Пол пациента:
Тип патологии:
Область исследования:
Методы исследования:
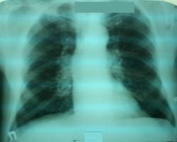
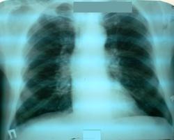
Мужичек, 71 год. Готовится к офтальмологической операции. Никаких жалоб и клиники, кроме плохого зрения. Приехал из глубинки. Говорит, что в больнице первый раз. Рентгенобследования никогда никакие не проходил. Доминантный вариант диагноза у коллег - саркоидоз. Первая мысль такая же. Но теперь под сомнениями. До фтизиатров пока не дошел. Ваши мнения, коллеги.
По снимкам ничего не скажу-гадание на кофейной гуще. Необходимы кт и морфологическая верификация.
Я про возраст. Староват какбэ для саркоидоза. Болезнь молодых восновном.
Наблюдаю около 30 пациентов, возраст средний около35 лет, в основном 25-45 лет. Самой старшей около 60.
Их 2 всего пожИлых (это не в смысле, что старые, а что пожившие и кое-чего в жизни повидавшие
). И выявлен
у них около 10 лет назад(т.е им было около 50).
Если даже допустить, что мужичек Ваш никогда не обследовался, допустим, болеет лет с 40-50, а саркоидоз в большинстве своем
имеет доброкачественное волнообразное течение... Но лимфоузлов уже быть не должно! Стадии никто не отменял. ИМХО.
Ну вот и меня, то что вы излагаете мучает. Возраст и клиника. На КТ отправил сразу. Будем ждать. А вы фтизиатр или работаете в противотуберкульозном заведении?
"Обучая других - учишься сам". Н.И.Пирогов
Пульмонолог. Не противотуберкулезного заведения.
Какие узлы? Где? Сосуды!
Сосуды тоже есть. Но чисто для сосудов замного)
"Обучая других - учишься сам". Н.И.Пирогов
Первый раз фоткается?) Зачем дядьку девственности лишили... Тогда писать расширение корней и ЛТ или КТ.
"Предоставляя весь смысл и совершенство в распоряжение одного только Бога, вы избавляете себя от бездны хлопот." Джон Уитборн.
Из черного юмора: "Будем лечить, или пусть сам помрет.."
Dat.Dicat.Dedicat.
Легочная гипертензия?
Самое страшное для рентгенолога заключение - "норма". Убеждаюсь по жизни - дешевле всяких
" барабашек" написать. И обосновать!
Обрубленность корней при перераспределении кровотока. С уважением, Д
Уважаемый коллега, фразы типа: " обрубленность", на практике каждый подбирает под себя. Те ребята, "на чьих плечах мы стоим " имели в виду отсутствие сосудистых теней дальше корня, в прикорневой и плащевой. В данном случае какие - то тени сосудов видны дальше корня.( скорее вены)
Уважаемый коллега! Я имел ввиду симптом "прыжка калибра", как проявление легочной артериальной гипертензии (стр.57 книги К.Б.Тихонова Рентгенологическая симптоматика сердечной недостаточности 1985 год). Возможно я не прав, поэтому поставил знак вопроса. Мужчине - 71 год, так что предположение о наличии признаков сердечной недостаточности вероятно.
С уважением, Д.
"о наличии признаков сердечной недостаточности вероятно."
Нет сомнений! Но легочная гипертензия - немножко не туда( может я к фразе придираюсь?)
По любому - с Вами приятно подраться.
Я захожу на сайт учиться, а не драться.
не знаю как кто назвает, но изменение калибра сосудов не границе корней есть. Поэтому, как мне кажется, надо исключить сердечную патологию.
А боковой нет?
К сожалению нет.
"Обучая других - учишься сам". Н.И.Пирогов
+1!!!
Анатолий Петрович
Синдром изменения корней легких включает любые отклонения от нормальной картины легких. Компьютерная томография с внутривенным контрастированием в настоящее время является ведущим методом диагностики патологических изменений корня легкого.
Анатолий Петрович