Сразу несколько вопросов: характер болей, когда появились, не увеличивалась ли в последнее время физическая нагрузка, какой обувью пользуется. Я больше грешу на лозеровскую зону и возможный, в дальнейшем, перелом напряжения. Обратите внимание на муфтооборазное утолщение в средних/3 диафизов 2-3 плюсневых костей. Имхо, снизить нагрузки, рентгенконтроль через месяц. Полукружный дефект головки, скорее всего как вариант строения.
Борис Юрьевич: "Обратите внимание на муфтооборазное утолщение в средних/3 диафизов 2-3 плюсневых костей."
Согласен полностью о теневой картине, но предположил бы формирование поперечного плоскостопия . Как вариант развития рассматриваю "некоторое удлинение" 3 плюсневой кости и вариант развития головки 3 плюсневой кости.
Девушке рекоммендовали выполнение МРТ. Меня очень смущает маленький костный фрагмент в центре полу-лунного "дефекта" головки плюсневой кости, дефект пока ещё в кавычках.
Девушка 20 лет обратилась в травмпункт на периодические боли в левом гсс. факта травмы не было. О чем можно думать? -остеохондропатия, - остеомиелит, - tbc, что-то еще?
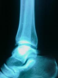
В перечне остеохондропатий есть остеохондропатия блока таранной кости ( Вейса (Вайса) (Weiss) - Мюллера (Muller) болезнь ), относится к частичным клиновидным остеохондропатиям (по типу болезни Кенига).
Болезнь Мюллера Вейса это немного другое, поражается ладьевидная кость. Смотрите статью в вложениях. В данном случае я думаю о аваскулярном некрозе, рекоммендовал бы МРТ.
Müller-Weiss disease is a rare condition that is characterized by an odd deformation of the tarsal navicular, which may appears queezed and eventually fragmented between the talar head and the lateral cuneiforms. Because the head of the talus protrudes laterally, the subtalar joint remains in an inverted position. The plantar arch may correspond to that of a normal, cavus, or flat foot.The disease is not the consequence of a osteonecrotic process but results from impaired development of the bone, in most instances because of stressing environmental factors during childhood.Isolated cases that are due to individual predisposing factors are rare, although most of the patients can be grouped together as late collateral damage of war or poverty.
Аваскулярный некроз и остеохондропатия (асептический некроз) - это почти одно и тоже по большому счёту. Кроме того, в данном наблюдении, мы имеем так называемый "законченный случай" и признаки уже развивающегося деформирующего артроза. В данном случаее целесообразнее начинать лечение, ибо артроз, безусловно будет прогрессировать.
Я и имела ввиду асептический некроз. Возможно, в литературе напутано с названиями этой патологии. Еще встречала и такие названия - болезнь Диаза (Diaz), болезнь Диаза-Вейса-Мюллера, асептический некроз таранной кости, рассекающий остеохондроз тела таранной кости, остеохондрит таранной кости.
Названий много , а суть одна. Названия по авторам, по всей видимости - это неверно, хотя в какой-то степени отражают историческое первенство описания (или плагиата) того или иного заболевания.
Я бы не постеснялся трактовать данные случаи как остеохондропатии, по типу б-ни Кенига.
http://dic.academic.ru/dic.nsf/enc_medicine/13208/%D0%9A%D1%91%D0%BD%D0%B8%D0%B3%D0%B0 Наиболее часто патологический процесс локализуется в латеральном отделе внутреннего мыщелка бедренной кости, что впервые описано Кенигом в 1888 г. и названо его именем. Значительно реже поражаются локтевой, лучезапястный, голеностопный, тазобедренный суставы, в единичных случаях — суставная поверхность большеберцовой кости и надколенника. Чаще заболевание возникает в возрасте 15—35 лет, однако отмечены случаи болезни Кенига у лиц старше 60 лет, что говорит о возможности длительного течения заболевания.
Сразу несколько вопросов: характер болей, когда появились, не увеличивалась ли в последнее время физическая нагрузка, какой обувью пользуется. Я больше грешу на лозеровскую зону и возможный, в дальнейшем, перелом напряжения. Обратите внимание на муфтооборазное утолщение в средних/3 диафизов 2-3 плюсневых костей. Имхо, снизить нагрузки, рентгенконтроль через месяц. Полукружный дефект головки, скорее всего как вариант строения.
Зри в корень!
Краевой дефект в головке 3 плюсневой кости с умеренно склерозированным контуром, с наличием секвестра? Можно предположить хр. остеомиелит.
https://www.instagram.com/pediatricradiology/
Борис Юрьевич: "Обратите внимание на муфтооборазное утолщение в средних/3 диафизов 2-3 плюсневых костей."
