РКТ брюшной полости

Пол пациента: 
Область исследования: 
Методы исследования: 

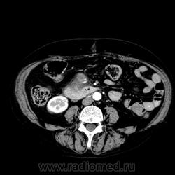
Уважаемые коллеги!Сразу предупреждаю-верификации диагноза не будет, так как пациентка из Средней Азии и после исследования собиралась уехать домой.Обратилась она на УЗИ с жалобами на боли в животе,врач УЗИ предположил наличие опухоли головки подж. ж-зы и рекомендовал РКТ..Были проведено нативное исследование и  РКТ с в/в болюсным усилением (100 мл омнипака300 со ск. 3 мл./сек) на 25 и 95 секундах после введения контрастного вещества.В головке подж. ж-зы определяется образование округлой формы 57 мм в диаметре.В его передних отделах-гиподенсное содержимое плотностью +40+42 едН,в задних отделах-содержимое плотностью +60+66 едН. На 25 секунде в передних отделах определяется интенсивно накопившее контрастное вещество образование округлой формы размерами 22х24 мм,плотностью +190 едН(плотность брюшной аорты при этом +260+270 едН),содержимое в задних отделах не накопило контрастное вещество.На 95 секунде от введения плотность гиперваскулярного образования +127 едН(аорты+115 едН).Кроме того, визуализируется капсула,окружающая указанные структуры.Холедох не расширен.Вирсунгов проток в области головки и тела расширен до 5-6 мм,в хвосте-до 3-4 мм.

Связи гиперваскулярного образования с сосудами не выявлено.Собрав конвульсиум из 4-х врачей мы предположили,что у пациентки может быть псевдокиста головки поджелудочной железы со сгустком крови в задних отделах и гиперваскулярной опухолью (возможно инсулиномой) в передних отделах.

Есть ли у кого-нибудь более правдоподобное объяснение?

