Синдром диссеминации.

Диссеминированный туберкулёз лёгких.

ИзображениеИзображениеИзображение

ИзображениеИзображение

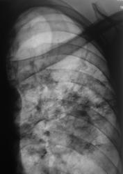
Милиарная диссеминация, преимущественно в средних и нижних отделах.

Случай представлен доктором Коробейниковым.

ИзображениеИзображениеИзображение

Диссеминированный туберкулёз лёгких.

ИзображениеИзображениеИзображение

ИзображениеИзображениеИзображениеИзображение

 Диссеминированный туберкулёз.

ИзображениеИзображениеИзображение

ИзображениеИзображениеИзображение

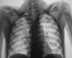
Диссеминированный туберкулёз лёгких с преимущественным поражением верхних отделов легочных полей.

ИзображениеИзображениеИзображение

Фиброз-кавернозный туберкулёз. Диссеминация.

ИзображениеИзображениеИзображение

ИзображениеИзображениеИзображение

Метастазы.

ИзображениеИзображениеИзображение

Метастазы.

ИзображениеИзображениеИзображение

ИзображениеИзображение

Множественные метастазы.

ИзображениеИзображениеИзображение

ИзображениеИзображениеИзображение

ИзображениеИзображениеИзображение

 

Катенёв Валентин Львович аватар
Не на сайте
Был на сайте: 7 лет 5 месяцев назад
Зарегистрирован: 22.03.2008 - 22:15
Публикации: 54876

Довольно интересная подборка.

NIL аватар
NIL
Не на сайте
Был на сайте: 1 неделя 1 день назад
Зарегистрирован: 25.11.2013 - 20:50
Публикации: 18217

Катенёв Валентин Львович wrote:

Довольно интересная подборка.

Согласна. Можно использовать для тестов.


"Слушай всех, прислушивайся к немногим, решай сам".©

Nikolas аватар
Не на сайте
Был на сайте: 2 месяцев 12 часов назад
Зарегистрирован: 21.12.2010 - 20:37
Публикации: 4560

Можно ли данные изменеия в легких назвать синдромом диссеминации?

Приложения: 
ris._1_.jpgris._2_.jpg
Оськин С.В. аватар
Не на сайте
Был на сайте: 2 года 4 месяцев назад
Зарегистрирован: 07.04.2016 - 17:05
Публикации: 1703

Nikolas wrote:

Можно ли данные изменеия в легких назвать синдромом диссеминации?

По моему скромному мнению, так они и называются.

ROI_888 аватар
Не на сайте
Был на сайте: 7 лет 3 месяцев назад
Зарегистрирован: 17.04.2017 - 17:15
Публикации: 1140

Nikolas wrote:

Можно ли данные изменеия в легких назвать синдромом диссеминации?

Скорее да, чем нет. Как минимум это "диссеминированный прочесс в легких?" (легочная форма саркоидоза?)

Остается вариант, что это может быть полисегментарной воспалительной инфильтрацией.

Миргалина аватар
Не на сайте
Был на сайте: 4 месяцев 2 дня назад
Зарегистрирован: 06.08.2015 - 20:04
Публикации: 2882

Nikolas wrote:

Можно ли данные изменеия в легких назвать синдромом диссеминации?

А Вы в этом сомневаетесь?

Nikolas аватар
Не на сайте
Был на сайте: 2 месяцев 12 часов назад
Зарегистрирован: 21.12.2010 - 20:37
Публикации: 4560

Сомневаюсь не я. Я за диссеминацию. Хотел услышать мнения коллег.

 

Приложения: 
b105f555c3972c4a554e475d0c96bbd9.jpg
Миргалина аватар
Не на сайте
Был на сайте: 4 месяцев 2 дня назад
Зарегистрирован: 06.08.2015 - 20:04
Публикации: 2882

А-а... Я уж испугалась. Неужели кто-то при такой картине будет сомневаться?

ROI_888 аватар
Не на сайте
Был на сайте: 7 лет 3 месяцев назад
Зарегистрирован: 17.04.2017 - 17:15
Публикации: 1140

Раз сомнений нет, то можно считать банальным случаем, для таких случаев и анамнез с клиникой не нужен. 

Nikolas аватар
Не на сайте
Был на сайте: 2 месяцев 12 часов назад
Зарегистрирован: 21.12.2010 - 20:37
Публикации: 4560

Спасибо коллеги!