Согласен полностью о теневой картине, но предположил бы формирование поперечного плоскостопия . Как вариант развития рассматриваю "некоторое удлинение" 3 плюсневой кости и вариант развития головки 3 плюсневой кости.
Хронический остеомиелит (да еще с секвестром) должен иметь клинику хронического остеомиелита, а у д=ра Марио об этом не сказано.
Андрей Юрьевич
Попробуем картинку завтра подправить.
Девушке рекоммендовали выполнение МРТ. Меня очень смущает маленький костный фрагмент в центре полу-лунного "дефекта" головки плюсневой кости, дефект пока ещё в кавычках.
Let me see...
radiographia.ru
А почему это не остеохондропатия?
Зри в корень!
Мне кажется потому, что такие остеохондропатии не описаны
Андрей Юрьевич
а описана ли такая остеохондропатия?
А есть-ли боковой снимок?
добавил
Случай конечно редчайший, прямо "эксклюзив". Я лично такого не встречал. Возможно коллеги, что-то скажут.
Девушка 20 лет обратилась в травмпункт на периодические боли в левом гсс. факта травмы не было. О чем можно думать? -остеохондропатия, - остеомиелит, - tbc, что-то еще?
В перечне остеохондропатий есть остеохондропатия блока таранной кости ( Вейса (Вайса) (Weiss) - Мюллера (Muller) болезнь ), относится к частичным клиновидным остеохондропатиям (по типу болезни Кенига).
https://www.instagram.com/pediatricradiology/
Весьма похоже уважаемая коллега, и очень кажется убедительным, именно в сравнении с болезнью Кенига.
Болезнь Мюллера Вейса это немного другое, поражается ладьевидная кость. Смотрите статью в вложениях.
В данном случае я думаю о аваскулярном некрозе, рекоммендовал бы МРТ.
Müller-Weiss disease is a rare condition that is characterized by an odd deformation of the tarsal navicular, which may appears queezed and eventually fragmented between the talar head and the lateral cuneiforms. Because the head of the talus protrudes laterally, the subtalar joint remains in an inverted position. The plantar arch may correspond to that of a normal, cavus, or flat foot.The disease is not the consequence of a osteonecrotic process but results from impaired development of the bone, in most instances because of stressing environmental factors during childhood.Isolated cases that are due to individual predisposing factors are rare, although most of the patients can be grouped together as late collateral damage of war or poverty.
Let me see...
radiographia.ru
Аваскулярный некроз и остеохондропатия (асептический некроз) - это почти одно и тоже по большому счёту. Кроме того, в данном наблюдении, мы имеем так называемый "законченный случай" и признаки уже развивающегося деформирующего артроза. В данном случаее целесообразнее начинать лечение, ибо артроз, безусловно будет прогрессировать.
Файл не прикрепился, вот ссылки:
http://www.medcyclopaedia.com/library/topics/volume_iii_1/m/mueller_weiss_syndrome/gmueller_weiss_syndrome_fig01b.aspx
Let me see...
radiographia.ru
Я и имела ввиду асептический некроз. Возможно, в литературе напутано с названиями этой патологии. Еще встречала и такие названия - болезнь Диаза (Diaz), болезнь Диаза-Вейса-Мюллера, асептический некроз таранной кости, рассекающий остеохондроз тела таранной кости, остеохондрит таранной кости.
https://www.instagram.com/pediatricradiology/
Названий много , а суть одна. Названия по авторам, по всей видимости - это неверно, хотя в какой-то степени отражают историческое первенство описания (или плагиата) того или иного заболевания.
Я бы не постеснялся трактовать данные случаи как остеохондропатии, по типу б-ни Кенига.
http://dic.academic.ru/dic.nsf/enc_medicine/13208/%D0%9A%D1%91%D0%BD%D0%B8%D0%B3%D0%B0
Наиболее часто патологический процесс локализуется в латеральном отделе внутреннего мыщелка бедренной кости, что впервые описано Кенигом в 1888 г. и названо его именем. Значительно реже поражаются локтевой, лучезапястный, голеностопный, тазобедренный суставы, в единичных случаях — суставная поверхность большеберцовой кости и надколенника. Чаще заболевание возникает в возрасте 15—35 лет, однако отмечены случаи болезни Кенига у лиц старше 60 лет, что говорит о возможности длительного течения заболевания.
А здесь история одного пациента http://forums.rusmedserv.com/showthread.php?t=12554
Зри в корень!
Спасибо за развернутый ответ!
у, доченьки,10 лет, обнаружили эту беду, ПОМОГИТЕ СОВЕТАМИ!!!!!!!!!!!!!!!!!!!!!!!!!!!
Чем же мы Вам поможем, мы же диагносты, а за помощью, это к травматологам-ортопедам.
https://www.instagram.com/pediatricradiology/