Валентин Львович, уйдет 1 ребро вверх, да и если доснимаешь спиной ,часто по-другому картинка воспринимается. У нас на флюорографе неоднократно были случаи подозрения на какие-либо небольшие очаговоподобные тени. Переснимали спиной или по-Флейшнеру (если тень под ребром или ключицей), убеждались, что это такой рисунок создают сосуды, или более четко визуализировался фиброз.
Валентин Львович, уйдет 1 ребро вверх, да и если доснимаешь спиной ,часто по-другому картинка воспринимается. У нас на флюорографе неоднократно были случаи подозрения на какие-либо небольшие очаговоподобные тени. Переснимали спиной или по-Флейшнеру (если тень под ребром или ключицей), убеждались, что это такой рисунок создают сосуды, или более четко визуализировался фиброз.
Следовательно, в данном случае, могут быть небольшие очаговые тени?
Думаю, что такой поворот исключить нельзя. Я вообще перестраховщица. И когда передний отрезок ребра+задний+ключица и под всем этим что-то привиделось... Я бы досняла и разрешила бы все сомнения. А в следующем году при прохождении ФЛЮшки к этому месту больше нге цуеплялась бы.
Думаю, что такой поворот исключить нельзя. Я вообще перестраховщица. И когда передний отрезок ребра+задний+ключица и под всем этим что-то привиделось... Я бы досняла и разрешила бы все сомнения. А в следующем году при прохождении ФЛЮшки к этому месту больше нге цуеплялась бы.
Дык, отложить до следующего года?
А, в заключении, что писать? Да, клиет с флюшки....
Так почему на обзорной не видно?! Заподозрили, досняли, результат есть, на то и томограмма, чтобы увидеть то, чего не видно или увидеть подробнее структуру. Ведь очаговые тени высокой интенсивности, т.е "плотные", процесс по-видимому старый! Или я ошибаюсь?
Да таких клиентов уйма, и наша ли задача установить 100% истину. Есть фтихзиатрич. служба, у них алгоритм действий и штампы отписок, что-бы прикрыть и свой зад, типа - активных...не обнаружено, или - остаточные явления..., или признаки самоизлеченного... А больше всего мне нравится, особенно при значительных непонятных изменениях - данных за ТВС нет.
Да таких клиентов уйма, и наша ли задача установить 100% истину. Есть фтихзиатрич. служба, у них алгоритм действий и штампы отписок, что-бы прикрыть и свой зад, типа - активных...не обнаружено, или - остаточные явления..., или признаки самоизлеченного... А больше всего мне нравится, особенно при значительных непонятных изменениях - данных за ТВС нет.
Правильно сказали, и этот случай имеет прямой отношение к данному "прибамбасу".
Фактически, эти три случая, часть эксперимента (все не представлено, да и не нужно), который был проведен фтизиатрами и рентгенологами с полным соблюдением стандарта.
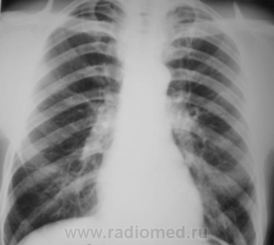
Дело в том, что весьма часто между рентгенологами и фтизиатрами возникают определенные разногласия в оценке той, или иной скиалогической картины. Как правило, фтизиатры работают по правилу – «от себя», или «это не наше», или «активности нет», или «понаблюдайте в динамике» (хотя по логике наблюдать должен – бы втизиатр, а не участковый терапевт и рентгенолог), об активности, конечно, судят по найденным или не найденным «палкам», что давно доказано самими фтизиатрами, что наличие или отсутствие «палки», тест весьма сомнительный. Конечно, «рост на средах» довольно убедительное доказательство, и, именно тогда, когда скурпулезно соблюден «регламент» посева на среды… Но рентгенологу, по большому счету – «оно надо»? Формально рентгенолог должен провести исследование с соблюдением «определенного стандарта», описать скиалогию и выдать выводы (заключение) с рекомендациями. Или без оных…
Довольно часто возникают случаи, которые наши коллеги фтизиатры, обозначивают, как «пропуски рентгенолога», особенно «такое» любят кураторы – фтизиатры из «вышестояших контор», когда надо найти виновного, а виновным чаще всего оказывается рентгенолог – «флюшечник», или проводивший дообследование. Вот тогда «прокурор-фтизиатр» начинает все лепить в кучу, в том числе, и отображения ортоградных проекций сосудов, и участки «утолщенной плевры», и облитерированный синус, да и уплотненная плевра в междолях «должна была насторожить» разнильдяя рентгенолога… Очень любят наши учители фтизиатры терминологии по типу – «насторошенность», как по поводу туберкулеза, так, и по поводу «онкологии». По всей видимости, это означает, что рентгенолог, при написании протокола должен «настороженно двигать ушами»И или настороженно принющиваться к описываемому изображению. Все валится в кучу, не может быть виноват «втизник», ну не было данных…, но вот вопрос – «данных за что»?
Очень часто на пленочной рентгенограмме, и это общеизвестно, мы, в основном, видим «плотненькое» и «обызвествленное». Не можем мы видеть на рентгенограмме «мягкое», а иногда и средней интенсивности, скрытое за костными компонентами грудной клетки. Сравнивая «пленочную рентгенограмму» с цифровой рентгенограммой фиксируется значительная разница теневой картины.
Вот, мы и провели эксперимент, а именно обзорная на пленке, а томограмма – на «цифре».
Какие мнения будут уважаемые коллеги? Не все можно объяснить «цифровым фотошопом» и отсутствием «экранной нерезкости» на цифровых снимках…
Лучше помучать, раз уж глаз зацепился Доснять по Флейшнеру, сдается, что это сосуды.
