Пол пациента: Женский пол Тип патологии: Воспалительное заболевание неинфекционной природы Область исследования: Челюстно-лицевая область и шея Методы исследования: Rg Пациент направлен на рентгенографию ППН терапевтом. https://radiomed.ru/sites/default/files/styles/case_slider_image/public/user/12/2.r.p9050005.jpg?itok=RRgpxXJ- https://radiomed.ru/sites/default/files/styles/case_slider_image/public/user/12/3.r.p9050006.jpg?itok=D_rB3g8J https://radiomed.ru/sites/default/files/styles/case_slider_image/public/user/12/4.r.p9050006a.jpg?itok=FzrTQkO1 ID:15260 Втр, 06/09/2011 - 17:05 #1 july Не на сайте Был на сайте: 13 лет 3 месяцев назад Зарегистрирован: 14.04.2010 - 14:47 Публикации: 17 Снижение пневматизазии в проекции ячеек решетчатой кости, горизонтальный уровень в левой в/челюстной пазухе до 2/3 объёма. Втр, 06/09/2011 - 20:28 #2 pronto Не на сайте Был на сайте: 1 год 2 месяцев назад Зарегистрирован: 22.02.2011 - 18:50 Публикации: 114 вы скос турбки делаете на сколько градусов? 10 или 15? Втр, 06/09/2011 - 20:33 #3 Катенёв Валенти... Не на сайте Был на сайте: 7 лет 1 месяц назад Зарегистрирован: 22.03.2008 - 22:15 Публикации: 54876 Я вообще скоса никакого не делаю, лаборантам моим доверяю полностью. Ср, 07/09/2011 - 13:14 #4 гаур моника Не на сайте Был на сайте: 14 лет 4 месяцев назад Зарегистрирован: 07.07.2011 - 12:17 Публикации: 27 пневматизация левой верхне челюстной пазухи снижена за счет пристеночного отека слизистой и выпота... Ср, 07/09/2011 - 13:15 #5 гаур моника Не на сайте Был на сайте: 14 лет 4 месяцев назад Зарегистрирован: 07.07.2011 - 12:17 Публикации: 27 остальные пазухи воздушные... Ср, 07/09/2011 - 19:44 #6 nadezhdas Не на сайте Был на сайте: 2 года 10 месяцев назад Зарегистрирован: 05.08.2009 - 19:27 Публикации: 14 Если капают сопли- это может быть спонтанная назальная ликворрея. Ср, 07/09/2011 - 20:31 #7 Катенёв Валенти... Не на сайте Был на сайте: 7 лет 1 месяц назад Зарегистрирован: 22.03.2008 - 22:15 Публикации: 54876 nadezhdas wrote: Если капают сопли- это может быть спонтанная назальная ликворрея. Все может быть...
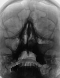
Снижение пневматизазии в проекции ячеек решетчатой кости, горизонтальный уровень в левой в/челюстной пазухе до 2/3 объёма.
вы скос турбки делаете на сколько градусов? 10 или 15?
Я вообще скоса никакого не делаю, лаборантам моим доверяю полностью.
пневматизация левой верхне челюстной пазухи снижена за счет пристеночного отека слизистой и выпота...
остальные пазухи воздушные...
Если капают сопли- это может быть спонтанная назальная ликворрея.
Все может быть...