  • https://radiomed.ru/sites/default/files/styles/case_slider_image/public/user/9114/usil_25_sek02.jpg?itok=_J0VZUSA
  • https://radiomed.ru/sites/default/files/styles/case_slider_image/public/user/9114/usil_25_sek03.jpg?itok=mm2PQMwc
  • https://radiomed.ru/sites/default/files/styles/case_slider_image/public/user/9114/usil_25_sek04.jpg?itok=VkkDgLXD
  • https://radiomed.ru/sites/default/files/styles/case_slider_image/public/user/9114/usil_25_sek05.jpg?itok=3HuSUyHT
  • https://radiomed.ru/sites/default/files/styles/case_slider_image/public/user/9114/usil_25_sek06.jpg?itok=Jdl0BXwH
  • https://radiomed.ru/sites/default/files/styles/case_slider_image/public/user/9114/usil_25_sek07.jpg?itok=jaqentOZ
  • https://radiomed.ru/sites/default/files/styles/case_slider_image/public/user/9114/usil_25_sek08.jpg?itok=4zBMrKea
  • https://radiomed.ru/sites/default/files/styles/case_slider_image/public/user/9114/usil_25_sek09.jpg?itok=941Hh4H2
  • https://radiomed.ru/sites/default/files/styles/case_slider_image/public/user/9114/usil_25_sek10.jpg?itok=-KDokYYV
  • https://radiomed.ru/sites/default/files/styles/case_slider_image/public/user/9114/usil_25_sek11.jpg?itok=RdiIkPW4
  • https://radiomed.ru/sites/default/files/styles/case_slider_image/public/user/9114/usil_25_sek12.jpg?itok=jZD_Vtss
  • https://radiomed.ru/sites/default/files/styles/case_slider_image/public/user/9114/usil_25_sek13.jpg?itok=TMg2pE5o
  • https://radiomed.ru/sites/default/files/styles/case_slider_image/public/user/9114/usil_25_sek14.jpg?itok=rqf-jAQ5
  • https://radiomed.ru/sites/default/files/styles/case_slider_image/public/user/9114/usil_25_sek15.jpg?itok=ipgYlToC
  • https://radiomed.ru/sites/default/files/styles/case_slider_image/public/user/9114/usil_25_sek16.jpg?itok=GKAUMNHJ
  • https://radiomed.ru/sites/default/files/styles/case_slider_image/public/user/9114/usil_25_sek17.jpg?itok=_CtzMeKX
  • https://radiomed.ru/sites/default/files/styles/case_slider_image/public/user/9114/usil_25_sek18.jpg?itok=w93yqbin
  • https://radiomed.ru/sites/default/files/styles/case_slider_image/public/user/9114/usil_25_sek19.jpg?itok=RTL7bGt8
  • https://radiomed.ru/sites/default/files/styles/case_slider_image/public/user/9114/usil_25_sek20.jpg?itok=GZo7GusA
  • https://radiomed.ru/sites/default/files/styles/case_slider_image/public/user/9114/usil_25_sek21.jpg?itok=LUuPWxyU
  • https://radiomed.ru/sites/default/files/styles/case_slider_image/public/user/9114/3-dmip01.jpg?itok=oZiRaLSG
  • https://radiomed.ru/sites/default/files/styles/case_slider_image/public/user/9114/3-dmip02.jpg?itok=_naO6-ir
  • https://radiomed.ru/sites/default/files/styles/case_slider_image/public/user/9114/3-dmip03.jpg?itok=X-6OKyGh
  • https://radiomed.ru/sites/default/files/styles/case_slider_image/public/user/9114/3-dmip04.jpg?itok=1Da5eBSj
  • https://radiomed.ru/sites/default/files/styles/case_slider_image/public/user/9114/3-dmip05.jpg?itok=a0uFBTHE
  • https://radiomed.ru/sites/default/files/styles/case_slider_image/public/user/9114/usil_25_sek-rekonstr03.jpg?itok=dkBOmYlb
  • https://radiomed.ru/sites/default/files/styles/case_slider_image/public/user/9114/usil_25_sek-rekonstr04.jpg?itok=7a3_BuXb
  • https://radiomed.ru/sites/default/files/styles/case_slider_image/public/user/9114/usil_25_sek-rekonstr05.jpg?itok=vSAljxvA
  • https://radiomed.ru/sites/default/files/styles/case_slider_image/public/user/9114/usil_25_sek-rekonstr06.jpg?itok=ky_SxNCd
  • https://radiomed.ru/sites/default/files/styles/case_slider_image/public/user/9114/usil_25_sek-rekonstr07.jpg?itok=niTSU_CU
  • https://radiomed.ru/sites/default/files/styles/case_slider_image/public/user/9114/usil_25_sek-rekonstr08.jpg?itok=9U5_2Nvb
  • https://radiomed.ru/sites/default/files/styles/case_slider_image/public/user/9114/usil_25_sek-rekonstr09.jpg?itok=FMjDpxj8
  • https://radiomed.ru/sites/default/files/styles/case_slider_image/public/user/9114/usil_25_sek-rekonstr11.jpg?itok=HWgunx2v
  • https://radiomed.ru/sites/default/files/styles/case_slider_image/public/user/9114/usil_25_sek-rekonstr12.jpg?itok=WSce3Qm-
  • https://radiomed.ru/sites/default/files/styles/case_slider_image/public/user/9114/usil_95_sek07.jpg?itok=lUDVyFDZ
  • https://radiomed.ru/sites/default/files/styles/case_slider_image/public/user/9114/usil_95_sek08.jpg?itok=WB8BfBy0
  • https://radiomed.ru/sites/default/files/styles/case_slider_image/public/user/9114/usil_95_sek09.jpg?itok=Oh38zUNx
  • https://radiomed.ru/sites/default/files/styles/case_slider_image/public/user/9114/usil_95_sek10.jpg?itok=3n0EWu0T
  • https://radiomed.ru/sites/default/files/styles/case_slider_image/public/user/9114/usil_95_sek11.jpg?itok=JPm3mHlT
  • https://radiomed.ru/sites/default/files/styles/case_slider_image/public/user/9114/usil_95_sek12.jpg?itok=tqupGYjI
  • https://radiomed.ru/sites/default/files/styles/case_slider_image/public/user/9114/usil_95_sek13.jpg?itok=8x-kQe2V
  • https://radiomed.ru/sites/default/files/styles/case_slider_image/public/user/9114/usil_95_sek14.jpg?itok=X3Y1k0ll
  • https://radiomed.ru/sites/default/files/styles/case_slider_image/public/user/9114/usil_95_sek15.jpg?itok=NrgrGyOY
  • https://radiomed.ru/sites/default/files/styles/case_slider_image/public/user/9114/usil_95_sek16.jpg?itok=hDwzRR7q
  • https://radiomed.ru/sites/default/files/styles/case_slider_image/public/user/9114/usil_95_sek17.jpg?itok=Xk8fZElE
ID:13181
Любовь С. аватар
Не на сайте
Был на сайте: 9 лет 11 месяцев назад
Зарегистрирован: 23.12.2010 - 01:58
Публикации: 2324

Другой вариант. Могу ошибаться: цистаденокарцинома. Солидная часть копит контраст. Если мысленно убрать кровоизлияние, то почему нет?  

Нет, что-то не так. Вы написали, что мягкотканная более крупная часть контраст не копит... Хотя "на глаз" в этой части плотность, как у капсулы...

Я не буду против конвульсиумаlaugh выступать, просто не пойму, где инсулинома, о которой нет ничего в описательной картине, не могли бы Вы стрелочкой указать? Четко очерченный геморрагический участок может быть псевдоаневризмой. А если бы мягкотканная более массивная часть имела мелкие артериальные и венозные веточки, то картина была бы сходна и нейроэндокринной кистозной опухолью.