А, что даст Флейшнер?
Валентин Львович, уйдет 1 ребро вверх, да и если доснимаешь спиной ,часто по-другому картинка воспринимается. У нас на флюорографе неоднократно были случаи подозрения на какие-либо небольшие очаговоподобные тени. Переснимали спиной или по-Флейшнеру (если тень под ребром или ключицей), убеждались, что это такой рисунок создают сосуды, или более четко визуализировался фиброз.
Согласен с Вами, что в положении по Флейшнеру " картинка" изменится.
Следовательно, в данном случае, могут быть небольшие очаговые тени?
Думаю, что такой поворот исключить нельзя. Я вообще перестраховщица. И когда передний отрезок ребра+задний+ключица и под всем этим что-то привиделось... Я бы досняла и разрешила бы все сомнения. А в следующем году при прохождении ФЛЮшки к этому месту больше нге цуеплялась бы.
Прошу прощения за ошибки в тексте (тороплюсь набирать)
Дык, отложить до следующего года?
А, в заключении, что писать? Да, клиет с флюшки....
Как и чем будем добивать?
опять же - линейками?
Ну, давайте шарахнем линейкой...
Как линейка?
Есть дела....
Что делать?
зависит от того, что это, свежие, или старые дела... Я, повторюсь, в томках не разбираюсь, но сдается, что дела старые.
Ну, если они "старые-старючие", то как "томки" приклеить к обзорной рентгенограмме, на которой "ЭТО" фактически не видно....
Значит, свежее.... И пациенту предстоит долгий отдых в диспансерах.
Так почему на обзорной не видно?! Заподозрили, досняли, результат есть, на то и томограмма, чтобы увидеть то, чего не видно или увидеть подробнее структуру. Ведь очаговые тени высокой интенсивности, т.е "плотные", процесс по-видимому старый! Или я ошибаюсь?
Да таких клиентов уйма, и наша ли задача установить 100% истину. Есть фтихзиатрич. служба, у них алгоритм действий и штампы отписок, что-бы прикрыть и свой зад, типа - активных...не обнаружено, или - остаточные явления..., или признаки самоизлеченного... А больше всего мне нравится, особенно при значительных непонятных изменениях - данных за ТВС нет.
Правильно сказали, и этот случай имеет прямой отношение к данному "прибамбасу".
На сайте представлены три аналогических случая с необходимыми ссылками –
1. «Ширли-мырли» или «Отпустить или помучать…»
http://www.radiomed.ru/cases/shirli-myrli-ili-otpustit-ili-pomuchat
2. Какие мнения будут по рентгенограмме?
http://www.radiomed.ru/cases/kakie-mneniya-budut-po-rentgenogramme
3. Отпустить или ?
http://www.radiomed.ru/cases/otpustit-ili
Фактически, эти три случая, часть эксперимента (все не представлено, да и не нужно), который был проведен фтизиатрами и рентгенологами с полным соблюдением стандарта.
Дело в том, что весьма часто между рентгенологами и фтизиатрами возникают определенные разногласия в оценке той, или иной скиалогической картины. Как правило, фтизиатры работают по правилу – «от себя», или «это не наше», или «активности нет», или «понаблюдайте в динамике» (хотя по логике наблюдать должен – бы втизиатр, а не участковый терапевт и рентгенолог), об активности, конечно, судят по найденным или не найденным «палкам», что давно доказано самими фтизиатрами, что наличие или отсутствие «палки», тест весьма сомнительный. Конечно, «рост на средах» довольно убедительное доказательство, и, именно тогда, когда скурпулезно соблюден «регламент» посева на среды… Но рентгенологу, по большому счету – «оно надо»? Формально рентгенолог должен провести исследование с соблюдением «определенного стандарта», описать скиалогию и выдать выводы (заключение) с рекомендациями. Или без оных…
Довольно часто возникают случаи, которые наши коллеги фтизиатры, обозначивают, как «пропуски рентгенолога», особенно «такое» любят кураторы – фтизиатры из «вышестояших контор», когда надо найти виновного, а виновным чаще всего оказывается рентгенолог – «флюшечник», или проводивший дообследование. Вот тогда «прокурор-фтизиатр» начинает все лепить в кучу, в том числе, и отображения ортоградных проекций сосудов, и участки «утолщенной плевры», и облитерированный синус, да и уплотненная плевра в междолях «должна была насторожить» разнильдяя рентгенолога… Очень любят наши учители фтизиатры терминологии по типу – «насторошенность», как по поводу туберкулеза, так, и по поводу «онкологии». По всей видимости, это означает, что рентгенолог, при написании протокола должен «настороженно двигать ушами»И или настороженно принющиваться к описываемому изображению. Все валится в кучу, не может быть виноват «втизник», ну не было данных…, но вот вопрос – «данных за что»?
Очень часто на пленочной рентгенограмме, и это общеизвестно, мы, в основном, видим «плотненькое» и «обызвествленное». Не можем мы видеть на рентгенограмме «мягкое», а иногда и средней интенсивности, скрытое за костными компонентами грудной клетки. Сравнивая «пленочную рентгенограмму» с цифровой рентгенограммой фиксируется значительная разница теневой картины.
Вот, мы и провели эксперимент, а именно обзорная на пленке, а томограмма – на «цифре».
Какие мнения будут уважаемые коллеги? Не все можно объяснить «цифровым фотошопом» и отсутствием «экранной нерезкости» на цифровых снимках…
Возможно «скиалогия» цифры и аналога отлична?