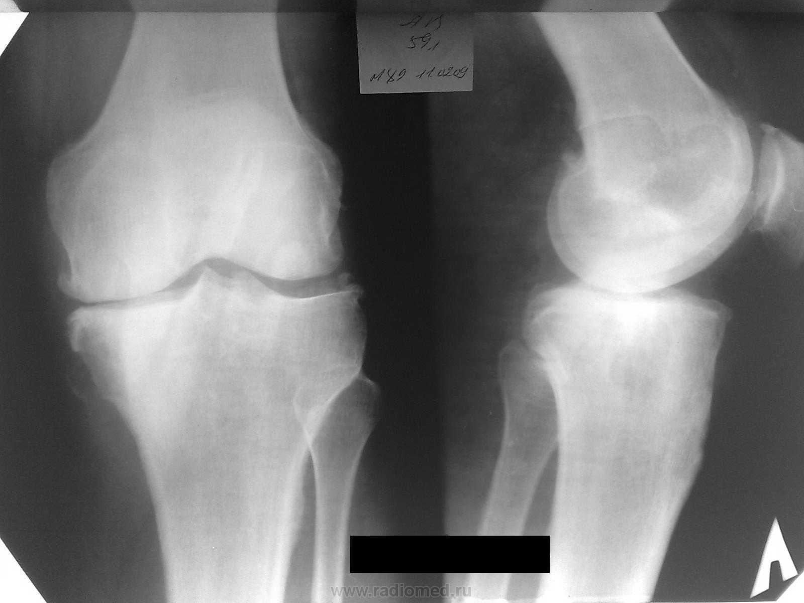
Пациентка жалуется на боль в обл. внутр. мыщелка б.берц кости. Снимки мерзкого качества, но это все, что есть, временной интервал - около года (9 - 10 гг). Прилагаю КТ на пленке. Наша версия - периостальная липома (ангиолипома, миксома).  Публикую не только как интересный случай, но и для консультации. Аналогичное сообщение размещено на радиографии.

 

  • https://radiomed.ru/sites/default/files/styles/case_slider_image/public/user/170/kol9Zf.jpg?itok=McaFkBRw
  • https://radiomed.ru/sites/default/files/styles/case_slider_image/public/user/170/kol9Zp.jpg?itok=ZrbdCt2g
  • https://radiomed.ru/sites/default/files/styles/case_slider_image/public/user/170/kol10Zf.jpg?itok=VOXD4b-U
  • https://radiomed.ru/sites/default/files/styles/case_slider_image/public/user/170/kolZf1.jpg?itok=U54dUU_t
  • https://radiomed.ru/sites/default/files/styles/case_slider_image/public/user/170/koltomo.jpg?itok=cOq8OHc8
ID:1123