И, кажется, есть сброс в верхнебрыжеечную вену в артериальную фазу... Очень интересная штука тут, спасибо за случай!

"Предоставляя весь смысл и совершенство в распоряжение одного только Бога, вы избавляете себя от бездны хлопот." Джон Уитборн.

Сергей Нагорный аватар
Не на сайте
Был на сайте: 10 лет 2 месяцев назад
Зарегистрирован: 13.07.2010 - 22:49
Публикации: 1370

Некое подобие частично тромбированной псевдоаневризмы. Естественно, сама по себе она не появляется. Внимательно смотреть связь с сосудами, они не обязательно должны быть крупными. И какой анамнез, о.панкреатит был? На инсулиному и цистаденокарциному не похоже IMHO. Покрутить бы серию. Автор, про гиперваскулярную массу, что указана стрелками - это однозначно не опухоль, это псевдоаневризма.

С уважением, С.Н. Нагорный

gar70 аватар
Не на сайте
Был на сайте: 10 лет 1 месяц назад
Зарегистрирован: 16.02.2011 - 21:49
Публикации: 43

Спасибо,коллеги,похоже это псевдоаневризма в стенке постнекротической кисты.Прилагаю ссылку -http://meduniver.com/Medical/Xirurgia/342.html.

Сергей Нагорный аватар
Не на сайте
Был на сайте: 10 лет 2 месяцев назад
Зарегистрирован: 13.07.2010 - 22:49
Публикации: 1370

gar70 wrote:

Спасибо,коллеги,похоже это псевдоаневризма в стенке постнекротической кисты.Прилагаю ссылку -http://meduniver.com/Medical/Xirurgia/342.html.

Об этом и речь. Я полностью согласен, поэтому и спросил про анамнез (о.панкреатит).

С уважением, С.Н. Нагорный

Любовь С. аватар
Не на сайте
Был на сайте: 9 лет 11 месяцев назад
Зарегистрирован: 23.12.2010 - 01:58
Публикации: 2324

     А как думаете, коллеги, на "дне" этого кистовидного образования массы мягкотканной плотности, не копящие контраст - чем это может быть? Мне кажется, что простая псевдокиста не должна содержать подобных включений (допустим, старое кровоизлияние, при лизисе старого кровоизлияния плотность будет близкой к низкоплотной жидкости, - тогда тут иной материал, может, и грануляции). 

Было 2 варианта альтернативной версии:

1.перерождения муцинозной цистаденомы в карциному (локализация не в хвосте, но тоже бывает);

2. мысль была об истинной кисте, врожденной, а может и эпидермоидной, в таких кистах не редкость малигнезация, учитывая размер.        В-общем, так...мысли вслух. Так жалко, что дальнейшие данные будут недоступны!

Зато представила написанное "псевдоаневризма в псевдокисте головки поджелудочной железы"laugh...

"Предоставляя весь смысл и совершенство в распоряжение одного только Бога, вы избавляете себя от бездны хлопот." Джон Уитборн.

Сергей Нагорный аватар
Не на сайте
Был на сайте: 10 лет 2 месяцев назад
Зарегистрирован: 13.07.2010 - 22:49
Публикации: 1370

Любовь С. wrote:

     А как думаете, коллеги, на "дне" этого кистовидного образования массы мягкотканной плотности, не копящие контраст - чем это может быть? Мне кажется, что простая псевдокиста не должна содержать подобных включений (допустим, старое кровоизлияние, при лизисе старого кровоизлияния плотность будет близкой к низкоплотной жидкости, - тогда тут иной материал, может, и грануляции). 

Было 2 варианта альтернативной версии:

1.перерождения муцинозной цистаденомы в карциному (локализация не в хвосте, но тоже бывает);

2. мысль была об истинной кисте, врожденной, а может и эпидермоидной, в таких кистах не редкость малигнезация, учитывая размер.        В-общем, так...мысли вслух. Так жалко, что дальнейшие данные будут недоступны!

Зато представила написанное "псевдоаневризма в псевдокисте головки поджелудочной железы"laugh...

 

Кровь же не моментально лизируется, проходит стадии, которые по-разному видятся на КТ. Тут до полного лизиса не дошло, выглядит как подострое кровоизлияние. По плотности тоже на мягкотканный компонент опухоли и грануляции не тянет, чисто кровь, такое мое мнение. Далее, где-то через недели полторы-две она будет выглядет как жидкость, если не подкровит. Про все остальное - чисто домыслы, об этом можно думать и рассуждать, но писать эти догадки смысла особого нет...

С уважением, С.Н. Нагорный

Nela аватар
Не на сайте
Был на сайте: 6 лет 6 месяцев назад
Зарегистрирован: 12.05.2009 - 20:43
Публикации: 1847

Согласна с Сергеем Николаевичем, картина пседокисты с тромбами разного возраста. Вероятно подкравливает.