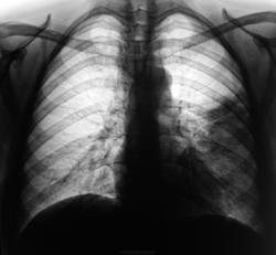
Откуда же 2-х сегментарная? Минимум S3,4,5, с рападом в S4 (полость покрупнее) и S3 (несколько мелких), частично дренированные. Явно выражен перициссурит с "сухим" плевритом.
Об уменьшении объема впечатления не складывается. А уровни - ну что же, густое содержимое. В ППН фибринозно-гнойный экссудат тоже не всегда четкий уровень дает, а тут еще и некротический детрит плавает. По клинике соориентироваться, может - казеозная? Тогда почему в разделе "рутина"?
Откуда же 2-х сегментарная? Минимум S3,4,5, с рападом в S4 (полость покрупнее) и S3 (несколько мелких), частично дренированные. Явно выражен перициссурит с "сухим" плевритом.
Откуда же 2-х сегментарная? Минимум S3,4,5, с рападом в S4 (полость покрупнее) и S3 (несколько мелких), частично дренированные. Явно выражен перициссурит с "сухим" плевритом.
- А про перисциссурит и мне интересно. Вроде бы как подвид пневмонии фигурирует. Или уже нет?..
2-сегментарная верхнедолевая абсцедирующая левостороннняя пневмония, контроль после лечения. Возраст, клиника, анализы))
https://www.youtube.com/channel/UCBGxoBUOqUT_bFhSeUgtWEw
Откуда же 2-х сегментарная? Минимум S3,4,5, с рападом в S4 (полость покрупнее) и S3 (несколько мелких), частично дренированные. Явно выражен перициссурит с "сухим" плевритом.
Verum plus uno esse non potest.
Сегментов 3, но вот "уровни" как бы не вполне горизонтальные...
Нижняя доля несколько уменьшена…, не находите?
Неоднозначно всё
О как я-то))... конечно, не 2-сегментарная! 2,5!
https://www.youtube.com/channel/UCBGxoBUOqUT_bFhSeUgtWEw
Об уменьшении объема впечатления не складывается. А уровни - ну что же, густое содержимое. В ППН фибринозно-гнойный экссудат тоже не всегда четкий уровень дает, а тут еще и некротический детрит плавает. По клинике соориентироваться, может - казеозная? Тогда почему в разделе "рутина"?
Verum plus uno esse non potest.
Выражен перисциссурит?
- уровни есть, потому что видны!))
- несколько... находим - деструкция всё-таки (минус объём!), да ещё и пропитывание альвеол экссудатом и пр....
--------------
"Просто, по видимости, не видеть логики в очевидных вещах - это тоже одно из свойств некоторых умов, наряду с грустными думами о свойствах ума других." © Vega 08/10/2011
- А про перисциссурит и мне интересно. Вроде бы как подвид пневмонии фигурирует. Или уже нет?..
--------------
"Просто, по видимости, не видеть логики в очевидных вещах - это тоже одно из свойств некоторых умов, наряду с грустными думами о свойствах ума других." © Vega 08/10/2011