Ретропневмоперитонеум после ПСТ.

Пол пациента: 
Область исследования: 
Методы исследования: 

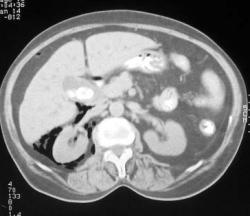
Пациентка 70 лет с механической желтухой. Эндоскописты выполнили папиллосфинктеротомию с последующей РХПГ (фатеров сосок был конусовидной формы, никак не получалось заканюлировать, его и рассекли). Немного повредили стенку 12п. кишки, в дефект попал воздух. Всё обошлось без операции, провели курс а/б терапии, воздух рассосался, дефект закрылся. Топограмма напоминает виденные когда-то в учебниках снимки с диагностическим ретропневмоперитонеумом (только воздуха маловато). Сканы в нестандартном окне, чтобы видеть воздух на фоне жировой клетчатки. Воздух скопился преимущественно вокруг правой почки.

Изображение Изображение Изображение Изображение Изображение Изображение Изображение Изображение Изображение Изображение Изображение Изображение Изображение

Alex аватар
Не на сайте
Был на сайте: 3 года 6 месяцев назад
Зарегистрирован: 19.06.2009 - 16:43
Публикации: 174

Пациентка 67лет, эндоскописты выполнили ретроградную панкреато-холангиографию (РХПГ). Разрыв нижней трети пищевода. Пневмоперитонеум+ретропневмоперитонеум+пневмомедиастинум+двусторонний пневмоторакс+ межмышечная и подкожная эмфизема. Пищевод ушили, всё обошлось..., а картинки такие уже не забыть.

Изображение Изображение Изображение Изображение Изображение Изображение Изображение Изображение Изображение Изображение Изображение Изображение Изображение Изображение Изображение Изображение